Hallo an alle!
Heut Stelle ich euch mal eine Fund vom letzten WE vor:
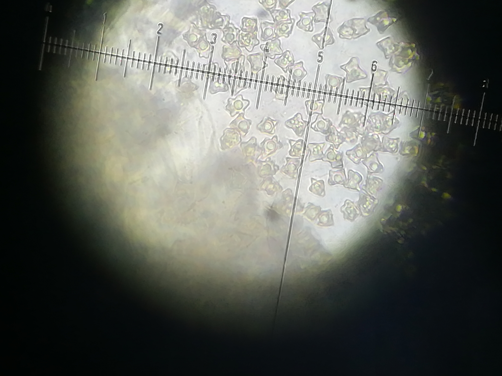
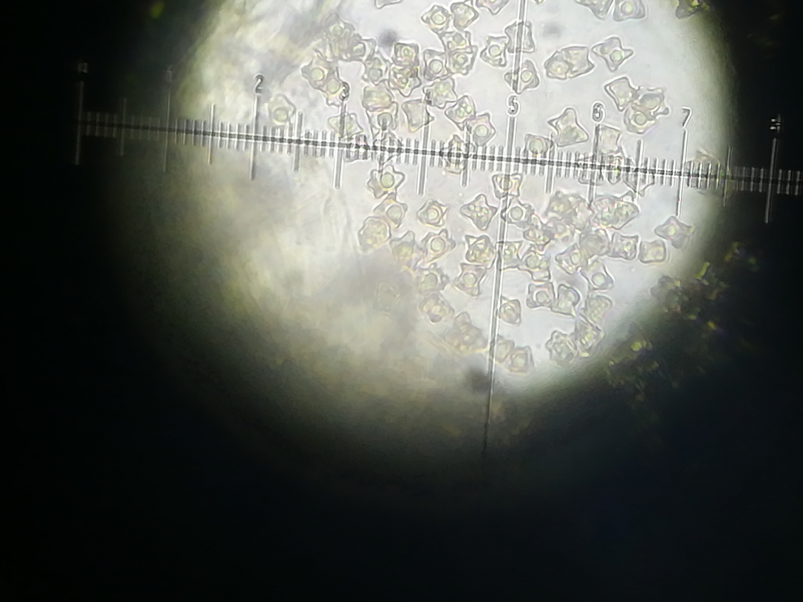
Höchstwahrscheinlich Entoloma conferendum. Leider keine Makrofotos vorhanden, aber die Mikrobilder müssten für sich sprechen, oder?
LG Michi ![]()
Es gibt 2 Antworten in diesem Thema, welches 1.617 mal aufgerufen wurde. Der letzte Beitrag () ist von PilzMichi.