Hallo Wurzelchen
Hallo Thorben,
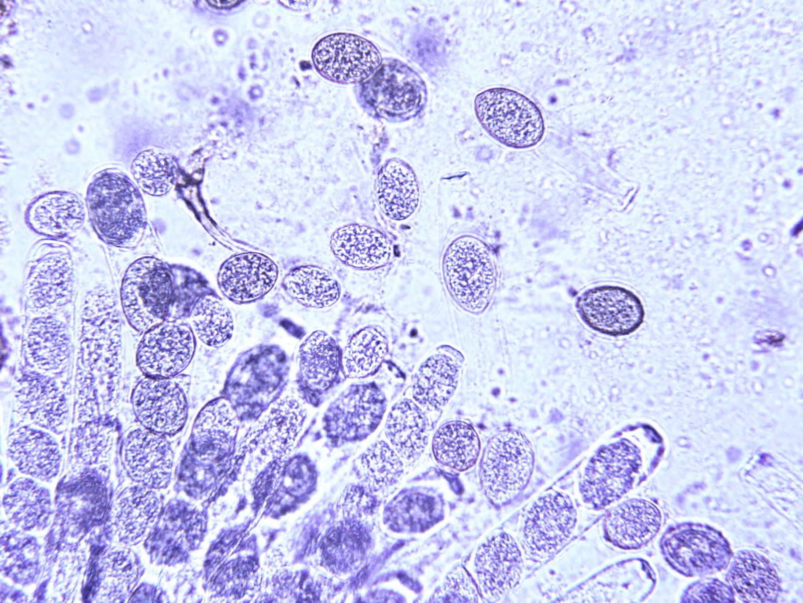
dann ist das die Konidie von Splanchnonema argus lt. der Datenbank (Mykis). Die reife Form hatte ich auch schon.
Gut zu wissen, wie das aussieht.
Prosthemium betulinum schaue ich mir noch mal an.
Ja Birkenäste sammle ich auch, inzwischen auch Äste von anderen Gehölzen.
Vielen Dank für Eure Hilfe
Liebe Grüße
Heidrun
