Hallo zusammen,
am letzten Samstag war ich mal wieder in der Westruper Heide unterwegs.
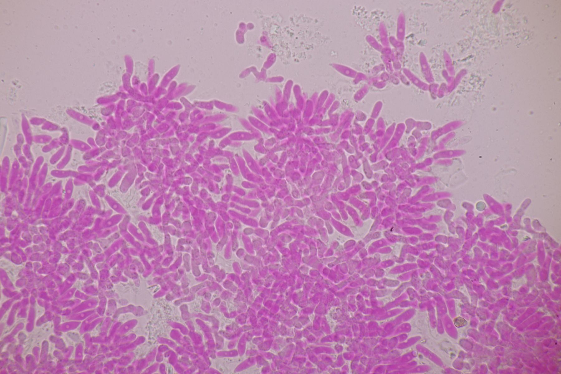
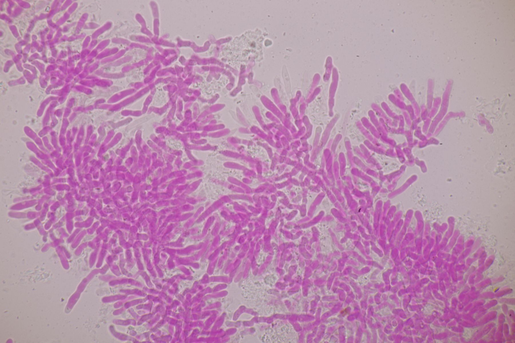
1. Den Anfang macht ein Rindenpilz auf Kiefer: Mit Schnallen und Pleurobasidien komme ich hier zu Aphanobasidium pseudotsugae
2. Tremella mesenterica
3. Manchmal denkt man sich ja: Herr, schmeiß Hirn vom Himmel. Hier hat er das offenbar getan in Form von Phaeotremella frondosa
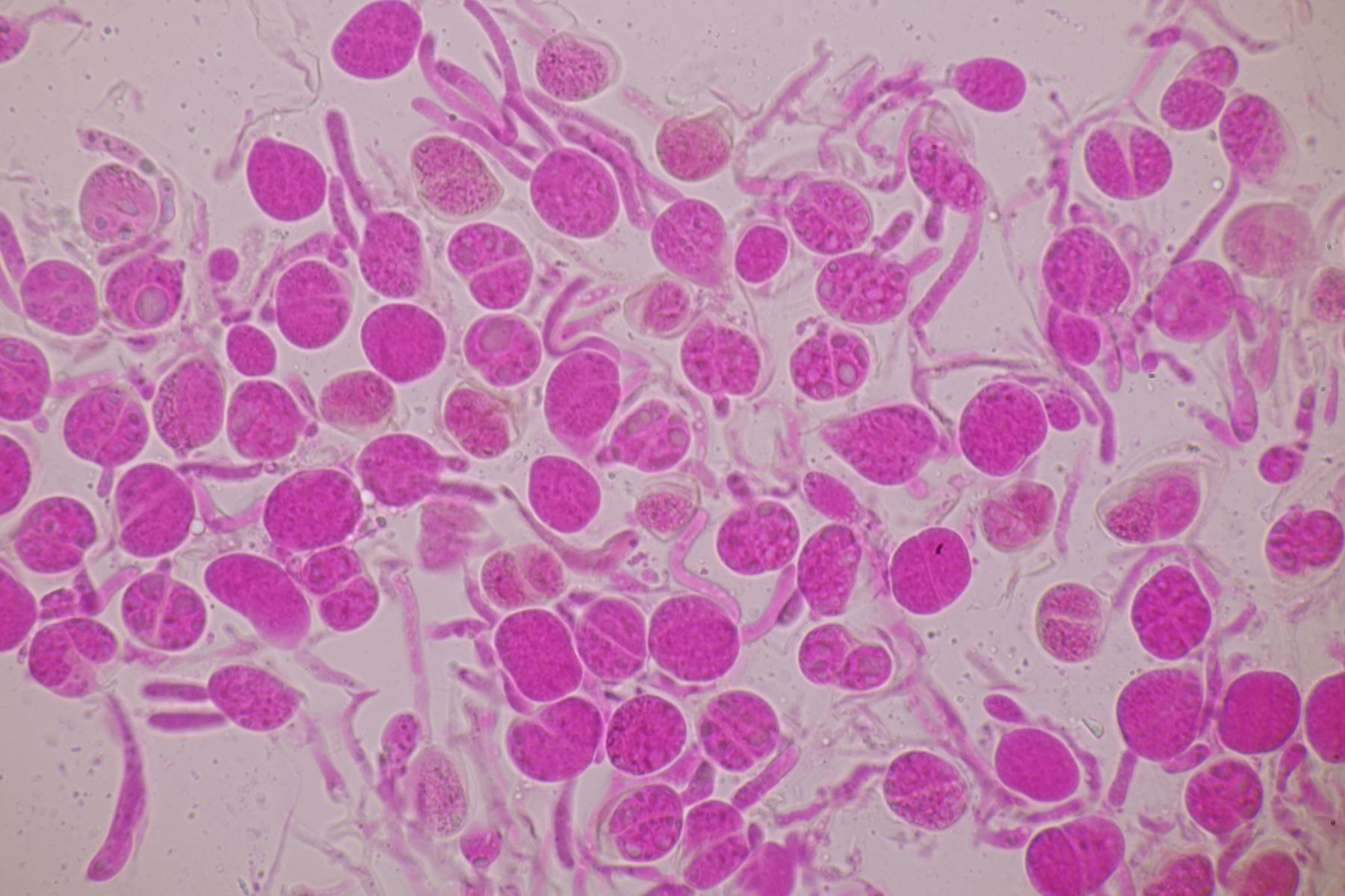
