Guten Morgen - die Frage ist gelöst. Es ist Frullania dilatata, das auf diesem trockenem Holzstamm besonders dunkel war; also keine Krankheit, Bakterien udgl. Danke fürs Anschauen und schönen Gruß aus der Südsteiermark - Iwolgin
Beiträge von Ivolgin
-
-
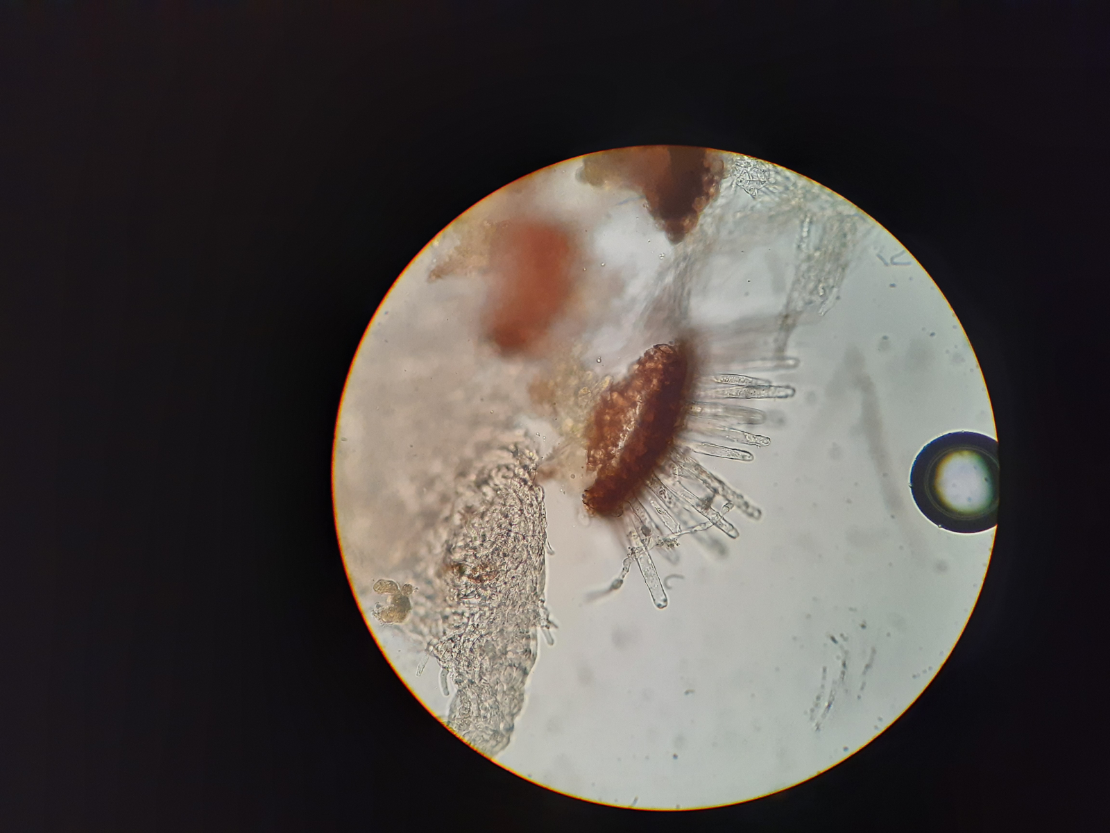
Schönen Nachmittag; die Aufnahmen sind von letztem Freitag, 13.3.20. Murauen, Südsteiermark, ca 5 km SE von Bad Radkersburg; in einem Holzstoß, auf einem Stamm ein Lebermoos (Jungermanniales, nicht bestimmt). Das Moos ist schwarz, verformt, einige Enden sind noch grün. Im Mikroskop sind Zellwände + Inhalt dunkelbraun, auf manchen Blättchen sind Pilzfäden zu sehen. Auf etlichen Enden ein keulenartiges Gebilde, ca 0,3 mm, mit dunklen Pusteln. Keine Sporen oder Asci oder dgl. Zwischen einigen Blättchen sind Pilzfäden (?) zu sehen. Sicher hat hier wer Ideen, und ich freue mich über jede Antwort, schönen Gruß, Ivolgin
-
Danke, Felli; Cheirospora botryospora kommt vermutlich hin; ohne Hilfe des forums hätte ich das nie gefunden; im Rabenhorst, Bd 7, S. 591 unter Thyrsidium botryosporum ist ein entsprechendes Bild. Vielleicht ist irgendwo der Entwicklungsgang beschrieben? Schönen Gruß, Ivolgin
-
Bad Radkersburg, Südsteiermark: die Aufnahmen sind vom 26.2.20. auf dem Stamm einer Hainbuche in einem Holzstoß (neben Schriftflechte, Melogramma c.) sind kleine runde Pusteln, ca 0,5 mm; wie kleine Warzen oder Weintrauben, schwarz. Unter dem Mikroskop sind Konidien (?) zu sehen. Ich nehme, versuchsweise, einmal an, es sind Nebenfruchtkörper von Melogramma. Danke für jede Antwort und Gruß aus der Südsteiermark, Iwolgin
-
Grübling: : Danke für die Antwort, ich habe diese jetzt erst entdeckt; sehr hilfreich - Melogramma campylosporum. Die Sporengröße habe ich nur geschätzt, kann sein, daß es mehr ist. Gruß, Ivolgin
-
Zur Ergänzung noch 2 Bilder, keine Preisfotos, weil mit dem Handy gemacht
-
Die Aufnahmen stammen vom 27., 28.2.20, aus Laafeld (Südsteiermark). Auf der Rinde von Hainbuchen in einem Holzstoß sind, neben Schriftflechten, kleine ( ca 3 mm) Lager; schwarz, länglich, in Reihen nebeneinander, brechen zwischen Borke und Bastteil hervor. Im Mikroskop sieht man kleine Höhlungen, drinnen sind Hyphen + Sporen (??). Diese sind sichelartig gekrümmt, etwa 10 ym. Diatrypaceaen oder Xylariaceaen, aber dann wird es eng, und mit den Synonymen tue ich mir schwer. Danke für jede Antwort, und Gruß, Ivolgin (Fortsetzung folgt.....)
