Hallo zusammen,
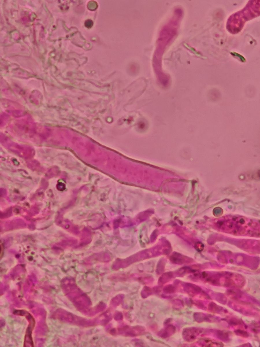
auf dem Ast einer Hainbuche konnte ich diesen Rindenpilz finden. Meine Vermutung wäre Hyphoderma setigerum. Allerdings hätte diese Art keine Dendrophysen/hyphiden. Kann man den Pilz dennoch als H. setigerum bestimmen oder handelt es sich um eine andere Art?
LG
Bohan
