Leucogloea-ähnlich MAB-Tour Dünnwalder Wald

Es gibt 1 Antwort in diesem Thema, welches 474 mal aufgerufen wurde. Der letzte Beitrag () ist von thorben96.

  • Hallo zusammen,


    am 02.03.25 war ich zu Gast auf einer Tour des Mykologischen Arbeitskreis Bergisches Land (MAB) im Dünnwalder Wald.

    Dort durfte ich Bernd Oertel kennenlernen, der auch ein sehr gutes Pilzradar hat :)

    Er hat einen Kieferstamm umgedreht und mich gleich gerufen, denn da war doch ein interessanter Anamorpher Pilz.

    Dieser interessanter Pilz ist der hier vorgestellte Pilz gewesen, aber auf dem Stamm gab es noch 2 weitere Anamorphen.

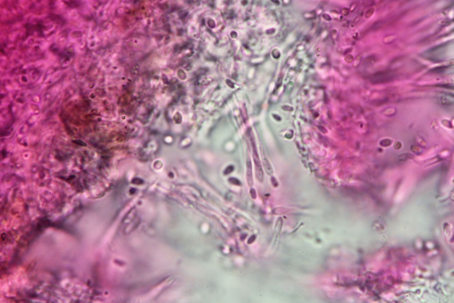
    Diese Anamorphe sieht Makroskopisch wie eine Leucogloea aus, aber Mikroskopisch ganz anders aufgebaut.

    Es gibt keine verzweigten Konidienträger, die bei Leucogloea klassisch sind.

    Hier sind die Bilder:
    1.0


    1.1


    1.2


    1.3


    1.4 in Phloxin


    1.5 in Phloxin


    VG : Thorben

  • Hallo zusammen,


    so wie es aussieht ist diese Anamorphe gerne an Pinus (Kiefer) gebunden.

    Am 05.04.25 konnte Hans Bender auf einer Gemeinsamen Tour mit mir im Brachter Wald diese Anamorphe auf ebenfalls Pinus finden.

    Hier sind die Bilder:

    2.0


    2.1 in Phloxin


    2.2 in Phloxin


    VG : Thorben