Danke.
Die Fruchtkörper sind aus dem Ostschwarzwald, jedoch schon auf Muschelkalk.
Beiträge von Askger
-
-
Ich versuche mich gerade an der Cortinarien-Bestimmung und habe folgende Fruchtkörper gefunden. Ich bin auf Cortinarius dibaphus gekommen. So 100%ig sicher bin ich mir jedoch nicht, da ich hier noch keine Erfahrung habe. Vielleicht kann mir deshalb jemand den Fund bestätigen oder eine andere Vermutung aufstellen.
Bei dem Fruchtkörper handelt es sich um einen mittelgroßen Klumpfuß.
Hut: Schleimig, mit violetten sowie braunen Tönen. Man erkennt auch weißliche Velumreste. KOH kaum positiv, evtl. leicht rosalich.
Stiel: Weiß Violet gefärbt, intensivere Farbe an der Stielspitze und Knolle. Mit Gunjak grün.
Knolle: Gerandet, mit weißem Myzel. KOH 10% Rosa.
Fleisch: Weißlich, in der Knolle zum Rand hin etwas brauner. KOH 10% intensiv Rosa.
Lamellen: Meinerseits wenn dann nur schwach violett, eher weißlich.
Geruch: Malzig bis unangenehm.
Geschmack: Hut + Huthaut bitter.
Sporen: Zitronenförmig.
Habitat: Auf Muschelkalk bei Tannen. -
Ich habe die Möglichkeit, relativ günstig an ein Zeiss Stemi 305 mit Ringleuchte zu kommen. Dieses stammt jedoch von jemandem, der es im elektronischen Bereich genutzt hat. Da ich bisher noch kein eigenes Stereomikroskop besaß und aus Lehrgängen nur Modelle mit Spotleuchten kenne, frage ich mich, ob diese Ringleuchte für den Einsatz in der Mykologie geeignet ist – oder sogar eine bessere Ausleuchtung bietet als Spotleuchten.
Vielleicht hat jemand Erfahrung damit oder kann eine Einschätzung abgeben?
-
Ich bin noch ganz am Anfang was Mikroskopie angeht und versuche mich gerade an den ein oder anderen Merkmalen, so gerade an den Schnallen.
So wie ich verstanden habe, befinden sich die Schnallen an den Septen der Hypen von diversen Ständerpilzen. Dabei bin ich auf folgende unbeantwortete Frage gestoßen:
Wenn ich in der Literatur z.B. Gminder / Karasch die Angabe "Schnallen -" lese. Kann ich hier nun beliebig aus dem Pilz ein Stück entnehmen und mir hier die Hypen / Septen anschauen oder sind diese Schnallen ungleichmäßig im Furchkörper verteilt z.B. nur in den Lamellen oder nur im Stiel oder auch einfach zufällig mal hier mal dort!? -
Danke, es haben sich auch keine großen Alternativen gezeigt. Die Art könnte schon ganz gut passen.
-
Eine Einschränkung auf ein paar mögliche Arten wäre auch schon etwas

-
Ich habe am 31.03.2025 in einem Waldstück auf Sandstein im Moos folgenden Pilz gefunden. Nach eigenen Bestimmungsversuchen wäre für mich der Bereifter Wurzel-Trichterling (Clitocybe pruinosa) am naheliegendsten. So richtig sicher bin ich mir hier jedoch nicht.
Vorkommen: Auf moosiger Stelle mit Fichten, Tannen und Kiefern im Umkreis.Hut: ca. 3cm im Durchmesser, Hutoberfläche glänzend, grau bereift mit gebogenem rand, leicht
Lamellen: Helle, angewachsene, herablaufende und ausgebuchtete Lamellen, mit Zwischenlamellen, Lamellenschneiden glatt.Stiel: ca. 5cm lang, 8mm Durchmesser, hell, leicht überfasert, mit deutlichen Myzelsträngen an der Basis
siehe Fotos. -
Danke. Ich werde das nochmals versuchen

