Das hab ich schon gelernt :-). Ralf sagt, ganz frisch ist nicht so gut, "nicht wie Lakritz" - wobei ich schon alles hatte - von ganz frisch bis liegt schon länger, gab beides interessante Sachen.Womit man aufpassen muss, ist das man im Zweifel viel zu nass anfängt. weniger ist da mehr.
Beiträge von Hagen Graebner
-
-
ich bin immer wieder beeindruckt, wie viele verschiedene Arten einige von Euch von einer einzigen Probe ziehen. Ich schaffe schon auch einige aber nie so viele - gibt's einen Kulturtrick oder muss ich einfach gründlicher suchen?
-
Oh Danke ! Auch für die anderen Arten. !
-
Ich frag mich natürlich, wo ich falsch abgebogen bin, es gab nämlich noch einen zweiten Coprotus.
-
Danke Dir, dann ging die aber lange ! Ich hatte Die mit der Post geschickt, die sollte nicht laufen nach Sachsen :-). Liest der Peter Welt hier mit? Der hatte auch so ein zweifelhaftes Westpaket

-
Da war ich zwischendrin auch mal. wonach müsste ich da noch mal genau schauen?
-
Also ich versuch mal Florians Fragen zu beantworten: Ob die FK wirklich reif sind? ich weiß es nicht. Frei Sporen hab ich ein paar wenige gesehen, die könnten auch beim Präparieren rausgekommen sein. Asci die live Sporen abschießen im Präparat hab ich nicht gesehen. Im wesentlichen sehen die FK makroskopisch immer noch so aus, eventuell sind "reife" etwas dunkler orange und etwas aufgewölbter. In BWB kommt kein Ornament oder ähnliches raus, die Sporen sind dann immer noch glatt.
-
Also ich oute mich bezüglich das Substrates - es ist Giraffe, quasi am Originalstandort gesammelt. Der Pilz narrt mich hartnäckig. die Sporen sind übrigens etwas kleiner als von mir ursprünglich angegeben, nur ca. 8-10 µm und fast rund, glatt, 8 in einem Ascus wie es sich gehört :-). irgendwo im Schlüssel von Watling und von Doveri biege ich falsch ab.
-
-
Den Artikel hab ich inzwischen - aber hat jemand die Arbeit von Rywarden aus dem Jahr 2001, die darin zitiert wird? Ryvarden, L. 2001. The genus Auriscalpium. Harvard Papers in Botany. 6:193-198
-
Hab grad auf Facebook in der Fungus Identification Group eine Diskussion dazu gestartet, ich hoffe, ich komme an einen Schlüssel.
-
-
Auriscalpium vulgare (MushroomExpert.Com) Guck mal hier -in Nordamerika tut er das wohl standardmäßig.
-
Wo ist ist "hier"? Für uns war es der erste.
-
Hallo allerseits,
auf unserer Exkursion tauchte heute ein Ohrlöffelstacheling auf einem Douglasienzapfen auf. Interessanterweise hat er auch einen zentralen Stiel - hat jemand einen Schlüssel für die Gattung? in den üblichen Büchern ist halt nur vulgare drin, es gibt aber etwa 5-6 arten weltweit. Hier im Rhein-Main-Gebiet wäre es ja nicht ausgeschlossen, dass was andres eingeschleppt wird.
Gruß
Hagen
-
Tolle Bilder!.
Die soll es hier auch geben, ich schaffe es nur nie, zur richtigen Zeit am richtigen Fleck zu sein.
-
Hallo zusammen,
kann mir jemand zu dem Tintling einen Tipp geben, eventuell in welcher Sektion ich suchen muss.
Substrat ist Zebra :-), Sporen sind ca 13-14 µm lang und etwa 7 µm breit. Hutdeckschicht aus blasigen Zellen, m.M. leichtes körniges Velum, so bisschen wie bei micea. Stiel ohne Seten, aber mit einzelnen Zystiden. Wonach soll ich schauen (ich hab Nobis Übersicht) ?
Beste Grüße
Hagen
-
Nachtrag - die letzten Bilder waren in Melzer, deshalb die etwas bräunliche Farbe, Asci und Sporen nicht mit Jod anfärbbar.
-
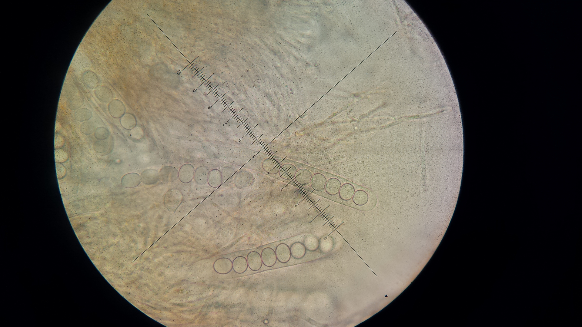
Die Dinger schein reif zu werden, es erscheinen Asci mit farblosen Sporen, mehr oder weniger rund, ca. 12-15 µm Durchmesser.
-
-
Ich hab noch mal reinmikroskopiert: die Konidien sind eher locker an den Enden der Konidienträger angeordnet (wie Kinder Blütenblätter malen). und fallen ganz leicht ab, Warzen haben die Hyphen nicht, die sind glatt. Ja, ein Teil der Sporen scheint septiert zu sein. Größe der Sporen ca. 5-6 x 2 µm.
-
ich schaugleich noch mal rein.
-
Hallo zusammen,
folgende Anfrage erreichte mich heute: ein älteres Ehepaar hat Pilze gesammelt, nach eigener Aussage Steinpilze, Rotkappen, Reizker, Lila Rötelrittelinge .. . Die Pilze wurden von 4 Leuten geputzt und dann gekocht und eingefroren. Dann fiel der Frau ein "rotes Stück" auf. Der Mann ist jetzt komplett verunsichert und fragt mich, ob man das irgendwie prüfen könnte, . Ich fand die Frage ja spannend, aber ich hab keine rechte Idee.
Gruß
Hagen
-
-
Hallo zusammen,
dieser hübsche Schimmel wächst gerade in einer meiner feuchten Kammern auf Pferdedung, der sehr trocken war und seit ein paar Tagen feuchtgehalten wird. Mit dem kleinen Ellis& Ellis krieg ich keine Idee, und mich durch 500 Seiten in den Genera of Hyphomycetes zu blättern
.. hat jemand eine Idee, wo ich anfangen kann?
