Halloo zusammen,
am letzten Sonntag ging es nach langer Zeit mal wieder auf eine Pilzexkursion in die Gruga. Hier und da standen einige Pilze, wobei es durchaus ein optisches Highlight gab:
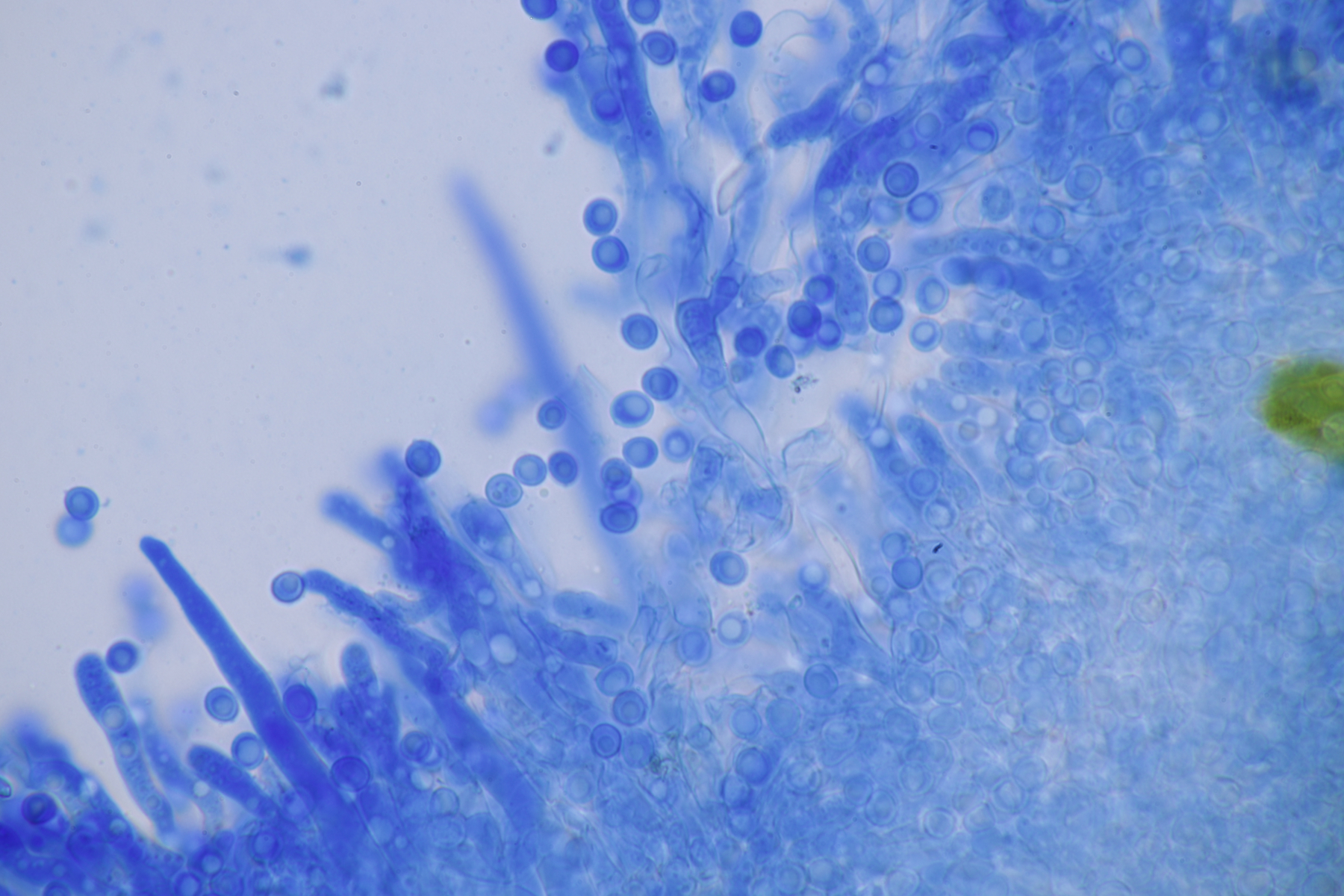
1. Leucoagaricus ionidicolor
Huthaut
Ring
Cheilozystiden
Basidien
Sporen in Wasser
2. Agaricus augustus
3. Golovinomyces macrocarpus ex Matricaria chamomilla
4. Entyloma cosmi ex Cosmea bipinnata
5. Und noch ein Rindenpilz mit Fragezeichen. Gattungstechnisch lande ich bei Hypochnicium. Die entscheidende Frage ist jetzt, ob die Sporen glatt oder ornamentiert sind. Mit BWB meine ich bei einigen Sporen wenige, ganz feine Punkte auf der Sporenoberfläche gesehen zu haben. Die meisten Sporen erschienen aber auch mit BWB glatt. Sporenmaße sind 6-7 µm x 5,5-6,5 µm, Schnallen sind vorhanden, Zystiden sind nicht inkrustiert. Wenn ich von glatten Sporen ausgehe, lande ich bei H. eriksonii oder H. subrigescens. Ersteres paßt von den Sporenmaßen her nicht so gut, würde aber zu dem lockeren Hyphengewebe, welches nicht gelatinisiert ist, passen. Bei den warzigen Sporen wäre H. cremicolor wohl ein heißer Kandidat. Was sagen die Experten?
Björn
