Beiträge von coprinusspezi
-
-
Hallo Andy
Von Crepidotus fimbriatus habe ich keine Orgilalbeschreibung und nur die Bilder im Internet die genausogut C.cesatii oder ähnliche Arten darstellen könnten.
Ob die Sporen zu diesen Funden rund sind ist mir nicht ersichtlich!
Auch fehlen andere zuverlässige Mikromerkmale!
Eine makroskopische ähnlichkeit erkenne ich da auch nicht.
Danke für den Hinweis
Hans
hier verschiedene Crepidotusarten im Vergleich
-
Hallo
Am 23.08.2023 fand ich im Nachbarort Korschenbroich an altem morschen Laubholzstamm diesen hier!
Hut und Stiel mit langen Haaren, H. - 4 mm, St. bis 1,5 mm
Sporen: 5,4 - 5,7 x 5,2 - 5,4 µm
Hut bis 2,5 mm,
Hut bis 4 mm,
2 Tage später, Hut und Stiel mit langen Haaren
Haare am St. und H. in etwas gleich!
mit Schnallen
Sporen: rund, 5,4 - 5,7 x 5,2 - 5,4 µm
Huthaare
Einen ähnlichen Fund hatte ich am 13.08.2009 in der Eifel MTB 5705/ Nähe Mürlenbach an morschem Laubholz.
Stiele noch gut sichtbar behaart, Hüte schon etwas verkahlend
Sporen: 5,8 - 6,2 x 5,3 - 5,8 µm
Diesen Fund hatte ich zu der Zeit als Crepidotus applanatus angesprochen.
Da es zu der Zeit mein erster Fund von "C.applanatus" war, hatte ich damals auch noch keine eigenen Vergleichsfunde.
Danach kenne ich den nur in größere seitenstieligen Frk.!
Kennt jemand diese Art?
Liebe Grüße Hans
-
Hallo
Auf einem Misthaufen bei mir in der Nähe mit vielen Pferdeäpfeln wachsen im Augenblick verschiedene tolle Arten
Bolbitius coprophilus, Panaeolus antillarum und natürlich jede Menge Coprinus.
Coprinopsis cinerea, Coprinus sterquilinus, Coprinellus marculentus, Coprinellus curtus
und Narcissea cordispora
Frk. auf Pferdedung
Hutvelum: nur aus rundlichen Zellen! glatt oder etwas granuliert.
Cheilozystiden: rundlich,- oval
und flaschenförmig
z.T. auch verzweigt
Basidien: 4- sporig
Sporen: winkelig, mit zentralem Porus
+/- rechteckig bis zitronenförmig, in Seitenansicht bis linsenförmig
Sporengröße: 7,9 - 10,3 x 5,6 - 7,8 µm
Zuletzt gefunden: am 01.08.2023, in Mönchengladbach Genhülsen, MTB 4804/1.4 auf Pferdedung
N.cordispora unterscheidet sich von N.patouillardii im Hutvelum welches nur aus +/- rundlichen Zellen besteht!
desweiteren bestehen die Cheilozystiden aus zwei Typen, rundliche und flaschenförmige!
die Sporen sind im jungen Zustand +/- zitronenförmig zum Porus hin verschmälert und werden bei Reife gedrungener rundlich- quadratisch!
Einzeln oder in kleinen Gruppen, auf Komposthaufen und Pferdemist gemischt mit Erde und Holzspänen.
Nicht so häufig.
Liebe Grüße Hans
-
Hallo Markus
Habe den jetzt auch wieder auf Dung gefunden!
