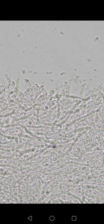
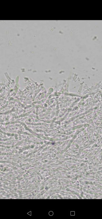
Hallo ich habe hier diesen porling auf einer denke ich Fichte gefunden ich mikroskopierte in KOH und die Sporen messen 4 bis 6 Länge und bis 3.5 Breite könnte es sich hier um einen resinoporia lg
Resinoporia
- Cognacmeister
- Erledigt
Es gibt 5 Antworten in diesem Thema, welches 352 mal aufgerufen wurde. Der letzte Beitrag () ist von Cognacmeister.
-
-
GriasDi Cognac,
ich kann Deine Mikros grad ned vergleichen.
Makroskopisch erinnert mich Dein Fund an Cartilosoma ramentacea. Dann sollte das aber ein Kiefernast sein.
An liabn Gruaß
Werner
-
GriasDi Cognac,
ich kann Deine Mikros grad ned vergleichen.
Makroskopisch erinnert mich Dein Fund an Cartilosoma ramentacea. Dann sollte das aber ein Kiefernast sein.
An liabn Gruaß
Werner
Hallo lieber Werner jo das sollte gut passen dann dürfte das was i da als Sporen empfinde wohl nicht sein das mit den porlingen is wirklich schwierig wen ma sie das erste mal vor sich hat aber wenn ich richtig gesehen sollten es nur Fichten sein lg.
-
I hab mit resinoporia piceata abgeglichen das würde passen aber i kan no nix genaueres abgeben I seh den is erste mal
-
GriasDi Cognac,
ich kann Deine Mikros grad ned vergleichen.
Makroskopisch erinnert mich Dein Fund an Cartilosoma ramentacea. Dann sollte das aber ein Kiefernast sein.
An liabn Gruaß
Werner
Wen Ich es richtig sehe werden die generativen hyphen von ramentacea gelatinös in KOH lg
-
GriasDi Cognac,
ich kann Deine Mikros grad ned vergleichen.
Makroskopisch erinnert mich Dein Fund an Cartilosoma ramentacea. Dann sollte das aber ein Kiefernast sein.
An liabn Gruaß
Werner
Hi Werner danke dein Tipp ist richtig und es muss Kiefer sein hab wieder was neues gelernt lg.
