Hallo zusammen,
am letzten Sonntag ging es mit dem APR bei kaltem Nieselregen auf eine Exkursion zur Halde Hoheward. Pilztechnisch war nicht sooo viel los, aber ein paar tolle Funde gelingen ja trotzdem immer:
1. Astraeus hygrometricus (mittlerweile wohl ein Artenaggregat, das sich nur genetisch trennen läßt)
2. Massaria anomia ex Robinia pseudoacacia
3. Pseudovalsa lanciformis ex Betula pendula
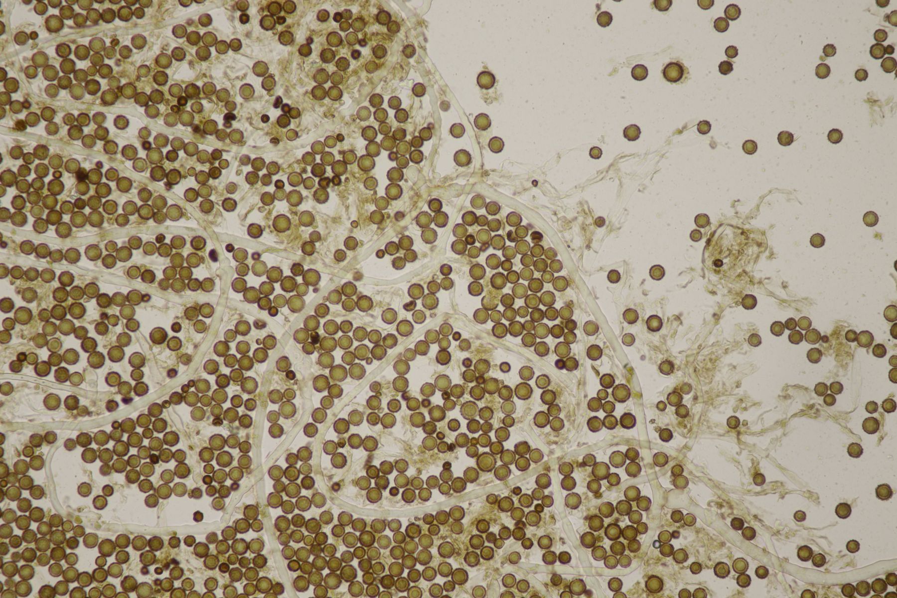
4. Noch unbestimmer Ascobolus und Pseudombrophila hepatica auf Kaninchendung
Björn