siehe: http://bender-coprinus.de/pilz…2023/_fuligo_cinerea.html
Grüße Hans
-
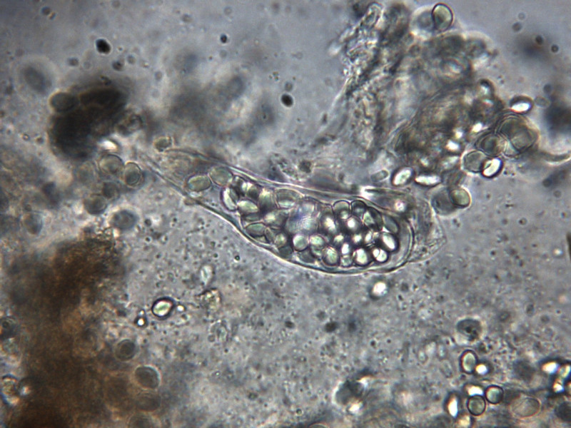
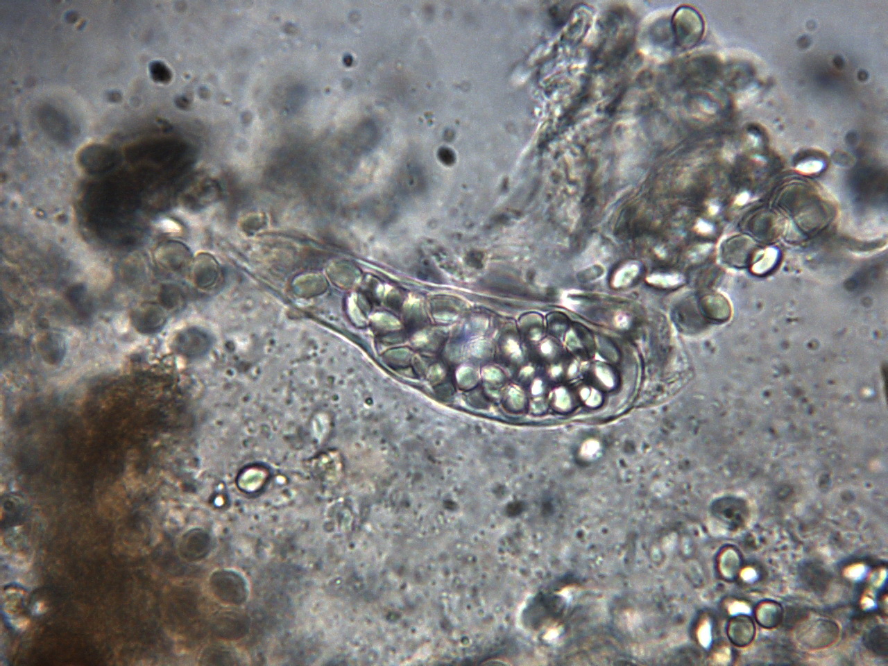
Hallo
auf Hasenköttel von 21.07.23, Heute ausgereift!
Sporen: 31 - 34 x 18,1 - 18,6 µm
Beste Grüße Hans
-
Ok. Danke
Habe gerade Vorgestern Kaninchendung angesetzt, mal sehen was kommt!
Bis jetzt: Mucor cf. mucedo, Sordaria fimicola, Sordaria humana, Stilbella fimetaria, Thelebolus polysporus
Bei der Hitze würde ich mich auch nicht entwickeln wollen

-
Hallo Nobi
Danke für den Hinweis.
Habe die Squamufolien gefunden!
Hier noch ein paar Bilder.
Habe den jetzt als Cercophora mirabilis notiert!
Grüße Hans
-
-
Hallo Petra und Werner
Auch hier noch mal herzlichen Glückwunsch zu dem tollen Fund und den schönen Bildern.
Ich habe den Fund für Mönchengladbach als weitere Neue Art notiert!
Damit habt ihr ein Scherflein dazu beigetragen, das Mönchengladbach mit knap 2100 Pilzarten eine der am besten kartierten Gebiete ist.
Weiterhin viel Erfolg
und schöne Grüße
Hans
-
Ok. Danke Nobi
dann suche ich den caninus noch!
L.G. Hans
-
-
-
Hallo
Auf Hundekot entwickeln sich aus einer feuchten gallertartigen Masse abgeflachte Frk
Die größten Sporenmaße: 10,1 - 10,9 x 4,7 - 5,1 µm
Die Paraphysen sind oft verzweigt, entwickeln sich von jung keulig bis reif kopfig und sind in Wasser gelb-oliv
Bei den Sporen habe ich den Eindruck, als ob diese in Profil und Aufsicht unterschiedliche Maße haben!
