N'abend,
zur Abwechslung habe ich gestern mal einen Porling eingesteckt. Von toter Fichte, fast nur resupinat, graurosa, im Schnitt weiß. 2-3 Poren je mm, die Poren lang - eigentlich nur aus Poren bestehend. Konsistenz hart, korkig, wie Phellinus.
Spannend fand ich dies: links KOH ~3%, der Tropfen verfärbt sich zunächts gelblich, rechts Wasser
1,5 Stunden später, der KOH-Tropfen hat sich reingefressen und ist rötlich geworden, der Wassertropfen verdunstet so langsam
nach über 3 Stunden war der Wassertropfen verschwunden, der KOH-Tropfen wurde zu einem bleibenden braunen Fleck
Schnitt im Auflicht
in Kongorot schwarze Wolken
KOH 3% mit KR
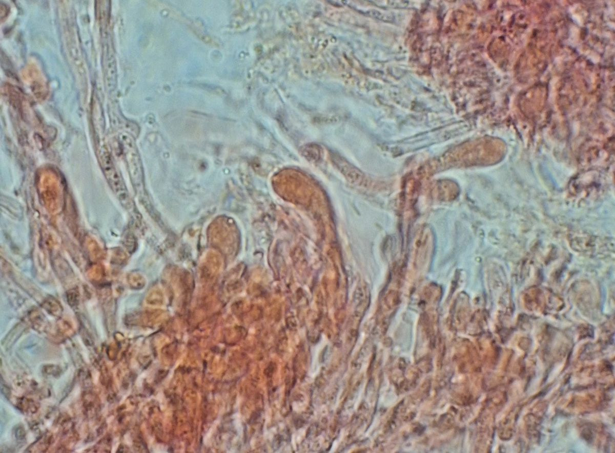
Schnallen vorhanden
nur eine Basidie mit Sterigma war zu sehen
Sporen nur wenige vorhanden, ca. 6*2 µm, teils gebogen
Keine Ahnung was das ist. Vielleicht irgendwas in Richtung Haploporus, wobei ich nicht erkennen kann, dass die Sporen haarig sind - ausschließen kann ich das aber auch nicht.
LG, Bernd
