gute Idee - aber lasst uns erstmal alles bebrüten :-). Ich bin auf Peters Ergebnisse auch gespannt..
Beiträge von Hagen Graebner
-
-
Ich wollte im kleinen Ellis& ellis mal bei den Imperfekten suchen gehen..
-
Nein, da war nichts zu erkennen.
-
Auf dem Makrofoto vom Döschen sieht man die Kügeln neben dem Hasenkot als Punkte.
-
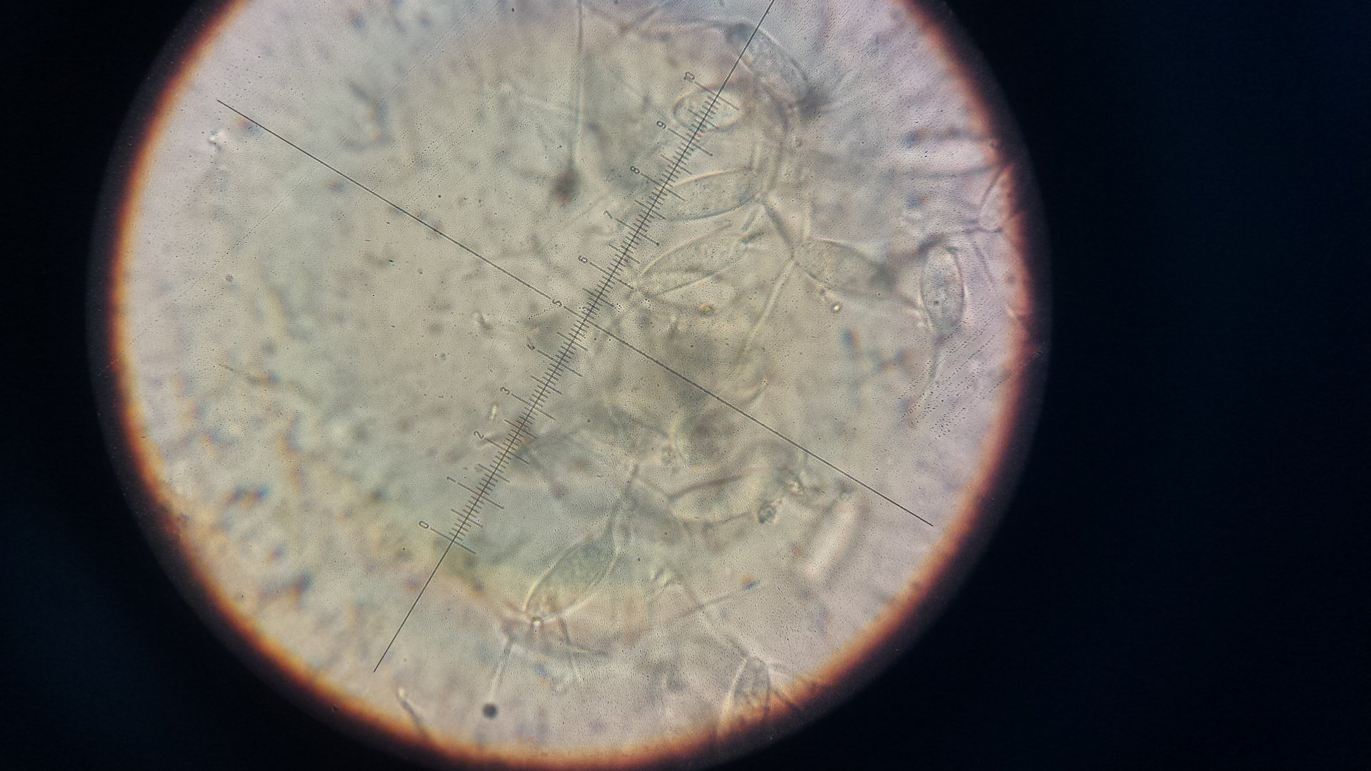
Ich bin mal wieder komplett ratlos. An dem afrikanischen Wunderhase, den Matthias ja auch hat, wachsen bei mir hauptsächlich neben den Lerpeln diese Kugeln, (Durchmesser ca. 300 µm) mit lockigen Haaren, Angefüllt sind die Kugeln mit 10 µm grioßen, annähernd runden hyalinen Sporen, Asci konnte ich nicht erkennen. Ich hab keinen schimmer.
-
Dort lag überall soviel rum, auch dort wo Wild rumlief, die Trockenheit verhindert, dass das Zeug verfault oder von Insekten etc. zersetzt wird. .Den Tintling auf Zebra hab ich ignoriert, da war mir die Frustrationsschwelle zu niedrig, ich hab nur paar Bilder gemacht. Aber wenn Du ich rauskriegst, sehr gern.