Thelebolus microsporus, den ich schon so oft gefunden habe, kenne ich nur mit Einzelfruchtkörper aber ähnlichen Merkmalen.
Hat jemand so etwas schon gesehen?
Grüße Hans
-
-
-
Neue Preise, meist halbiert
Grüße Hans
-
Hallo Nobi
Die Einschätzung zu C.filamentifer ist sicher naheliegend.
Dafür müssten die Sporen aber noch sehr viel dunkler (schwarz) und ausgeprägt winkelig werden.
Das Bergsteigersöckchen an der Stielbasis gibt mir auch Rätsel auf bei dieser Art.
Mal sehen ob da noch was von reiferen Sporen Kommt!
L.G, Hans
-
Hallo
Zu den beiden oben genannten Arten würde ich sagen, das man die eigentlich nicht verwechseln kann.
Makroskopisch: C.impatiens meist einzeln bis gesellig meist im Laubstreu wachsend mit breit gerieftem Hut. Frk. welkend
C.hiascens auf Erde an Wegrändern meist zu mehreren bis büschellig, Riefen nur eng, Frk. eher zerfließend
Die Sporen von hiascens sind in der Form etwas spitz zulaufend, langen Pileozystiden und mit Velum (oft übersehen)
Die Sporen von C.impatiens sind stumpfer und die Zystisen zugespitzter.
Liebe Grüße Hans
-
Hallo Harzi
Obwohl mir die Sporen etwas unreif bzw. notreif erscheinen und wohl untypische Formen zeigen, komme ich zusammen mit dem Hutvelum was die Art in die frühere Subsektion alachuani bei Ulje einstuft zu keinem Ergebnis.
Es wäre hier wohl nur abzuwarten, ob neuere Beschreibungen den Fund einordnen lassen oder selber etwas zu unternehmen.
Liebe Grüße Hans
-
Hallo
Ich habe hier noch einige orginal Olypusteile für Makrofotografie
ein Schiebe- Balgen mit Stativbefestigung sowie 2 Zwischenringe!
Bei Interesse bitte mit mir unter info@bender-biotop.de
einen Preis erfragen bzw. aushandeln.
Grüße Hans
-
Hallo, zu den Preisen kommt noch das jeweilige Porto
20,-€, für alle
AMO Beiträge zur Kenntnis der Pilze Mitteleuropas I, 1974 – 1984, (10 Jahre AMO)
AMO Beiträge zur Kenntnis der Pilze Mitteleuropas II, 1986
AMO Beiträge zur Kenntnis der Pilze Mitteleuropas V, 1989
20,.€ für alle
Beiheft zur Zeitschrift für Mycologie 1.1976
Beiheft zur Zeitschrift für Mycologie 2.1980 Bauchpilze
Beiheft zur Zeitschrift für Mycologie 3 1981
Beiheft zur Zeitschrift für Mycologie 4.1982
Beiheft zur Zeitschrift für Mycologie 5.1984
10.-€ für alle
Bolletino G.Bresadola1994 N. 1 – 2
Bolletino G.Bresadola1994 N. 3 – 4
Bolletino G.Bresadola1994 N. 5 – 6
Bolletino G.Bresadola1995 N. 1 – 2
Bolletino G.Bresadola1995 N. 3 – 4
Bolletino G.Bresadola1995 N. 5 – 6
Bolletino G.Bresadola1996 N. 1
10,-€ für alle
de fungi van nederland No. 52 Mai 1964 I Geoglossaceae
de fungi van nederland No. 69 Juni 1967 II Pezizales Teil 1
de fungi van nederland No. 80 Juni 1969 II Pezizales Teil 2
3.-€ Persoonia 1997 Vol16, Part 3
10.- für alle
€ Westfählische Pilzbriefe Heft 1-2
Westfählische Pilzbriefe Heft 3-4
Wesrfählische Pilzbriefe Heft 5
Westfählische Pilzbriefe Heft 6
