Hallo zusammen,
da das Wetter am Sonntag hier eher bescheiden war, habe ich nur eine kleine Runde durch den Stadtwald gedreht. Aber auch das hat sich gelohnt, denn es gab gleich mehrere für mich neue Pilze.
1. Pezicula cinnamomea auf Quercus robur
Mit Lugol
Mit Lugol nach KOH-Vorbehandlung
2. Eine Hypocrea, die ich für Hypocrea strictipilosa halte
3. Mal wieder ein Lebermoos...
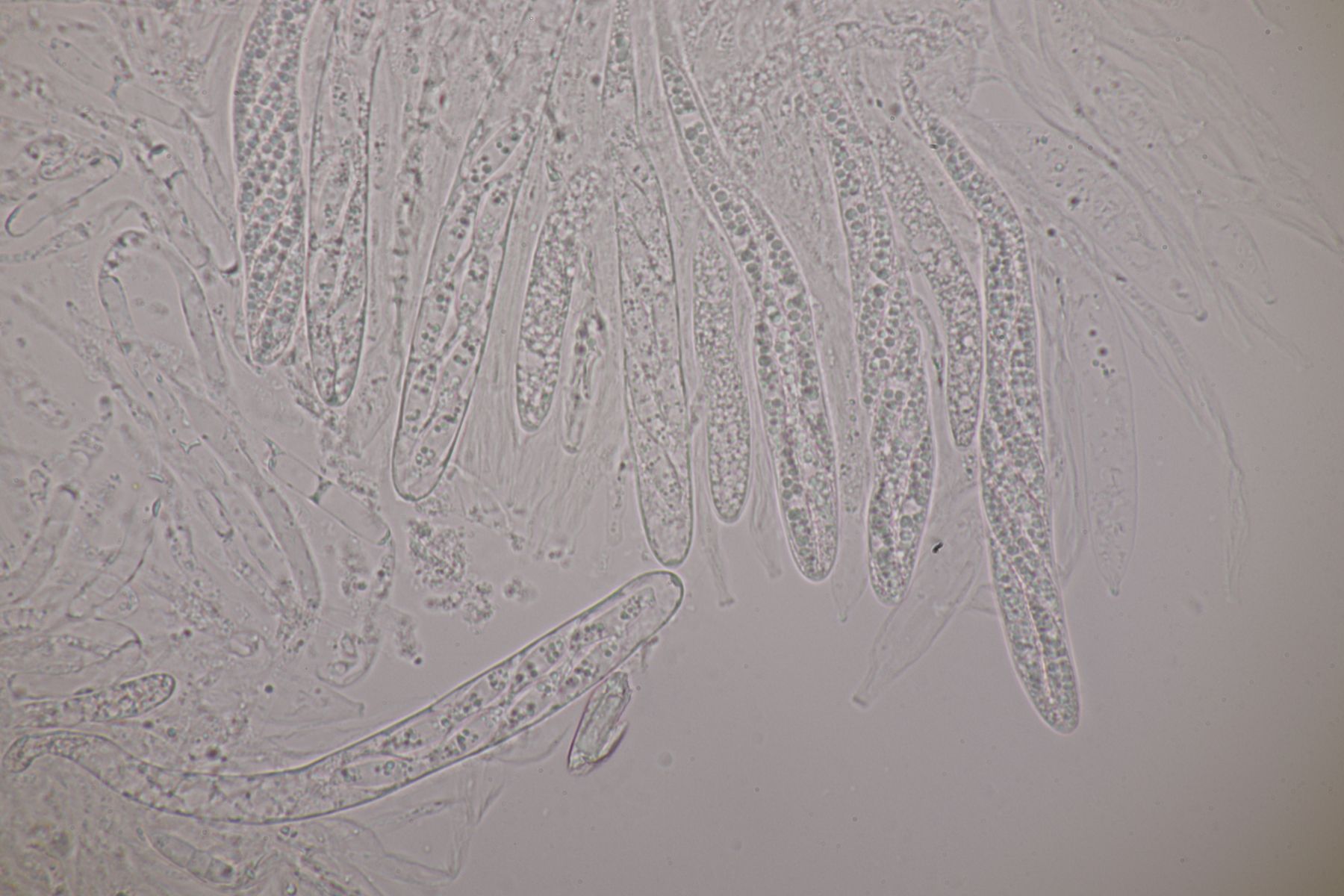