-
Danke für den Hinweis

-
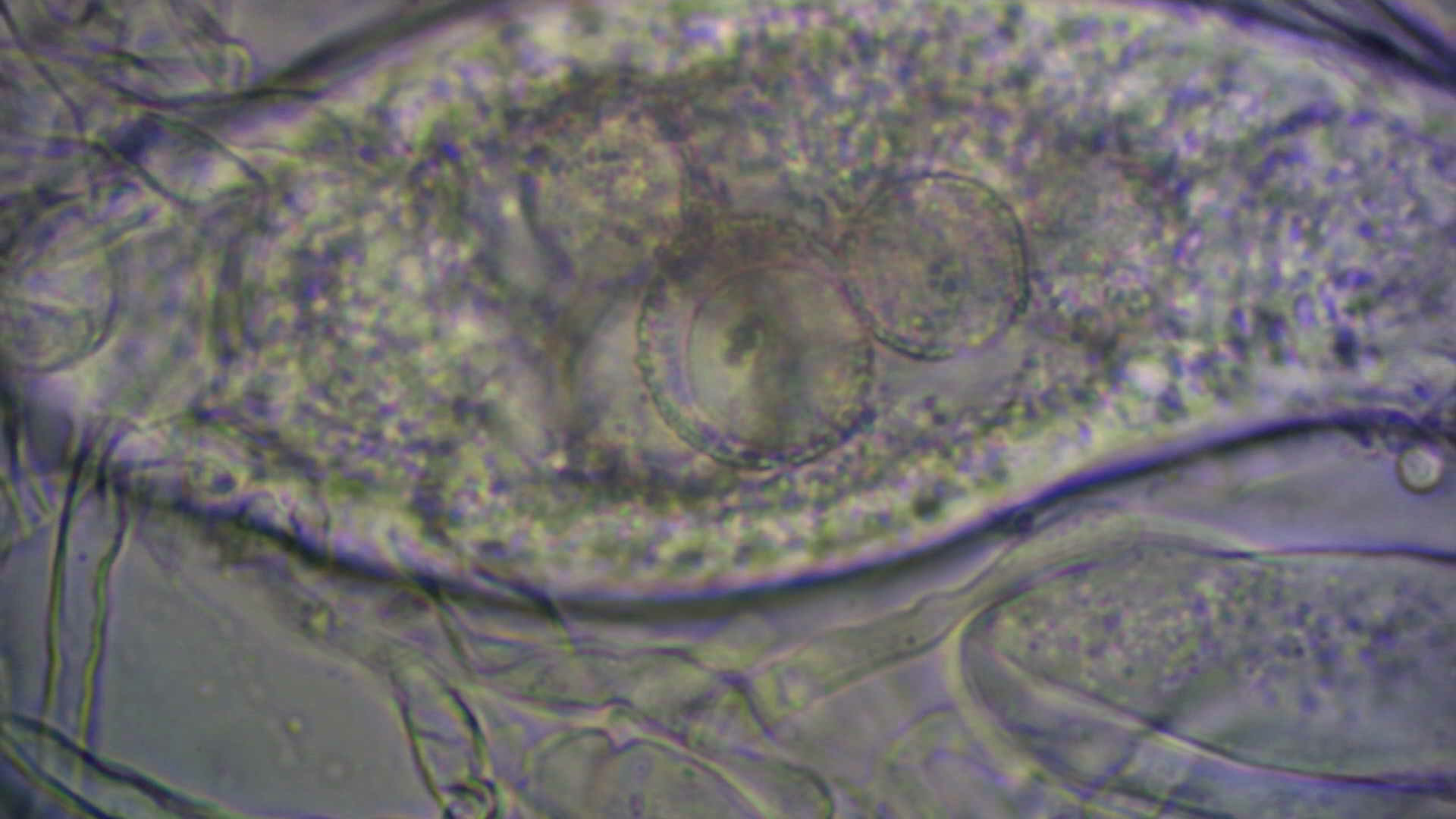
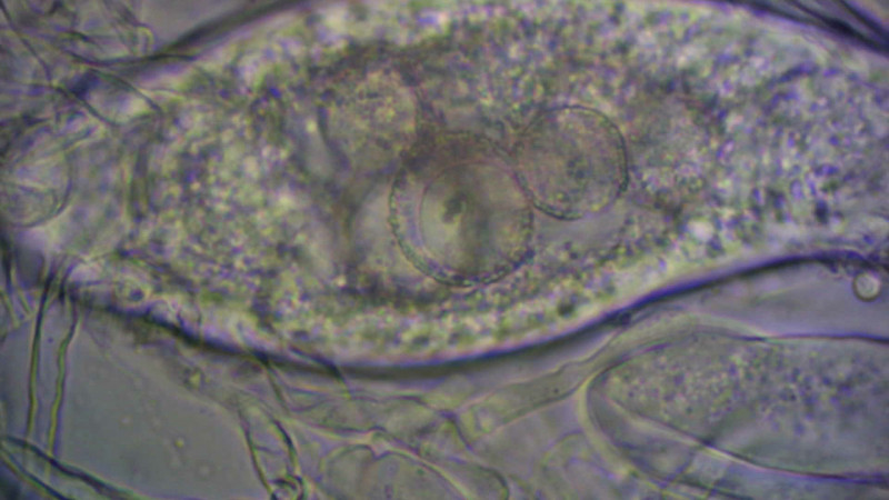
Ich mache zur Zeit die ersten Versuche mit dem Mikroskop und habe heute einen der Kelchbecherlinge gefunden. Die die Fotos sind leider nicht so toll geworden, was auch daran liegt, dass meine Präparate wohl zu dick geschnitten waren. Jedenfalls sind die Asci 8 Sporig und die Härchen sehen für mich korkenzieherartig verbogen aus, ganz sicher wie ich die Aufnahmen deuten soll bin ich mir aber nicht. Jedenfalls wäre ich jetzt aufgrund von den Härchen davon ausgegangen es müsste sich hier um den Österreichischer Prachtbecherling handeln. Kann mir das jemand bestätigen oder widerlegen.