Westfählische Pilzbriefe Heft 7
Westfählische Pilzbriefe Heft 8a
Westfählische Pilzbriefe Heft 8b
10,-€ für alle
Südwestdeutsche Pilzrundschau 1968 (50) jährigen
Südwestdeutsche Pilzrundschau 1970 1-2-3
Südwestdeutsche Pilzrundschau 1971 1-3
Südwestdeutsche Pilzrundschau 1972 1-2
Südwestdeutsche Pilzrundschau 1973 1
Südwestdeutsche Pilzrundschau 1974 1
Südwestdeutsche Pilzrundschau 1975 1-2
Südwestdeutsche Pilzrundschau 1976 1
Südwestdeutsche Pilzrundschau 1978 1-2
Südwestdeutsche Pilzrundschau 1976 1
Südwestdeutsche Pilzrundschau 1978 1-2
Südwestdeutsche Pilzrundschau 1978 1
Südwestdeutsche Pilzrundschau 1979 1-2
Südwestdeutsche Pilzrundschau 1980 1-2
Südwestdeutsche Pilzrundschau 1981 1
Südwestdeutsche Pilzrundschau 1982 1
Südwestdeutsche Pilzrundschau 1983 1-2
Südwestdeutsche Pilzrundschau 1984 2
Südwestdeutsche Pilzrundschau 1985 1-2
Südwestdeutsche Pilzrundschau 1986 2
Südwestdeutsche Pilzrundschau 1987 1-2
Südwestdeutsche Pilzrundschau 1988 1-2
Südwestdeutsche Pilzrundschau 1989 1-2
Südwestdeutsche Pilzrundschau 1993 1-2
2.-€ Pilzverein Augsburg 25 Jahre
4.-€ für alle
Micologia e vegetatione Meditirrana Vol. IV, - n. 1/
Micologia e vegetatione Meditirrana Vol. IX - n. 2/
3,-€ Bulletin Mensuel de la Societe Linneenne de Lyon 1970 / 39 / 7/6
20,-€ Michael Schwanenberger Farbenführer
10,-€ Guide des couleurs naturelles natural color guide de coloribus naturalium
Observationes et disputationes mycologicae 1 - 1975 – 2
mit 12 Doppelseiten Farbtafeln
Grüße Hans
-
Gäumann E. Die Pilze 2 Auflage 30€ neuer Preis 15€
Kühner / Romagnesi Flore analytique des champignons superieurs III Agaricus, Bolets, Chantharelles 40€ neuer Preis 20€
Enderle Manfred, Die Pilzflora des Ulmer Raumes 25€ neuer Preis 15€
Abbildungsverzeichnis europäischer Großpilze 2002, 3 überarbeitete Auflage 8€ neuer Preis 4€
Haas H. & Schrempp H., Pilze in Wald und Flur, 112 Pilze in Farbe 5€
Haas H. & Schrempp H., Pilze die nicht jeder kennt, 112 Pilze in Farbe 5€
Kult Karl, Kosmos- Pilzfibel, Praktischer Leitfaden für den Pilzsammler mit 108 Farbfotos 5€
Bon.M, Die Großpilzflora von Europa I, Hygrophoraceae 20€ neuer Preis 10€
----------
Merlo/ Traverso, Le Amanite 20€ neuer Preis 15€
-----------
Orton/Watling, British Fungus Flora, 2/Coprinaceae: Coprinus 5€ neuer Preis 4€
Gams Helmut, Kleine Kryptogamenflora Band II a, Moser. M. Ascomyceten, 1963 10€ neuer Preis 5€
Gams Helmut, Kleine Kryptogamenflora Band II b, Moser. M. Blätter und Bauchpilze2 Auflage, 1955 10€ neuer Preis 5€
Gams Helmut, Kleine Kryptogamenflora Band II b1, Jülich W., Die Nichtblätterpilze, Gallertpilze und Bauchpilze 1984, 30€ neuer Preis 15€
Gams Helmut, Kleine Kryptogamenflora Band II b2, Moser. M., die Röhrlinge und Blätterpilze, 4. Auflage, 1978, 15€ neuer Preis 10€
Julius Schaeffer Russulae1952, guter Zustand 40€
Bei Rückfragen und Abwicklung:
L.G. Hans
-
-
