Hallo allerseits,
neulich hatte ich ja schon eine Clavaria gezeigt, die leicht stachlige Sporen hatte und evtl. Cl. stellifera in Betracht gezogen.
Wesentlich deutlicher sind die stacheligen Sporen bei einer neuen Kollektion zu sehen. Diese am Rande der Wiese, wo schon fast Schilf und Sumpfständelwurz wachsen, mit Torf im Boden, aber schon höher, ohne stehende Nässe. Winzige Dinger, max. 25 mm hoch, eher weiß, ohne Rosa.
Auflicht und Unterlicht
nur Unterlicht
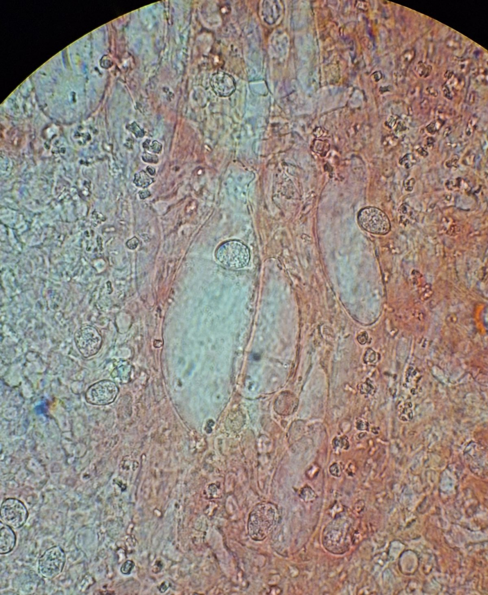
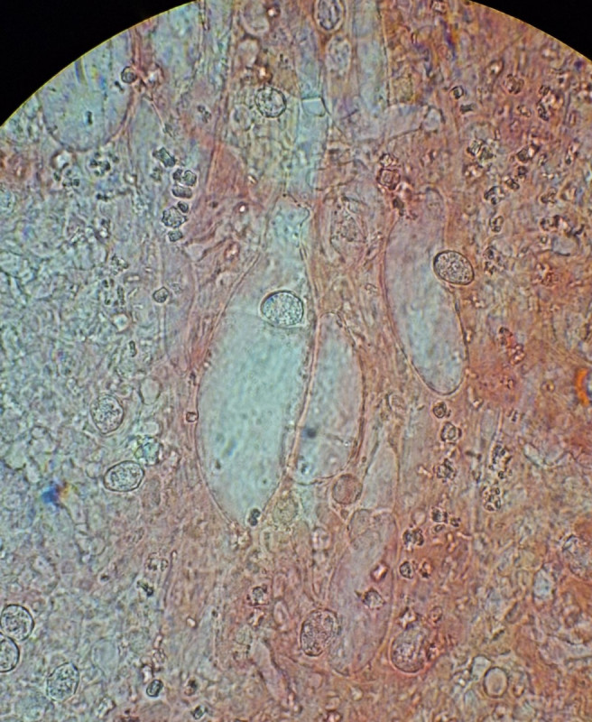
