Hallo zusammen,
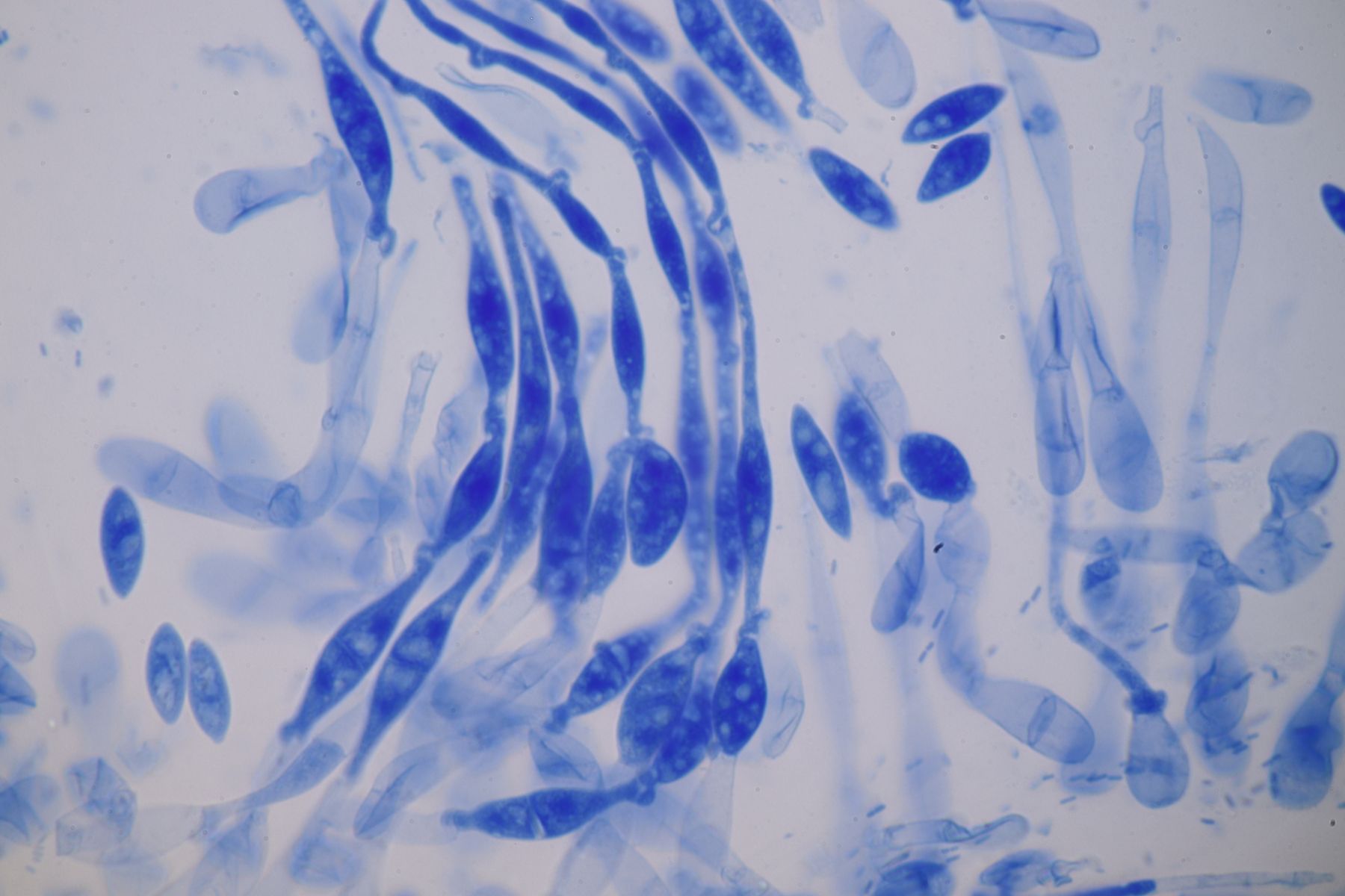
ich möchte einen Fund aus dem NSG Schengerholzbachtal in Mülheim an der Ruhr vom 8.4.2023 vorstellen. Es handelt sich um Sirobasidium brefeldianum, die ursprünglich aus Brasilien beschrieben wurde, aber scheinbar auch in Europa vorkommt (oder es handelt sich um eine morphologisch quasi identische Art, die sich aber genetisch von der Art aus Brasilien unterscheidet). Der Pilz parasitiert auf Pyrenomyceten, im vorliegenden Fall war es vermutlich Hercospora tiliae auf Tilia sp. Makroskopisch ist der Pilz sehr unspektakulär und bildet hyaline, glibberige Pusteln, die ungefähr einen Millimeter groß werden und bei Trockenheit so zusammenschrumpfen, daß man sie praktisch nicht mehr wahrnimmt. Also definitiv ein Pilz, der nur bei feuchter Witterung im Winter zu finden ist. Mikroskopisch zeigt der Pilz dann Ketten von zweizelligen Hypobasidien (dadurch unterscheidet er sich von Sirobasidium albidum, das runde, vierzellige Hypobasidien hat), die jeweils durch Septen mit Schnallen getrennt sind. Die Hypobasidien bilden spindelförmige Epibasidien, die dann runde Basidiosporen bilden.
Und nach den ganzen Worten jetzt einfach mal die Bilder zum Pilz:
Basidienketten in Kongorot
Abwurfpräparat mit Epibasidien und Basidiosporen in Wasser...
und Kongorot
Basidienketten in Melzer
Basidienketten in Baumwollblau
Björn
