Hallo zusammen,
in der letzten Zeit konnte ich zwei Aufsammlungen von Phlebia subcretacea machen.
Der eine Fund stammt vom 07.02.26 und der andere vom 28.02.26.
Schnallen sind vorhanden, aber schwer zu erkennen und nicht gerade häufig.
Hier sind die Bilder:
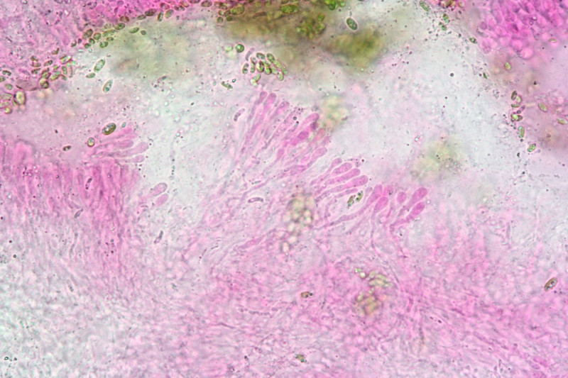
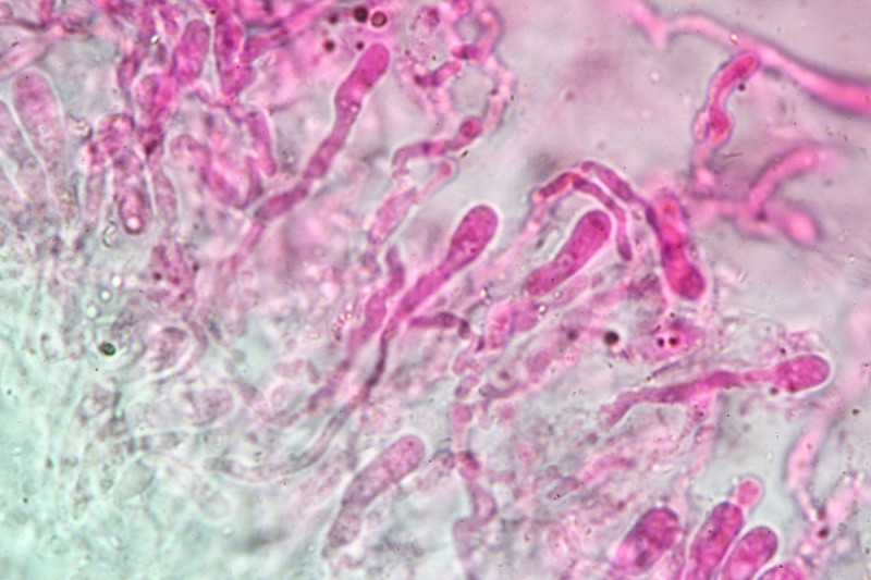
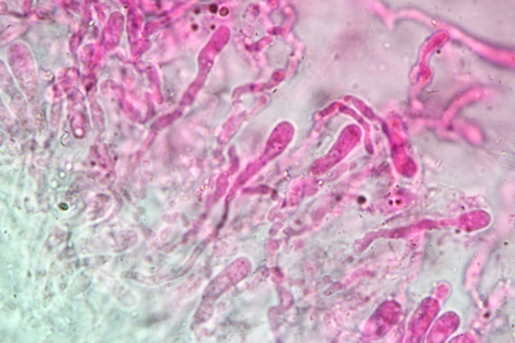
Fund vom 07.02.26 auf Larix oder Picea Stamm
1.0
1.1
1.2
1.3
1.4
1.5
Fund von dem 28.02.26 an einem Pinus Stamm
2.0
2.1
2.2
VG : Thorben