-
Alles anzeigen
Hallo Askger,
lege ein kontrastreiches Präparat ein und stelle am Mikroskop scharf.
Dann halte mal die Kamera ohne Objektiv und ohne den Adapter über den Fotoausgang. Du solltest am Monitor der Kamera ein Bild erhalten, indem du mit dem Abstand von Kamera zum Fotoausgang variierst. Wenn du tatsächlich ein scharfes Bild erhältst, dann weißt du den genauen Abstand.
Dann wäre es auch möglich, eine mechanische Lösung zu finden. Evtl. muss man dazu das Teil vom Fotoausgang abnehmen.
Ob die Lösung wirklich gescheite Bilder erbringt, lässt sich nicht vorhersagen. Das kommt ganz darauf an, wie gut/schlecht die Objektiv/Tubuslinsenkonstellation bei deinem Bresser-Modell ist.
Gruß
Peter
PS: Du kannst auch einfach mal bei Bresser nachfragen, ob sie eine Lösung für dich haben. Die werden bestimmt was anbieten können. (evtl. https://www.bresser.de/p/bress…ter-2x-t2-23-2-mm-5942080)
Der verlinkte SLR-Kameraadapter in Kombination mit meinem A-Mount T2-Ring war die Lösung.

Dieser hat auch Feingewinde und eine kleine Inbusschraube zur Justierung mit der man die Optik einstellen kann. War jetzt von einem Zwischenhändler auch deutlich günstiger als auf der Bresser Homepage. Damit ist das Problem gelöst
Danke nochmals für die Tipps. -
Vielen Dank erstmal für alle Antworten. Ich teste, dies jetzt nochmal und frage auch mal bei Bresser nach und schicke ein Update sobald ich weiter bin.
-
Ich habe es mal mit einem Butterbrotpapier versucht und in der Tat ist das Bild auf dem Fotopapier ca. 2-2,5cm über dem Tubus scharf. Der Adapter hat auch eine Kontermutter, mit welcher ich aber nur minimal variieren kann. Danach kommt ein T-Ring für das A-Mount der alten Kamera. Hab auch mal ein Foto der Kamera ohne Objektiv gemacht. Ich wäre jetzt davon ausgegangen der Sensor müsste viel näher an den Tubus, was aber nicht möglich scheint.
Angaben die ich zum Sensor gefunden habe:Die Sony A58 (Sony SLT-A58) hat einen APS-C-Sensor mit folgenden technischen Daten:
* Sensorgröße: 23,2 mm × 15,4 mm (APS-C)
* Sensor-Typ: CMOS-Sensor
* Megapixel: 20,1 MP (effektiv)
-
Ja mit Unendlich-Optik. Das ist ein Bresser Science Infinity, welches ich mal sehr günstig erstanden habe, leider kein echter Markenhersteller. Der Adapter ist auch von der selben Marke. Ich habe jetzt aber auch nicht versucht hier vertikal den Adapter zu variieren sondern bis zum "Anschlag" im Tubus gehabt.
-
Ich habe vor kurzem eine ältere Wechselobjektivkamera (Sony a58) geschenkt bekommen. Da ich mich auch gerade am Mikroskopieren versuche, aber leider nur eine sehr schlechte USB-Kamera habe, dachte ich mir, ich nutze für Fotos direkt die Sony Kamera. Ich habe mir deswegen auch gleich einen für die Kamera passenden A-Mount Adapter geholt, das Objektiv entfernt und die Kamera mit dem Adapter verbunden. Den Adapter habe ich dann in den T-Tubus bis zum Anschlag eingeführt. Leider musste ich nach dem Zusammenbau feststellen, dass ich das Bild vom Präparat nicht fokussiert bekomme. Da ich mich mit der Fotografie noch weniger als mit dem Mikroskop auskenne, weiß ich leider auch nicht wie ich dieses Problem lösen kann. Könnte es sein, dass hier Zwischenringe für die Kamera noch erforderlich sind?
