Hallo zusammen,
einige von Euch haben die folgenden Bilder zwar schon beim Forums-Zoom-Meeting letzte Woche gesehen, aber auch alle anderen sollen eine Chance auf deren Genuß bekommen. Am vorletzten Wochende war der APR mal wieder auf einem pilzkundlichen Wochenende in Hilchenbach. Am ersten Tag ging es wie immer in die Grube Littfeld. Insgesamt war es zwar recht trocken und das Pilzaufkommen gering, aber ein paar Funde gab es dann dch zu bestaunen.
1. Kuehneromyces mutabilis
2. Evernia prunastri
3.Phragmotrichum chailletii
4. Ramularia macrospora ex Phyteum sp.
5. Mycena silvae-nigrae
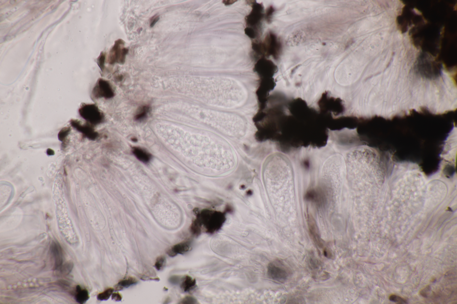
7. Puccinia chondrillae ex Mycelis muralis
8. Sarea difformis s.l.
9. Lophium mytilinum
10. Morchella elata agg.
Björn
