Hallo,
ich hab mal wieder eine Frage zu einem Pilz den ich im Herbst in einem relativ feuchten Gebiet unter Eiche und Buche gefunden habe.
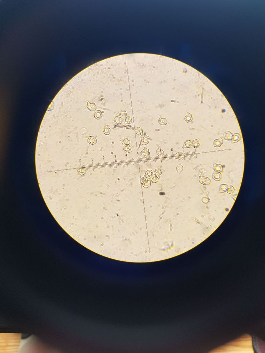
Folgende Daten habe ich erhoben:
Sporen isodiametrisch, QAv: 1,14, Av: 7,53 x 6,58 (7-8,5 x 6-7), dazu habe ich aber noch eine Frage: Messe ich den "Zipfel" mit oder nicht? Ich bin mir da leider nicht so sicher und meine Recherche diesbezüglich war nicht so erfolgreich...
Schnallen auch in den Deckschichten vorhanden
Pigment liegt meiner Meinung nach intrazellulär vor, ich hoffe mal, dass ich mich da nicht irre
Basidien 4-sporig
Cheilozystiden habe ich keine gefunden, das finde ich aber in der Gattung oft schwierig. Zumindest ist die Schneide sicher nicht steril
Kein Geruch
Standort: Boden
Ich habe sowohl versucht, den Pilz mit Funga Nordica, als auch mit dem Gröger-Schlüssel zu bestimmen. Leider kam ich nicht zu sinnvollen Ergebnissen, zumindest empfinde ich keine der Arten bei welchen ich rauskomme als makroskopisch passend oder zum Standort passend. (Gröger: E. chelone; FN: E. vinaceum/ E. politum). Selbst, wenn ich doch von inkrustiertem Pigment ausgehe, scheint E. rhodocalix (über FN geschlüsselt) aufgrund der fehlenden Cheilozystiden nicht zu passen.
Daher wollte ich mal fragen, ob hier jemand eine Idee hätte was ich noch machen könnte, um dem Pilz näherzukommen.
Vielen Dank für eure Hilfe!
Bilder:
