Hallo zusammen,
es hat ein bisschen länger gedauert, aber jetzt fange ich damit an einen Sammelthread zu der Beauveria bassiana und Isaria farinosa zu starten.
In der Hoffnung, dass wir irgendwann eine Bildersammlung aus den verschiedensten Wirten zusammenbekommen.
Ich finde es immer wieder spannend welche Wirte diese beiden Pilze befallen können und versuche auch einiges einzusammeln, zu trocknen und aufzubewahren.
Beide Pilze sind Makroskopisch nicht voneinander zu trennen, es sei denn die Isaria farinosa bildet eine Synnemata, dann lässt sich diese schon im Feld bestimmen.
Synnemata von Isaria farinosa auf Puppenlarve
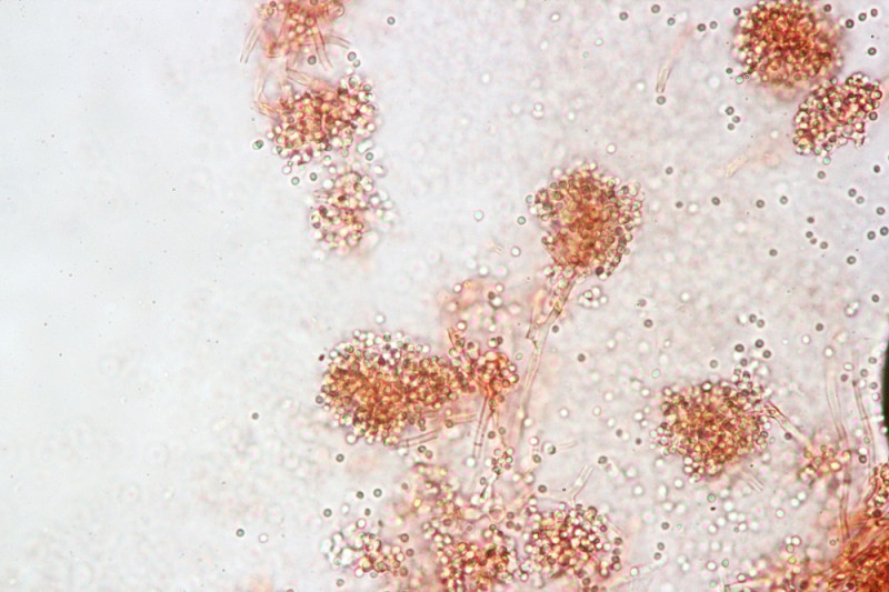
Mikroskopisch lassen sich die beiden Pilze auch leicht bestimmen. Denn die Isaria farinosa bildet Phialiden aus, an denen die Sporen gebildet werden. Bei der Beauveria bassiana dagegen, werden blassige Zellen gebildet, an denen irgendwann gezackte Konidienträger entstehen.
Isaria farinosa Konidienträger
Beauveria bassiana
Hier sind die Makroskopischen Bilder:
1. Beauveria bassiana auf einer Vermutlichen Köcherfliege Fund 29.08.2020
2. Beauveria bassiana auf Rüsselkäfer 30.08.2020
3. Beauveria bassiana auf Wespe Fund 27.08.2020
4. Beauveria bassiana auf unbekannten Käfer Fund 19.07.2018
5. Beauveria bassiana auf Chrysomela vigintipunctata Fund 30.12.2018
6. Isaria farinosa auf Nomada sp. Fund 09.06.2018
7. Beauveria bassiana auf Drymus cf. brunneus Fund vom 07.01.2018
8. Isaria farinosa auf unbekannter Larve Fund vom 23.01.2018
9. Beauveria bassiana auf Drymus cf. brunneus Fund 14.10.2017
10. Beauveria bassiana auf Aphrophora cf. alni Fund 23.07.2016
11. Beauveria bassiana auf Humme Fund 19.11.2016
12. Isaria farinosa auf Wanze 16.10.2016
13. Beauveria bassiana auf unbekannten Insekt Fund 03.06.2016
14. Beauveria bassiana auf Ohrenkneifer Fund 13.06.2016
15. Isaria farinoa auf Nomada cf. alboguttata Fund 22.06.2016
16.
17. Beauveria bassiana auf Hummel Fund 06.12.2015
18. Isaria farinosa auf Himacerus mimicoides Fund 12.12.2015
19. Isaria farinoa auf cf. Agelastica alni Fund 10.01.2016
20. Isaria farinosa auf Puppenlarve Fund 22.07.2015
21. Isaria farinosa auf Puppenlarve Fund 24.07.2015
22. Beauveria bassiana auf Raubfliege Fund 01.08.2015
23. Beauveria bassiana auf Wanze Fund 27.09.2015
24. Isaria farinosa auf unbekannter Puppenlarve
VG : Thorben
