Hallo zusammen,
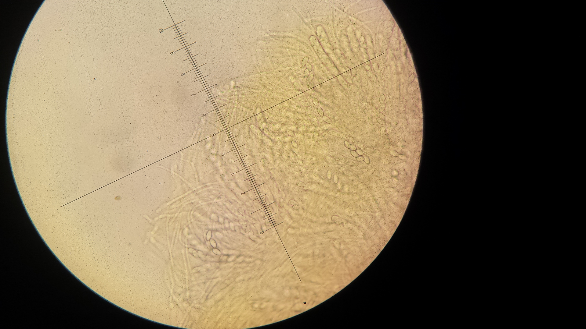
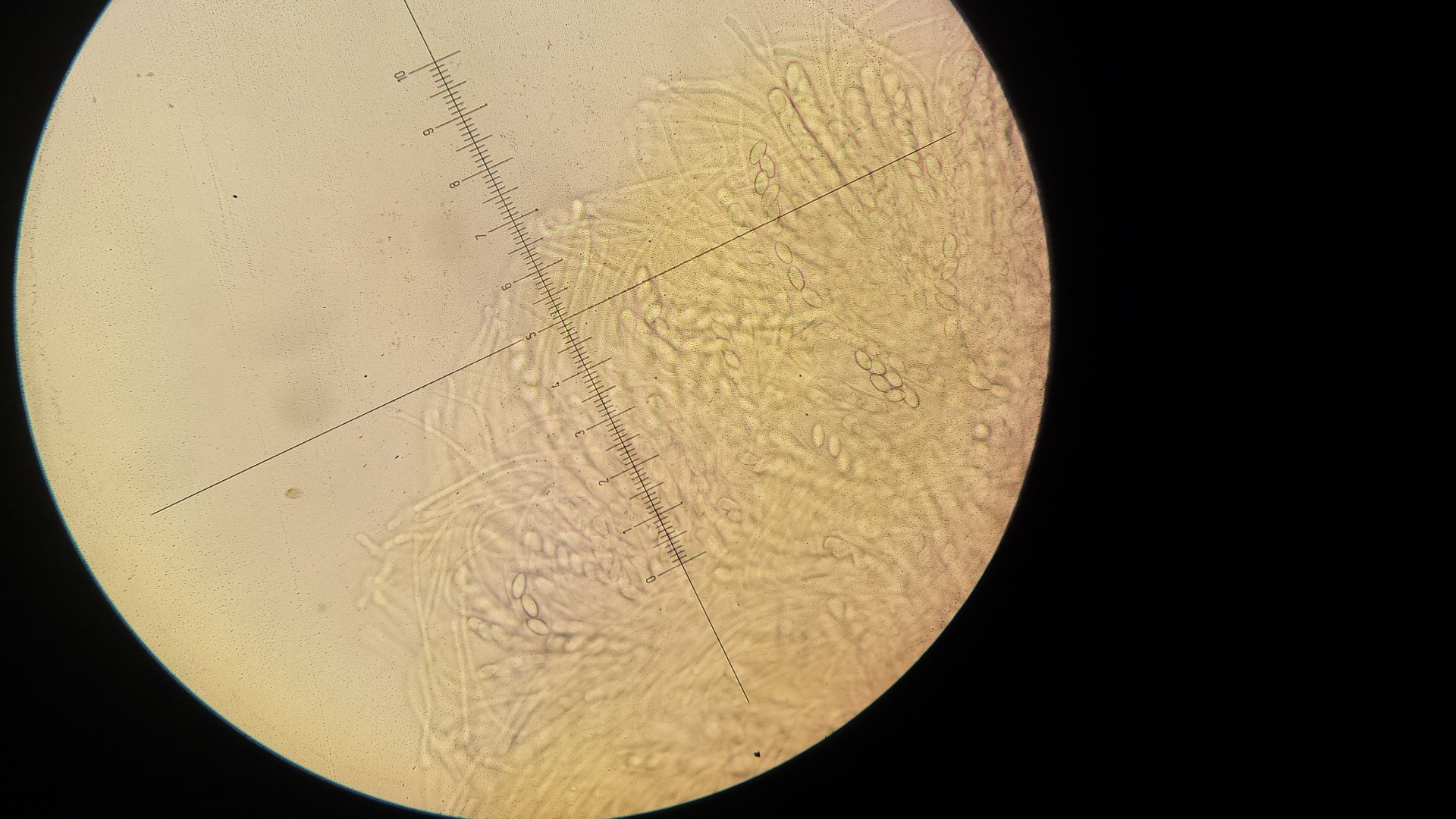
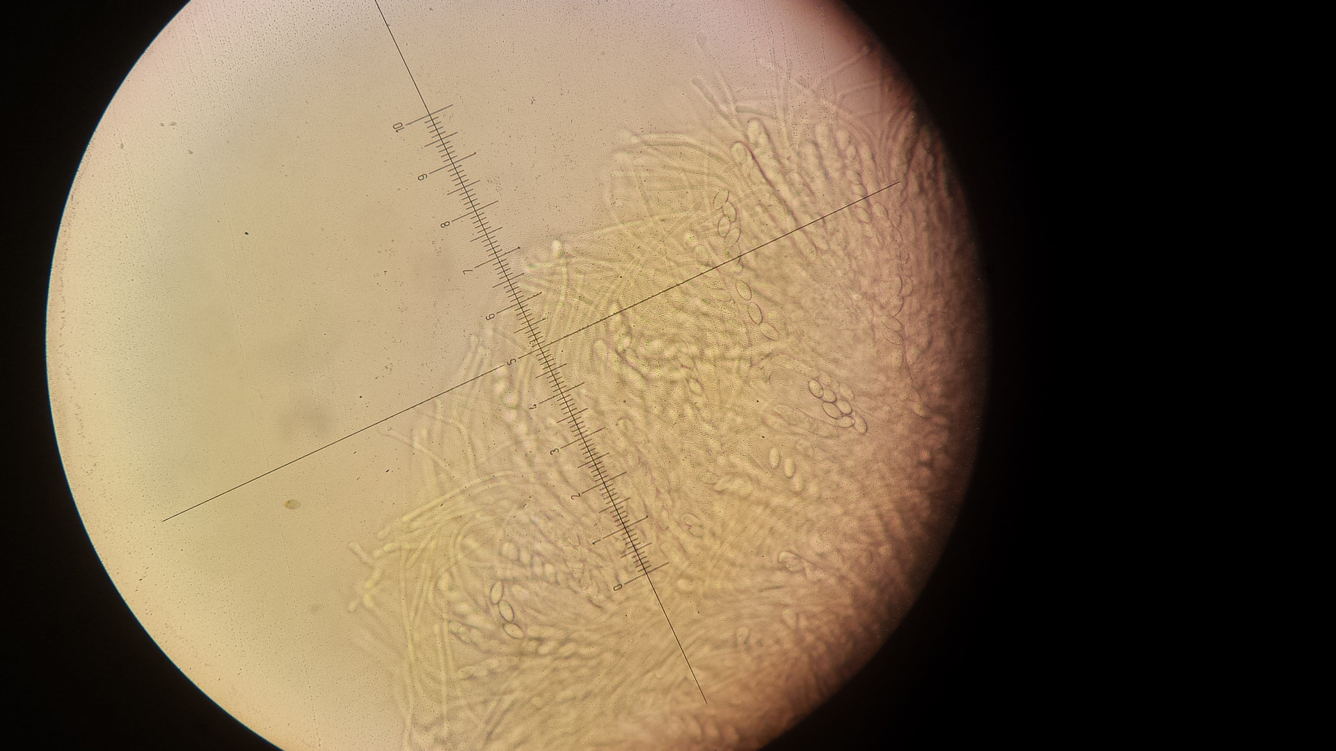
der Fuchskot den ich mal wieder eingesammelt hatte ist verschimmelt, ich hatte ihn aber nicht weggeworfen.Jetzt kommen ziemlichgroße, makroskopisch recht hübsche Imperfekte. Auf einer Probe Rehdung, die schon länger vor sich hinschimmelt, kommen auch Imperfektem die makroskopisch dem Celaphotrichum in Björns Buch ähneln, aber andere Konidien haben. Ich zeig sie Euch beide in den Antworten - fals jemand eine Idee hat - falls nicht, sind sie schlicht hübsch.