4. Auch auf Dung gibt es tolle Sachen: Delitschia didyma
5. Podosordaria tulasnei
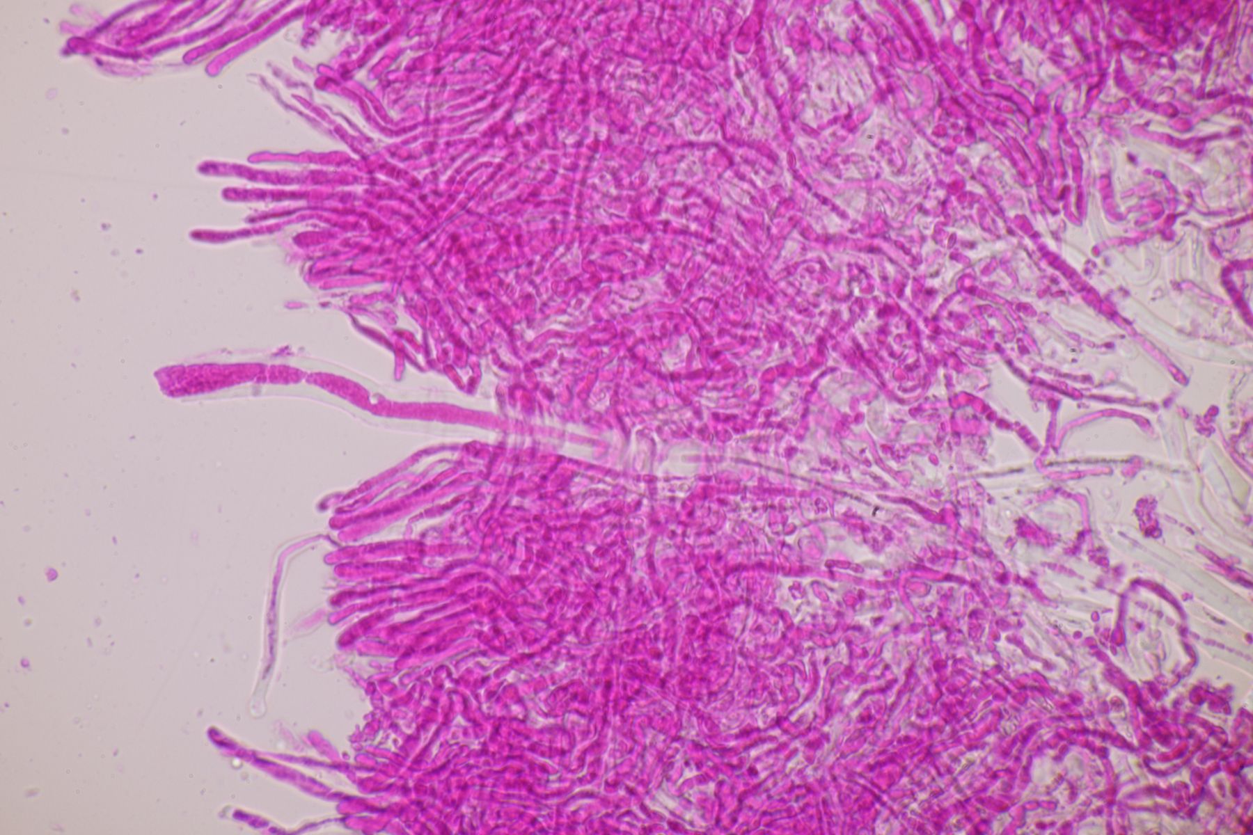
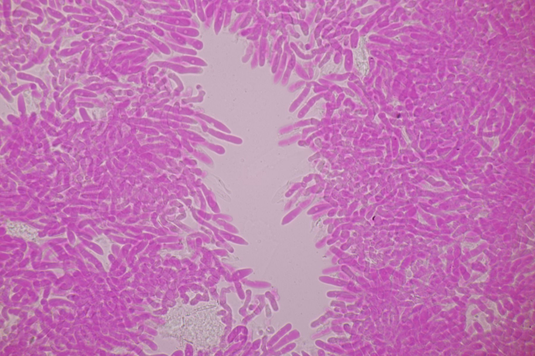
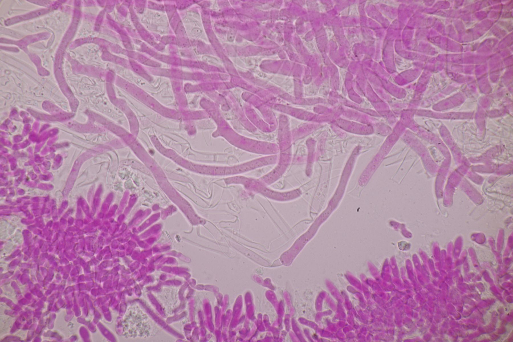
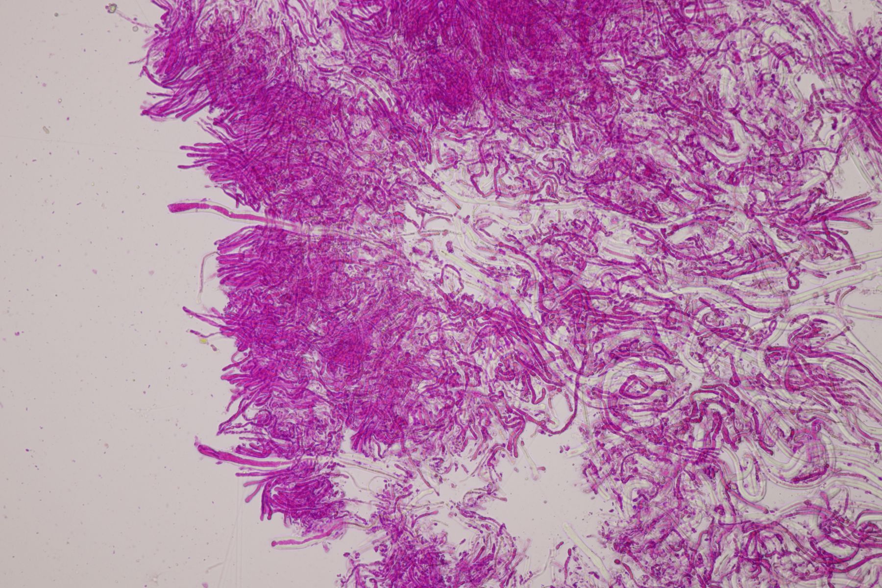
6. Nochmal Rindengedöns auf Kiefer. Im Feld habe ich direkt an Meruliopsis taxicola gedacht, den ich bis dato aber noch nicht gefunden hatte. Zu Hause war ich dann erstmal irritiert, weil ich zu der roten KOH-Reaktion