-
Macht doch lokal einen kleinen Pilzstammtisch.
Wenn ich lokal überhaupt jemand finden würde der sich für Pilze interessiert. Ich versuche schon seit Jahren jemanden dafür zu begeistern, hab schon das ganze Dorf vollgequatscht. Ich habe aber bei mir hier auch noch nie Jemand im Wald getroffen der Pilze sammelt, obwohl ich alle 2-3 Tage für mehrere Stunden im 15km Umkreis im Wald bin. Bin hier irgendwie für mich allein.
Auch kann ich selbst nicht wirklich öffentliche Pilzführungen anbieten, was jetzt nicht an der Kenntnis liegt, sondern einfach weil ich schon alleine keinen Titel habe. Privat habe ich natürlich schon welche gegeben, wenn dann will man aber nur Steinpilze sammeln und auch nicht mehr über andere Pilze wissen. Da es bei mir kaum Röhrlinge oder Täublinge gibt, warum auch immer (Wohne auf so einer komischen +-pH neutralen Grenze mit Tannenwäldern auf Kalk zu Sandstein), kann ich da auch nicht ohne größere Fahrt hier für Begeisterung bei Anfängern sorgen. -
Ich kann jetzt aus eigener Erfahrung sprechen. Ich bin mit 40, bei mir im Verein jetzt auch bei den jüngeren mit 20-30 Jahren Abstand zum Schnitt. Kein einziger der 8 PSV dort ist jünger als ich. Und das nächst jüngere Mitglied ist 20 Jahre alt. Ich kenne viele junge (Alter 25-35) Pilzsammler, diese haben oft den Pilzcoach gemacht und manche erst jetzt den PSV. Viele bieten eigene geführte Touren an. In einem Verein ist jedoch kaum einer, weil es einfach zu wenige davon gibt. Ich selbst fahre schon 45 min zu meinem, von 100 Leuten sind dann 80 reine "Steinpilzsammler". Ich habe jetzt öfters schon versucht, neue Mitglieder anzuwerben, aber das scheitert meist nicht an Interesse an einem Verein, sondern einfach an dem langen Weg dorthin. Austausch der jüngeren, findet hier dann nicht im Verein oder wie hier im Forum statt, sondern auf Social Media. Vor allem Instagram oder evtl. noch Reddit. Facebook zwar auch, aber das ist dann auch wieder eher für "ältere" vor Generation 1990. Auch die Qualität der Beiträge ist auf den neueren Plattformen bedeutend besser.
Was die PSV Prüfung angeht, welche ich 2026 machen möchte, ist das größte Problem einen Termin zu bekommen. Für 2025 ist innerhalb 2 Stunden Fahrt schon alles ausgebucht . Insgesamt wären auf 2 Prüfer hier 8 Plätze pro Jahr zu haben. Zumindest von 2024 weiß ich, dass von diesen 8 Prüfungen wohl 2 nicht bestanden wurden, die also dann nochmal zur Prüfung kommen müssen. Also selbst wenn man PSV gerne machen würde, kann es einfach schon daran scheitern, dass man einfach keinen Platz für eine Prüfung findet.
TL;DR: Ich glaube es gäbe einige PSVs mehr, wenn man einfacher an Prüfungstermine käme, was daran liegt, dass es wohl einfach zu wenig Prüfer gibt. -
Alles anzeigen
Lieber Asker
Für deine Fragen könnte dir allenfalls noch der Vortrag von Christoph Hahn dienlich sein:
https://www.youtube.com/live/sBG9ROE-Q2s?si=Evdrcpq8aVAZ6own
Beste Grüsse
Corinne
Das sind genau die Antworten zu meinen Fragen und dann direkt noch vom Autor. Danke