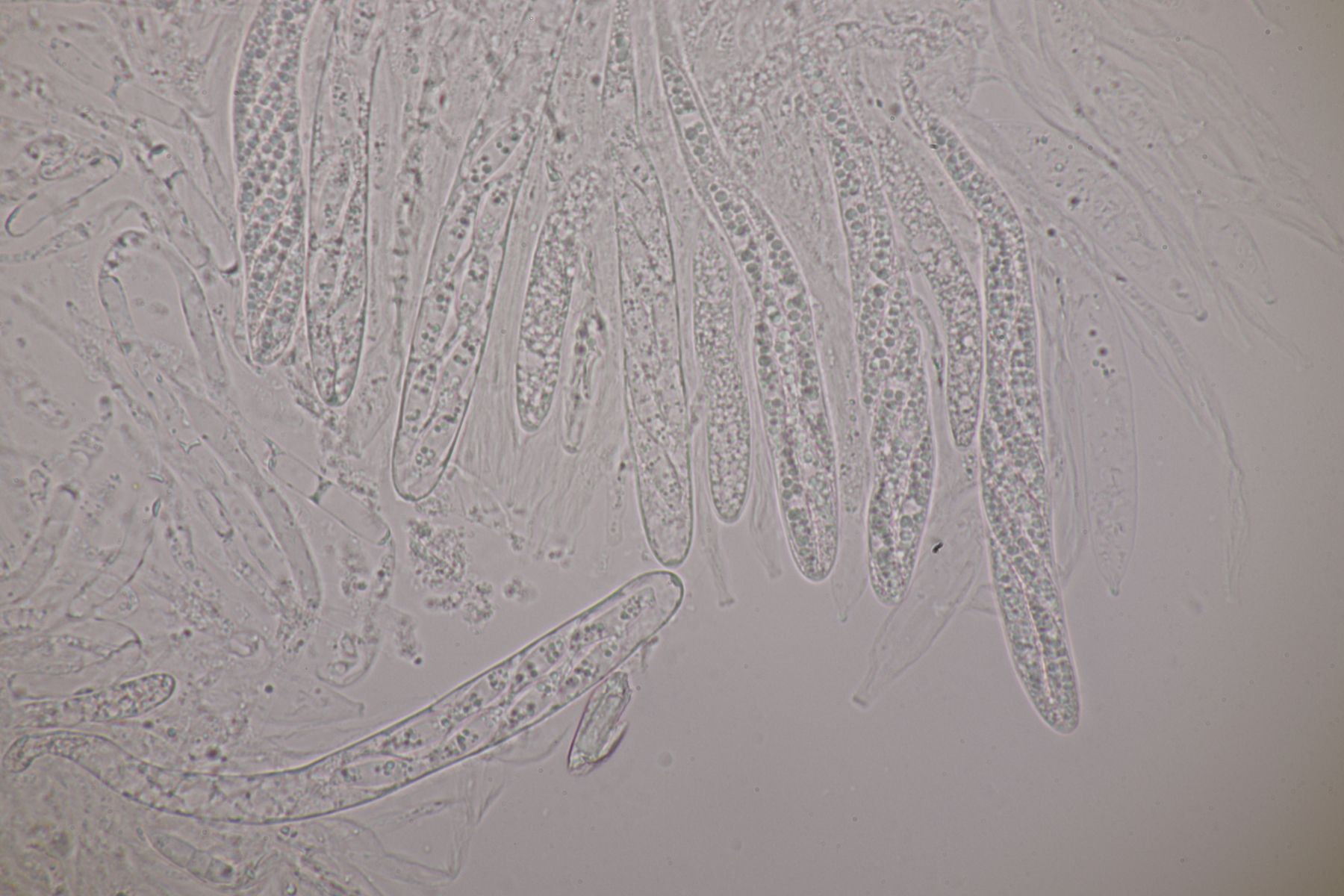
4. Capitotricha bicolor an Quercus robur. Vermutlich eine übersehene Art, da sie an dünnen, noch am Baum befindlichen Ästchen wächst.
5. Meloderma desmazieri auf Pinus strobus, auch eine wohl oft übersehene Art. Einfach mal am Baum befindliche Nadeln von Pinus strobus nach Spaltlippen absuchen.
6. Auf Fagus sylvatica. Eine Chaetosphaeria?
Björn
