Hallo Eike,
Dothideomyceten, Pyrenomyceten... usw. Mit den Begriffen komme ich noch nicht so gut klar, hehe. 
Danke jedenfalls für die Korrigierung.
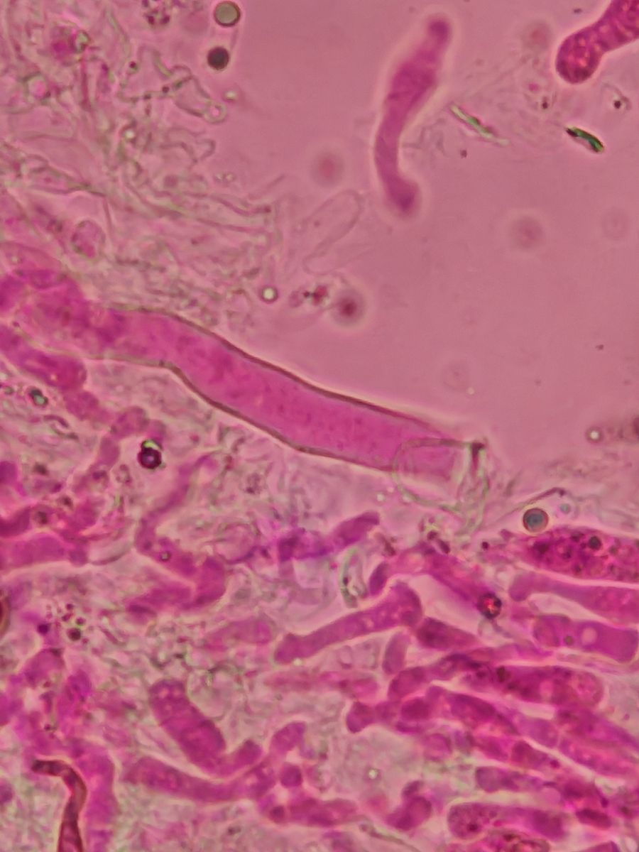
Ich habe mich sofort an Diaporthe zurückerinnert, als ich die Sporen gesehen habe. Mir ist davor nie aufgefallen, dass es noch andere Pilze gibt, die auch solche Sporen haben, außerhalb der Ordnung Diaporthales. Man lernt nie aus.
Ich muss nochmal den Namen des Dothideomycetes aus dem besagten Beitrag nennen! Es war davor nicht so klar formuliert.
Dürfte der Pilz aus dem Fund Lophiotrema rubi sein? Da bin ich mir noch nicht ganz sicher, weil ich nicht weiß, ob er auch noch auf Fagus wachsen kann. 
LG
Bohan