Guten Tag,
ich Mikroskopiere hobbymäßig und habe alle möglichen Substanzen schon unter dem Mikroskop untersucht.
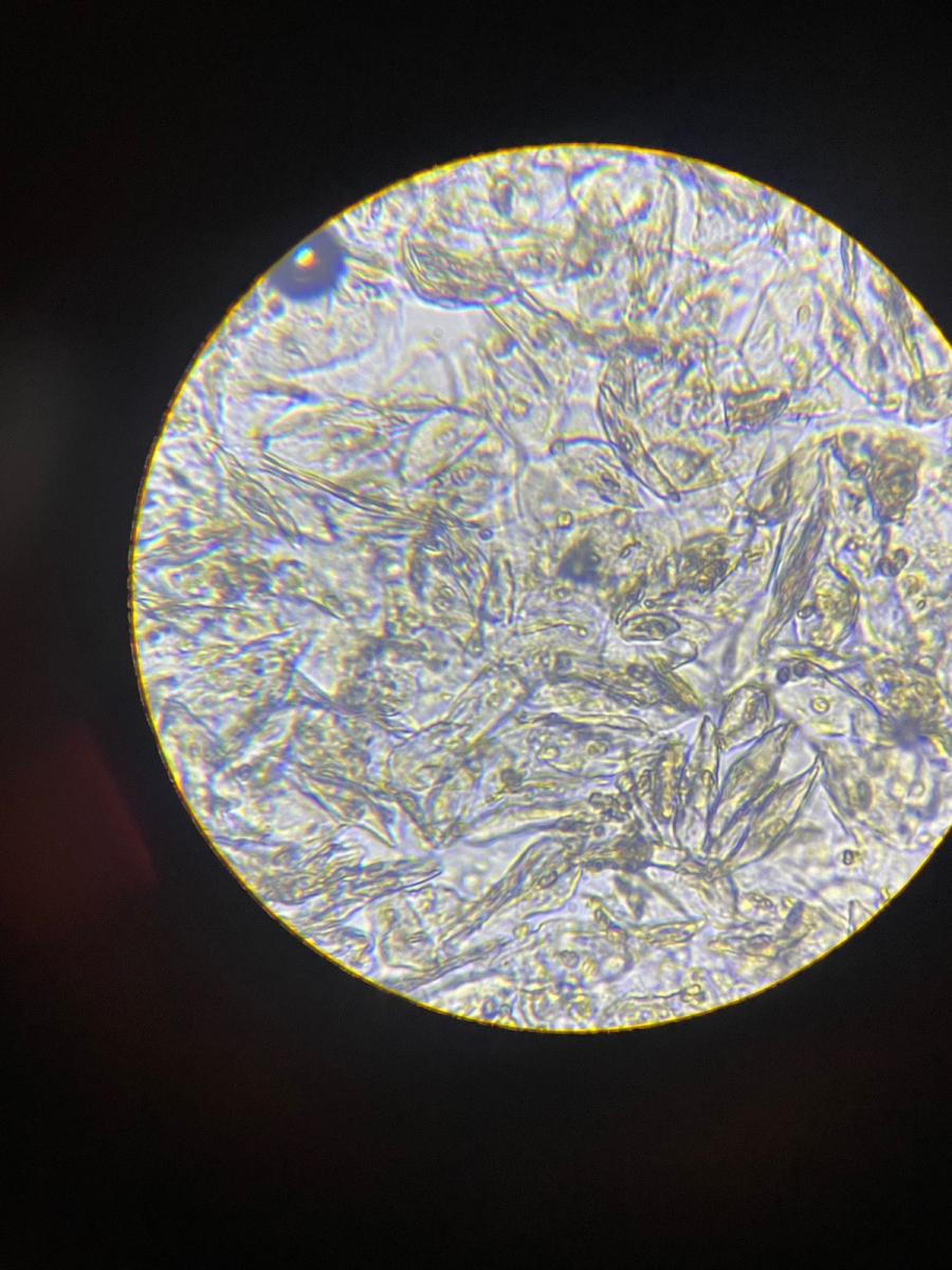
Bei dem Befund bin ich mir eigentlich ziemlich sicher, dass es sich um eine Art Pilz handelt, wer würde das bestätigen und könnte Anhaltspunkte liefern, was genau hier vorliegt ?
