Danke! Ich habe jetzt noch mehrere Fruchtkörper untersucht, und da war kein Hauch von violett, alles nur braun-grün. Naja, dann ist es halt in der Nähe von C. spetentrionalis, mit Fragezeichen. Damit will ich jetzt auch zufrieden sein.
Beiträge von sigridj
-
-
Schöne Zeichnungen. Also ich finde, (c) sieht schon sehr ähnlich aus.
-
Ja danke! Da wäre ich in tausend Jahren nicht drauf gekommen. Ich werde mich gleich einmal in die Materie einlesen. Ich bin sehr dankbar, Deine Expertise in diesen Sachen zu bekommen. Mit normalen Mitteln kommt man in diesen Sonderfällen nicht weit.
-
Also ich weiß gar nicht, wo ich hier anfangen soll. Auf sieben Wochen altem Hirschdung von außerhalb New York. Die Perithecien sind so 0.3mm breit und grau. Die Sporen sind 10 bis 11 zellig, und 45µm x 5µm, Asci vielleicht 60µm. Sieht ein bißchen aus wie Sporormia aber es paßt nichts. Ist es etwas ganz anderes?
-
Ich glaube, ich habe eine C. septentrionalis gefunden - aber es paßt vieles nicht. Was paßt, ist die Septe in der dunklen Zelle. Was fehlt, ist die violette Farbe und die Haare des Peritheciums und die Maße sind auch etwas zu kurz mit 13µm x 8.5µm. Gibt es sonst noch Cercophora mit Septen (außer C. aerolata, die gar nicht paßt)? Ich habe nur Lundquist, und ich sehe da nichts.
-
Danke - den kann ich brauchen
-
Felli,
Ich glaube Du hast recht. Hier nochmal mit Tusche, obwohl es auch nicht viel hilft.
-
Sporen sind mit 23µm x 8µm ein bißchen zu groß, aber sonst paßt eigentlich alles. Auf 7 Wochen altem Cervidendung von außerhalb New York. Die Haare sind sind so um 150µm lang, asci 130µm. Liege ich da richtig?
-
Rätsel gelöst und wieder etwas gelernt - vielen Dank!
-
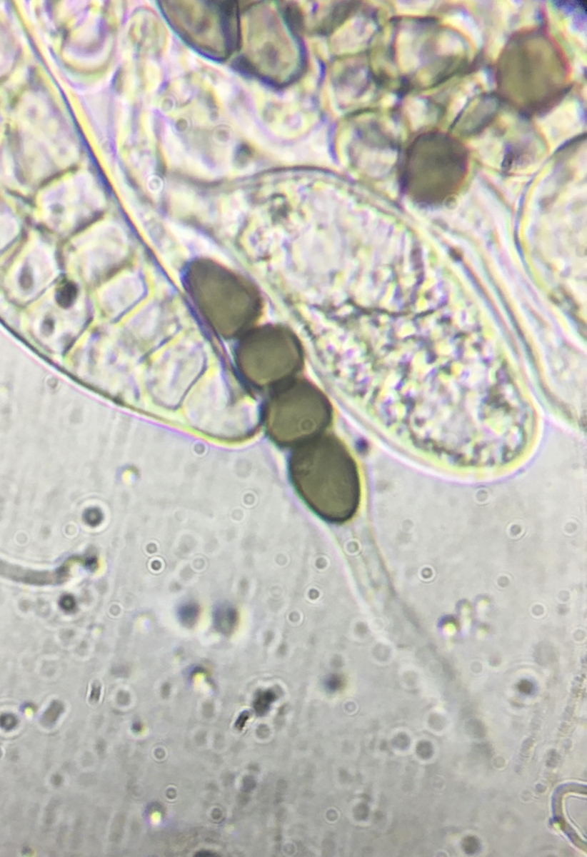
Ich schaue mir hier eine Podospora an und komme nicht weiter. Leider ist sie achtsporig und 22-24µm x 14-15µm, was ja öfter vorkommt. Das Pedicel ist sehr lang, über 80µm oder so. Das ganze wächst in Hirschlosung und das Perithecium (450-650) ist oft bis zum Hals versenkt. Ich dachte erst P. ellisiana, aber ich sehe keine Haare oder apikalen Ring. Für Schizothecium miniglutinans fehlen die Squamufolien. Kommt jemandem die Sache bekannt vor?
-
Charlotte und Nobi, vielen Dank!
Breiter als 7µm und länger als 27µm habe ich keine Sporen gefunden. Meine Bilder von den Asci sind leider nicht die besten, aber ich sehe Stiele die um 20µm lang sind.
Die Arbeit von Cain von 1961 habe ich, danke. Das ist jetzt allerdings erst meine zweite Preussia, das ist alles noch ganz neu für mich.
-
Aber natürlich - danke! 🤦🏻♀️ Preussia fleischhakii vielleicht.
-
Auf Hirsch, Bear Mountain außerhalb New York City. Winzige (0.2mm) schwarze kugelige Pseudothecien. Asci sind keulenförmig 70µm x 15-20µm, Sporen fallen leicht auseinander, 25-27µm x 6-7µm, mittlere Zellen sind beinahe rund oder sogar breiter wie lang. Keimspalte nur am Ende zu sehen, mit Knick.
Sporen zu breit und zu kurz für S. minima? Asci zu kurz und zu keulenförmig für S. cymatomera? Oder sind die einfach noch nicht reif?