-
Danke, das mit dem reduzierten Velum habe ich jetzt auch beantwortet bekommen.

"Ein reduziertes Velum Universale weist darauf hin, dass die ursprüngliche Hülle nur noch minimal ausgebildet oder sichtbar ist. Dies kann ein Merkmal bestimmter Pilzarten oder ein Hinweis auf die Evolution des Pilzes sein, bei dem das Velum Universale in seiner Funktion nicht mehr so wichtig ist." -
Danke für die Antworten, da stellt sich mir dann nur noch die Frage, was soll ich mir genau unter einem "reduzierten" Velum Universale vorstellen? Reduziert wo? wie?

Ich möchte das jetzt nicht allein bezüglich einer PSV-Prüfung wissen, sondern rein aus Interesse muss ich das ganz genau wissen. Sonst kann ich nicht mehr schlafen
-
Bis vor kurzem dachte ich immer Champignons haben kein Velum Universale. Jetzt lese ich aber im Buch "Die Pilze Deutschlands" von Jürgen Guthmann und Christoph Hahn in der Gattungsbeschreibung, Champignons haben ein reduziertes Velum Universale. In PSV Musterlösungen sehe ich aber öfters Champignons als Antworten für Pilze mit nur Teilhülle.
Was stimmt denn nun? Ich schenke mal dem Buch glauben, aber wenn man so rumfragt würden die meisten die ich kenne sagen es gibt kein Velum Universale bei Champignons. -
Danke. Das sind doch hilfreiche Informationen

-
Ich habe den Pilz heute nochmals gefunden, hier steht praktisch der ganze Wald jetzt voll damit. Hunderte von Fruchtkörpern. Er riecht wirklich nach Petersilie und auf mit KOH verfärbt er sich entsprechend. Hut Rotbraun, Stiel ähnlich. Was mich jedoch verwirrt hat war der Test mit Alkohol auf Raukopf / Hautkopf. Ich habe Isopropylalkohol verwendet, wobei eine Verfärbung auf dem Blatt entstand. Ich dachte nur Hautköpfe verfärben bei Kontakt mit Alkohol. Habs dann nochmal auf Toilettenpapier. Bin jetzt etwas verwirrt. Entweder ist es irgendein Hautkopf oder ich habe beim Test mit Alkohol was falsch gemacht oder falsch verstanden?
-
Danke. Cortinarius melanotus sieht schonmal vielversprechend aus. Mal schauen ob ich nochmal ein Exemplar finde um das nochmal zu überprüfen.

-
Ich habe schon vor ein paar Wochen diesen Pilz bei mir im Wald entdeckt und konnte bis heute nicht herausfinden was es war, würde es aber aufgrund des für mich eher auffälligen Aussehens doch sehr interessieren.
Habitat: Nadelwald Fichte / Tanne, auf Erdboden evtl. vergrabenem Holz, auf Kalkboden.
Sporen: Der Pilz blieb über Tage feucht, aber gab nur einen minimalen Sporenabdruck, welcher braun war.
Hut: ca. 5cm, braun, filzig? Rand eher weißlich
Stiel: ca 6cm lang und bis max. 1cm im Durchmesser, hohl
Lamellen: Angewachsen, mit helleren Schneiden (siehe Bild)
Geruch: Kann ich nicht zuordnen, evtl. erdig, modrig
