Hallo zusammen,
am Freitag nach Weihnachten war es dann soweit: Die Bahn hat es endlich geschafft, mich pünktlich und wohlbehalten von Duisburg an die Mosel (und auch wieder zurück) zu bringen. Während in Duisburg klarer Himmel war, gab es ab Bonn dann erst am Rhein und später an der Mosel Nebel. Der lichtete sich dann, je höher man hinauskam und verschwand dann gegen Mittag vollständig.
1. Nebelstimmung an der Mosel
2. Im Nebel war es frostig kalt, da waren die Spinnweben an den Buchsbäumen mit Eis überzogen
3. Das Objekt der Begierde: Puccinia buxi ex Buxus sempervirens
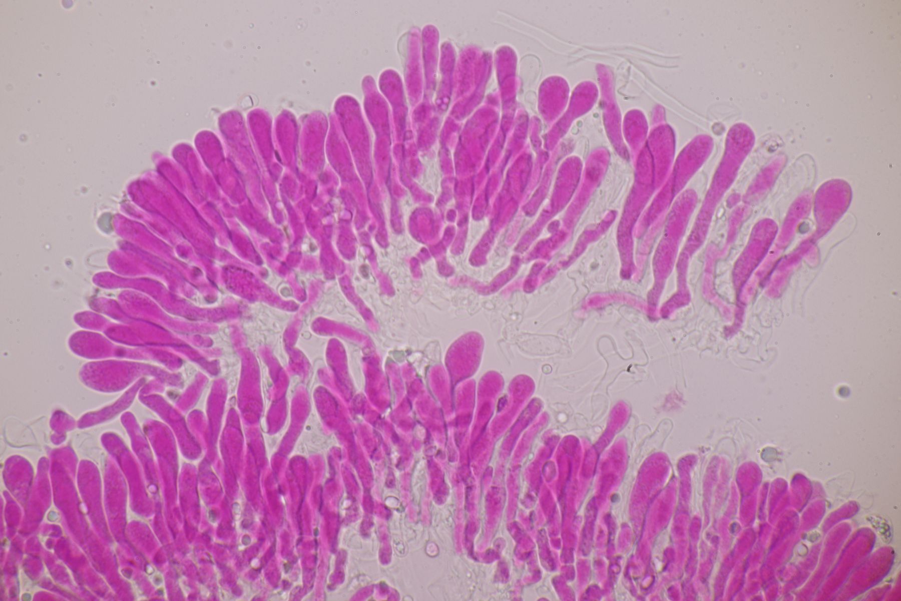
4. Milesina dieteliana ex Polypodium vulgare agg.
5. Normalerweise sind Roste an Malvaceaen ja schnell als Puccinia malvacearum abgetan. Es lohnt sich aber, dort genauer hinzuschauen, denn offenbar gibt es dort doch mehr als nur eine Art. Das hier ist Puccinia modiolae, der sich durch zahlreiche scheinbar mißgebildete Teliosporen auszeichnet.
6. Bei einem Abstecher zur Burg Eltz gab es dann Haareis.
7. Und entlang einer Straße war einer der zahlreichen alten Apfelbäume mit Sarcodontia setosa befallen
Björn
