Hallo, ich habe einen Crepidotus (oder?) auf einer Buchecker gefunden. Der Hut war weißlich, die gelblichen Flecken sind Verletzungen des FK.
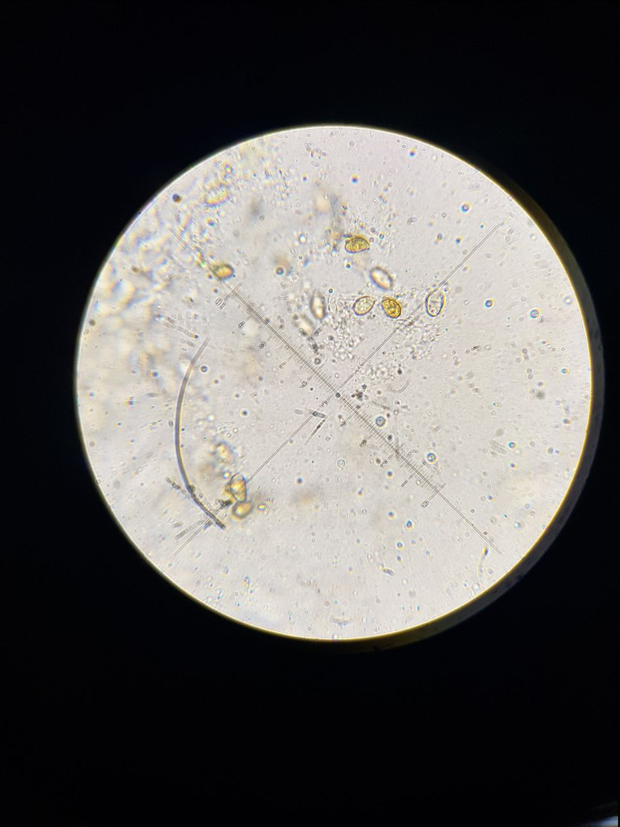
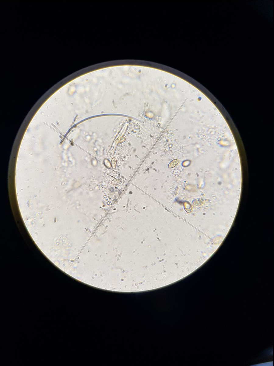
Die Sporen waren im Durchschnitt 9,63 x 5,11 (9-10 x 5-6) µm groß und meiner Einschätzung nach etwas rau. Der Q(Av) beträgt 1,88. Ich habe keine Spore von 11 oder 12 µm finden können.
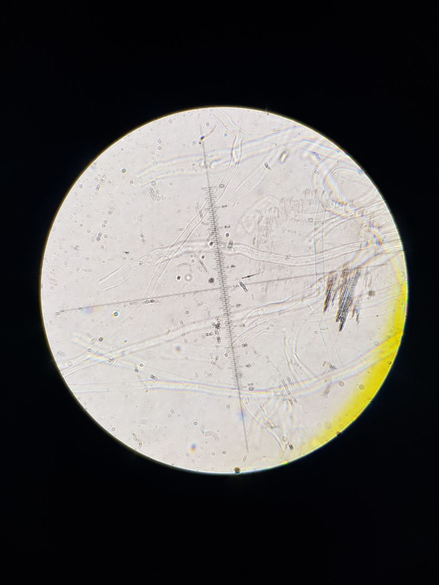
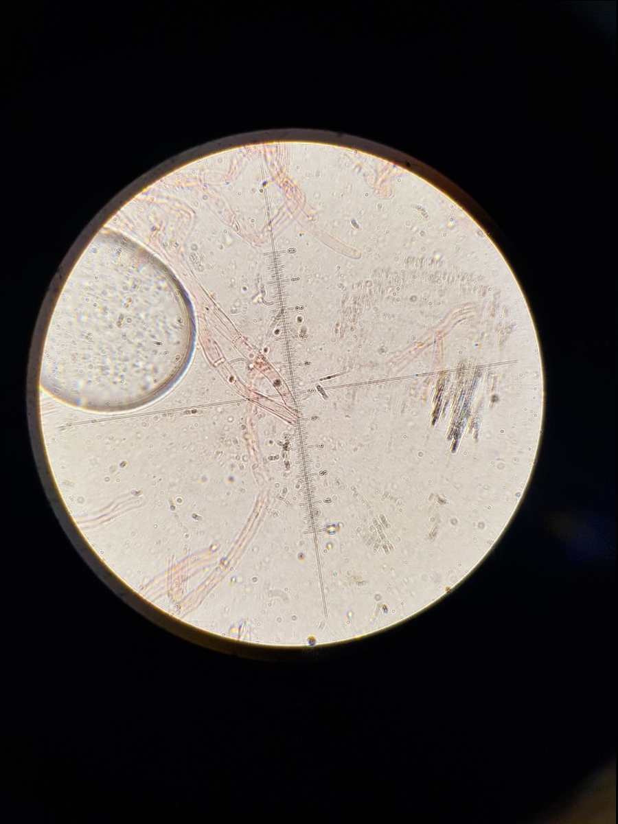
Schnallen konnte ich weder in Huthaut noch im Trama finden. Ich habe mir viele Septen angeschaut. Wie ist da eure Erfahrung bei Crepidotus? Muss man lange nach Schnallen suchen und wo sucht man am besten?
Mit dem Schlüssel von Senn-Irlet (1995) komme ich relativ schnell bei Crepidotus versutus raus.
Hier noch die Cheilozystiden, die im Schlüssel aber gar nicht benötigt werden.
Was meint ihr dazu?
Vielen Dank und beste Grüße ![]()