-
Da eröffnen sich ja neue Welten mit jedem Fund. Vielen Dank für die extra Informationen und Dokumente über diese seltene Art - da wäre ich sonst nicht weitergekommen! Die Sporen sehen in der Tat wie die Illustration von Arx und Storm aus. Interessant, daß die Art auch auf Erdboden vorkommt, da ist ja ein ganz anderes Substrat.
Dein Fund sieht in der Tat sehr ähnlich aus, nur kann man bei Dir auch noch die Keimspalten sehen. Schön, wenn man eine Sache ohne Zweifel abhaken kann.
Leider war dieser Fund ein Einzelgänger, aber ich hoffe die Art noch einmal zu finden.
-
Schon wieder eine ... diesmal acht-sporig. Sporen sind 70-75µm lang und 8-9µm breit. Asci sind um die 150µm lang. Sporen in drei oder vier Reihen. Das Pseudothecium ist 1mm breit. Keimspalten sehe ich leider nicht. Die Sporen brechen leicht into Zellen. Gewachsen auf fünf Wochen altem Hirschdung von Bear Mountain 50km nördlich von New York City.
Den Sporenmaßen nach kämen nur S. subticinensis in Frage (habe leider keine Beschreibung) oder S. affinis, aber bei der sei die dritte Zelle breiter, und das sehe ich nicht. S. platymera paßt von der Zellenform auch nicht ganz. Was habe ich jetzt übersehen?
-
Ja sowas - das ist ja was ganz was Neues. Das ist ja eine schöne Detektivarbeit - vielen Dank!
Es passt nun wirklich das meiste - Sporengröße, der Keimschlitz, daß Zellen so schnell auseinanderbrechen. Und es sieht ja auch wie weiße Haare um den Pseudothecienhals (unten noch einmal ein Bild). Das einzige was nicht passt, ist daß ich keine Haare unterm Mikroskop sehe, und ich habe es mehrfach versucht sie zu finden. Angetrocknete Asci wären da eine bessere Erklärung.
Also mir wäre es herzlich lieb, wenn das wirklich S. albolanata wäre. Bis jetzt nur auf Wallaroo (?!) Dung in Australien gefunden. Das wäre ja wirklich interessant.
Bild ist leider nicht sehr scharf. Die Dinger sind winzig.
-
Ich werde es versuchen diese Art einmal auf Agar zu züchten, dann könnte ich PCR/DNA Analyse des Myzeliums machen. Leider sind die halt sehr schwer zu sterilisieren, da im Substrat versenkt, und dann schimmelt es immer gleich. Aber man hat ja viel Zeit momentan.
-
Also ich habe mir gerade wieder ein Exemplar angeschaut, um zu sehen wie variabel die sind. Maße sind weiterhin 22-24µm x 3.5-4µm. Die Form ist halt weiterhin nicht sehr nahe an der Illustration von Ahmed und Cain. "Constrictions at septa broad and deep" stimmt auch nicht ganz so. Vielleicht ist diese Art einfach sehr variabel?
-
Hmmm ... ich glaube Ihr habt recht.
Es passt aber trotzdem nichts, wenn ich nochmal durch den Schlüssel gehe.
-
Danke! Stimmt schon ... S. dakotensis paßt da nicht.
Hier noch ein Bild. Besser geht es leider nich. Die Perithecien sind sehr klein (0.1mm) und sehen aus wie winzige Ananas.
-
Vielen Dank, auch für den Kommentar zur Sporormiella!
Wir dürfen auch nur aus dem Haus, wenn es wichtig ist. Allerdings sind Spaziergänge im Park noch erlaubt. Das wird eine schwere Woche in New York. Da freut man sich über die Ablenkung durch die Mikroskopie.
-
Könnte das Arnium cirriferum sein? Keulenförmiges Perithecium 1mm lang, Ascos 200µm lang, Sporen 42-53µm x 16-20µm, Cauda bis zu 15µm breit an der Baisis. Kein Apikalring. Ich sehe allerdings keine Keimpore. Auf Weißwedelhirschdung von Kalifornien.
-
Auf altem Weißwedelhirschung von Kalifornien, Pseudothecia mit büscheligen Haaren, Sporen 4-zellig, 26µm x 4µm, Asci ~70µm. Keimspalten sind gerade und parallel zur Seite. Für S. chaetomioides sind die Asci sind zu kurz. Könnte es S. dakotensis sein?
-
Oh wow, dieser Dung aus der Bronx ist ja ein Ding. Leider habe ich bis jetzt nur eine Perithecie gefunden. Hoffentlich kommt da noch mehr.
Vielen Dank für die Diagnose!
-
Hier wimmelt es nur von Sporormiellas. Der selbe Dung, diesmal mit einer 10-zelligen Sorte. Perithecium hat graue Haare um die Ostiole. Asci sind um die 150µm lang. Sporen sind 50-52µm x 10-12µm. Keimzellen gehen gerade runter und ich sehe sie nur an den ersten/letzten Zellen.
Da paßt einiges zu S. decamera, leider aber nicht die Perithecien, did in der Orginalbeschreibung ja als unbehaart und beinahe schwarz beschrieben werden. Für S. calomera und S. herculea sind die Sporen viel zu kurz und schmal.Kann es sein, daß 8-sporige Sporormiellas auch mal mehr Sporen haben?