-
Alles anzeigen
Hallo,
auf den Mikrobilder bzw. Stereolupenbildern ist nichts zu erkennen. Das letzte zeigt kristalline Strukturen, könnte also durchaus etwas mineralisches sein.
So große Beläge wären für corticioide Pilze eher ungewöhnlich, insofern könnte Stefan schon recht haben mit seiner Vermutung. Zumindest deutet bisher nichts so richtig auf einen pilzlichen Ursprung hin.
beste Grüße,
Andreas
Pablo, und Andreas - DANKE Euch Beiden für die Antworten und Anregungen, ich werde der Sache weiter nachgehen. Es ist, wie geschrieben, ein weisser, weicher, abhebbarer Belag. Und schönen Gruß, Ivolgin
-
DANKE, für die Antwort - Stefan. Aber Baumausscheidung/Vogelkot etc. ist auszuschließen (siehe Mikrofoto). Dafür ist das zu großflächig, der Stamm einer großen Ulme ist halb bedeckt. Warten wir ab, was noch daherkommt, und einen schönen Gruß, Ivolgin.
-
Alles anzeigen
Hi,
wenn keine Hyphen, dann kannst du (Rinden)Pilz und Schleimpilz meines Erachtens vergessen. Vielleicht eine Bausauscheidung oder eine tierische Hinterlassenschaft?
l.g.
Stefan
-
Die Aufnahmen sind vom 2., und 3. Februar 2020, aus den Murauen (Südsteiermark). Auf einer Flatterulme am Stamm ein weisser, ausgedehnter Belag, westseitlich; ca 0,5 mm dick. Unter dem Mikroskop keine Asci, Hyphen udgl, aber zahllose winzige (1 - 2 ym) bewegliche Sporen/Schwärmer (??). Rindenpilz?, Schleimpilz? DANKE für jede Antwort und schönen Gruß, Ivolgin
-
Alles anzeigen
GriasDi Ivolgin,
das sind die Fruchtkörper (Kleistothecium) eines Echten Mehltaus.
Im Inneren befinden sich sackförmige Asci mit den Ascosporen.
Die sind oft sehr wirtsspezifisch.
Auf Berg- und Feldahornblättern ist es Sawadaea bicornis.
An liabn Gruaß,
Werner
DANKE, Werner, und schönen Gruß, Ivolgin
-
Die Aufnahmen stammen vom letzten Freitag, 6.12.2019, Bad Radkersburg, Steiermark. Bergahorn: Blätter mit braunen Verfärbungen, auf der Blattunterseite schwarze Pusteln, ich komme mit dem Bestimmen zu nichts - ein Schleimpilz? DANKE im voraus, Ivolgin
-
Selbst auf die Gefahr, daß ich mich unbeliebt mache: Hier noch einmal der gelbe Pilz, Rand eines Maisackers, Südststeiermark, gesehen vor 2 Wochen. Sieht aus wie Tremella mesent.; ist jedoch, im Gegensatz zu dieser, ein Schlauchpilz, etwa 2 cm, mit glatten (nicht netzartigen) Sporen. Eine Flasche Weißburgunder aus unserer Gegend für die Bestimmung ! DANKE, Ivolgin
-
Bitte um Hilfe: Ein weisser Schleimpilz, in der Wiese, auf Moos, gefunden gestern, Südsteiermark. Ich konnte kein passendes Bild finden - DANKE, Ivolgin
-
Bitte um Hilfe bei der Bestimmung: Wabenporling? Gefunden am 2.5.2011 in den Murauen in der Südsteiermark. DANKE, Ivolgin
-
Danke, Jan-Arne, für die Antwort. Das mit der Schrift ist mir irgendwie passiert, werde beim nächsten Mal aufpassen, ganz so arg ist es ja nicht.
Das mit dem "Bild aus dem Anhang ziehen" sagt mir nichts - wollen Sie meine Nachricht ohne Bild, bitte um Erklärung, schönen Gruß, Ivolgin -
Schönen Nachmittag. Erbitte Hilfe bei der Bestimmung: Sieht aus wie Tremella mesenterica; wächst aber auf feuchtem Boden am Rand eines Maisfeldes, nicht auf Rinde, in der S-Steiermark; und ist ein Schlauchpilz mit einem Hymenium mit elliptischen, nicht runden Sporen. Ich habe nirgends etwas gefunden, und bin auch nicht sehr erfahren. DANKE
