Hallo Dungpilz-Freunde,
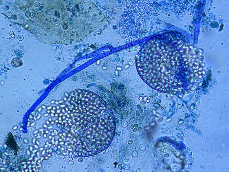
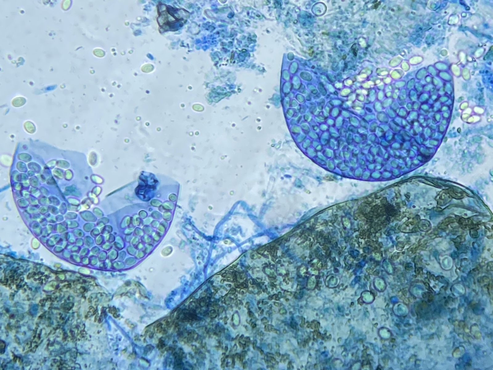
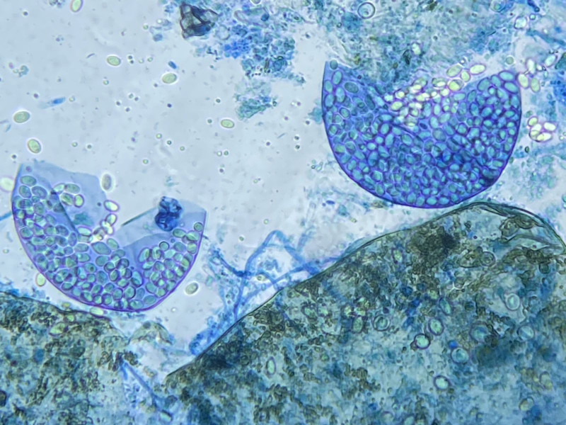
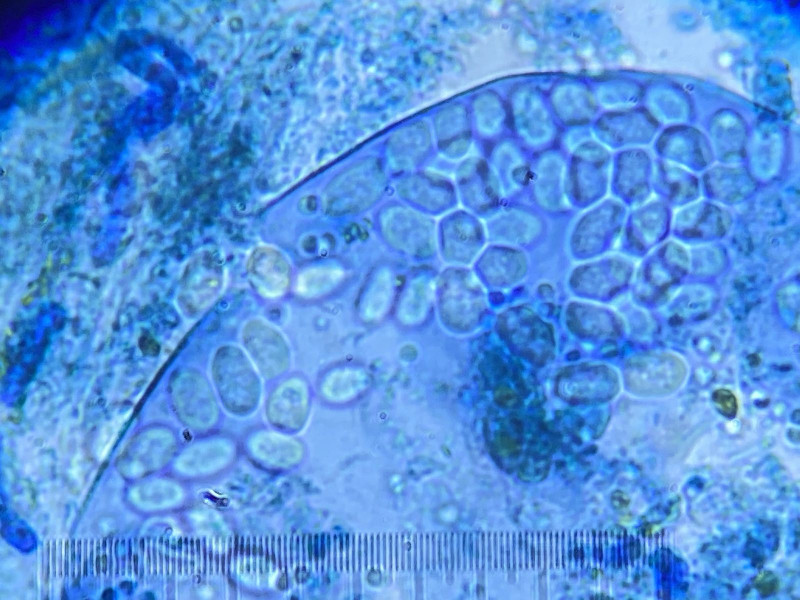
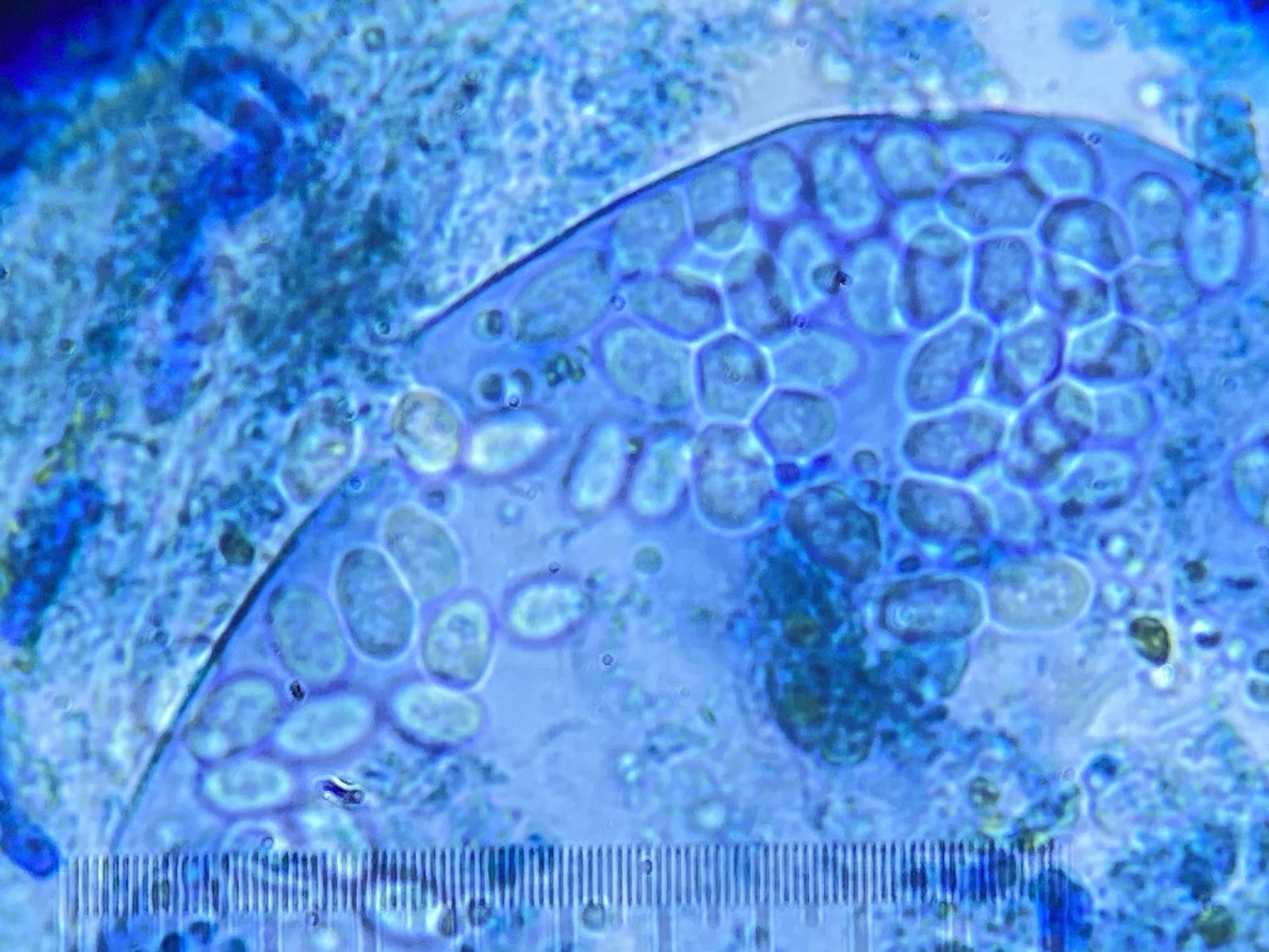
hier an einem kleinen Fluss gibt es viele „Biber-Rutschen“. Dort konnte ich einige Köttel auflesen. Es entwickelten sich viele Volutella sp. (1). Daneben sah ich auch viele gelbe Pusteln (2). Diese stufte ich als Staphylokoccus aureus-Haufen ein (Sporen 0,5-1,5 µm). In/an diesen Haufen gab es auch diverse andere Arten. U. a. gab es zwei verschiedene „Conidiomata“. Einmal mit ovalen Konidien (5-7 x 3,5-7 µm) (3), und dann mit runden Konidien (6,5-8 µm) (4). Diese beiden konnte ich nicht bestimmen. Oder sind es nur in Schleimklumpen verklebte Artefakte?
HG, Tonio
1) Volutella sp.
2) Gelbe Pusteln
3) „Conidiomata“ mit ovalen Konidien
4) „Conidiomata“ mit runden Konidien