oberflächennahes Trame im fertilen Teil
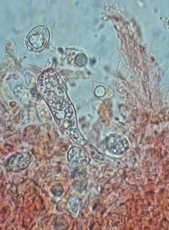
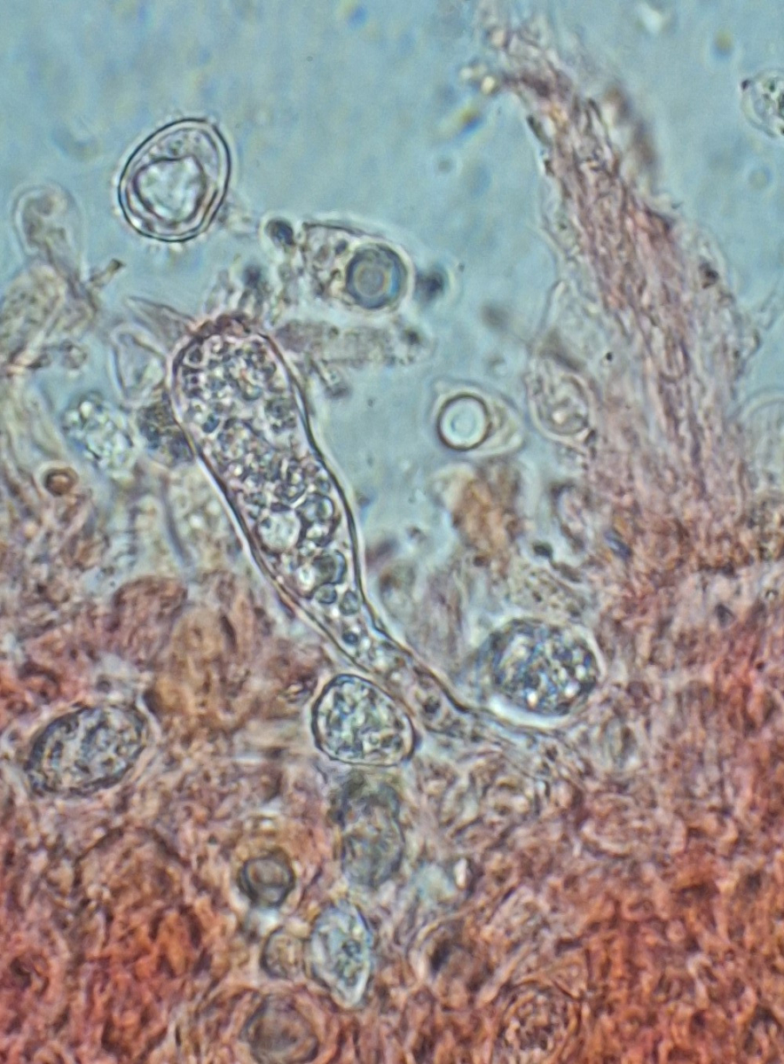
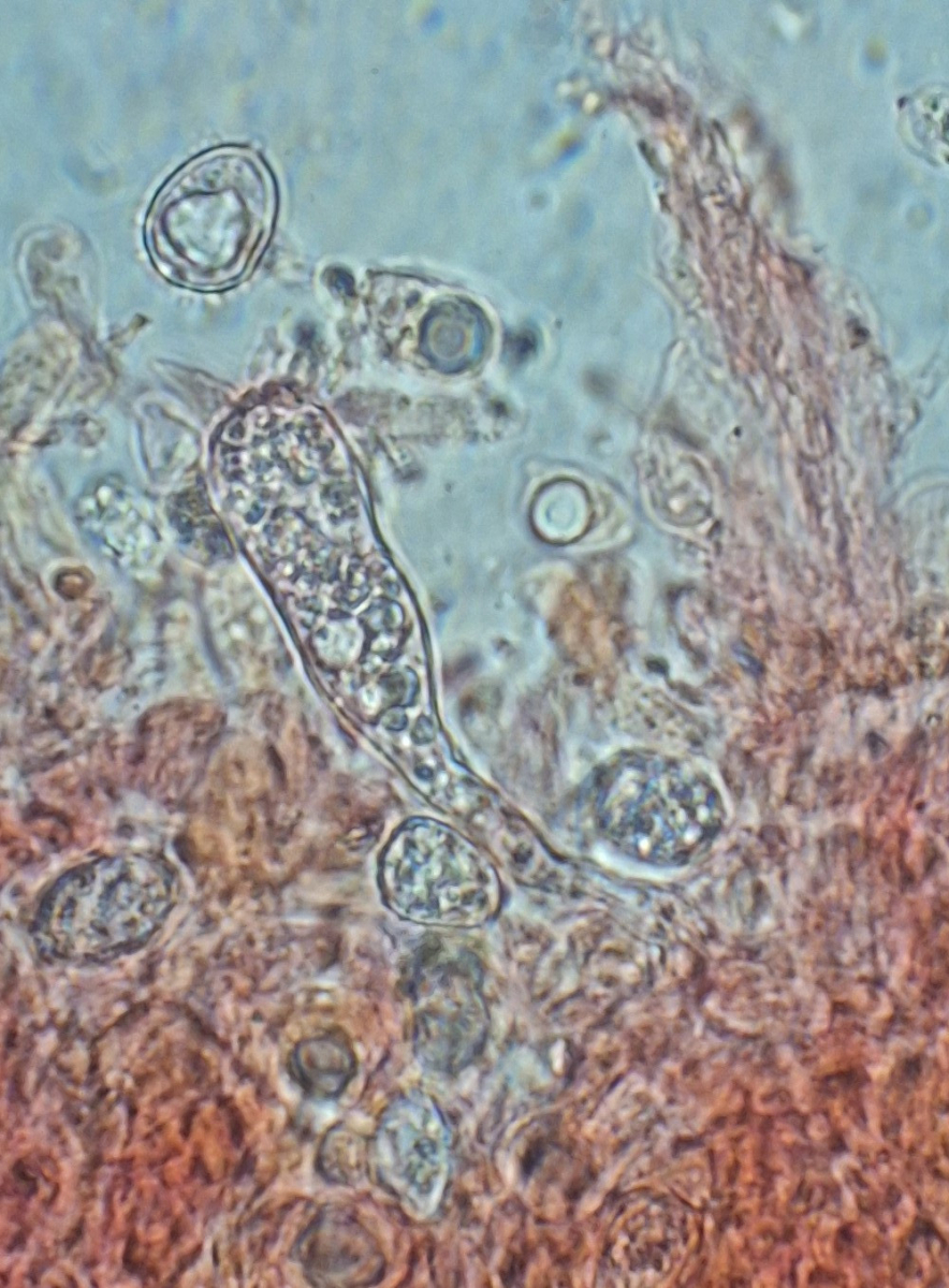
Basidie mit unreifen Sporen
Sporen groß 8-10 (13)*5,5-7 (9) µm, variabel, Stacheln bis über 3 µm, meistens aber so um 1,5 µm, Stacheln auch einzeln in der Brühe schwimmend; Basidien/Basidiolen gibt es in variabler Länge, oft unten gegabelt
Basidiole mit dicker Wand "Sklerobasidiole" und deutlicher Aufgabelung
gibt's auch als Basidie
Stiel ohne Schnallen
LG, Bernd