nichts finden konnte und weil das Ganze sehr meruloid aussieht und verschiedene Darstellungen auf Fotos eher Poren haben. Aber mit den kleinen, nierenförmigen Sporen, Hyphen ohne Schnallen und spitzen Zystidiolen kommt am Ende wohl doch nichts anderes als M. taxicola in Frage.
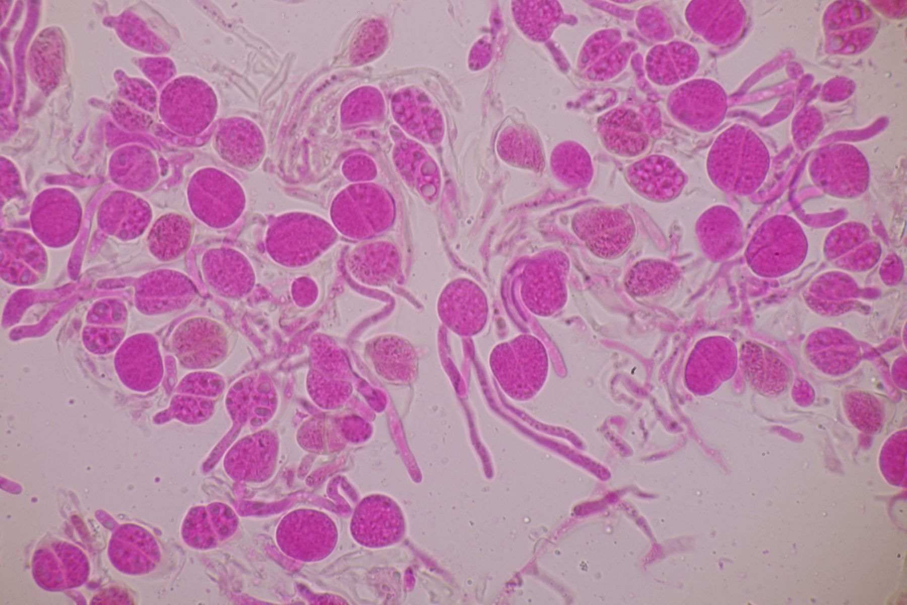
7. Ohne Makrofoto: Dacrybolus karstenii. Leider lösen sich die tollen Zystiden in KOH auf, so daß man sie nur schwerlich gut auf Foto bannen kann.
Björn