-
-
Sehr guter Vorschlag Nobi, vor allem, weil es noch nicht viel Literatur dazu allerdings wenn wir das tun (und dann hätte ich auch an Deine Liste gedacht), dann sollten wir das nicht hier in Europa tun, so bisschen wär das ja wie Biopiraterie und Kolonialherrentum. Es gibt in Namibia zwei sehr rührige wissenschaftliche Gesellschaften (die Swakopmunder haben sich mal von den Windhoekern getrennt, wenn man böse wär würde man sagen typisch deutsch
). Und die haben eine entsprechende Zeitschrift in Deutsch und Englisch, der man das m.M. nach anbieten sollte, für den Rest der Welt ist es ja in Zeiten des Internets fast schon egal, wo was erscheint. Aber da haben natürlich die Leute, die die Knaller gezogen haben, wie Eike und Matthias und hoffentlich auch Peter, auch mitzureden. -
… ich hab ja viel, aber die nicht .. oder ich radel 10 km in unser Naturschutzzentrum hol es mir aus der Vereinsbibliothek.
-
Danke Euch. Da züchte ich Psilos und merke es noch nicht mal. Obwohl, der wird ja nicht blau :-). Dann werde ich mal schauen, wo ich falsch abgebogen bin. Beim Blättern in Ann Bells Neuseeland-Buch hab ich grad gesehen, dass ihr Bild mit meinen Fund ganz gut passt, das hätte mich wahrscheinlich auf die richtige Fährte gesetzt.
-
Gleich mal gegoogelt. Der gute Dottore hat auch die Pilobolüsse nicht drin. aber der Trend geht ja zum Zweitbuch

-
Hallo zusammen,
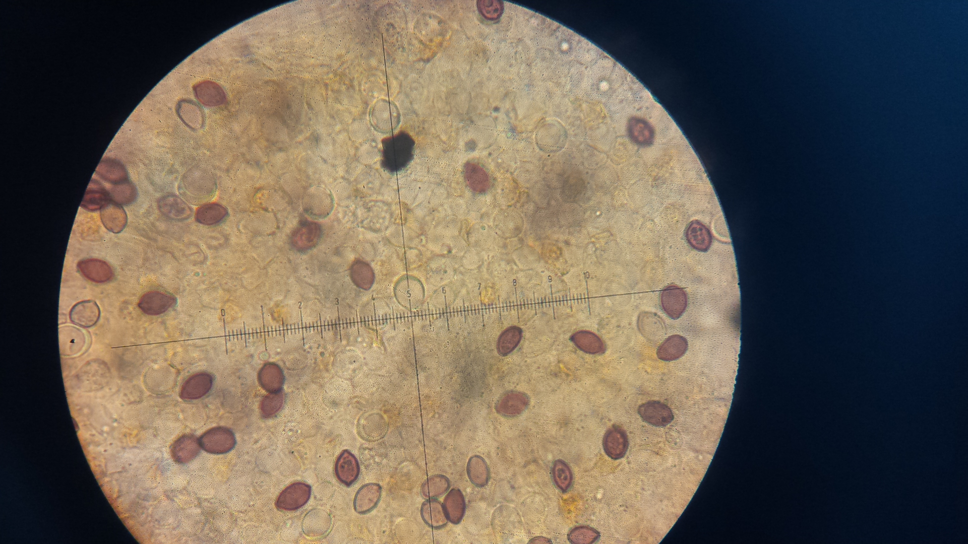
auf Pferdeäpfeln aus Namibia (Hauspferd) wachsen richtige Pilze mit Hut & Stiel, aus denen ich so gar nicht schlau werde. Die Form hat sicher durch das Wachstum im Döschen gelitten und ist wohl nicht typisch, obwohl sie vergleichsweise hell stehen. Sporenpulver ist fast schwarz mit einen Ton ins lila. Trotz ihrer Größe sind die Pilzchen recht stabil. Sporen etwa 10-11 x 5-6 µm. am ehesten lande ich bei Paneolus. Sie scheinen die Ascos zu verdrängen, bis auf Sordaria fimicola hab ich noch nichts andres drauf.
-
Coole Sache. Solltest Du dem Professor noch mal schreiben, danke ihm schön. Ich schreib die als P.anserina agg. auf, das ist offenbar so richtig wie alles andre auch. So wie ich den Artikel verstehe, kann man den Artenkomplex ohne Kulturen und Sequenzen nicht aufdröseln.
Und jetzt hab ich zu den ganzen Namibia-Pilzen noch ein off-topic: schaut Euch zu dem Thema mal die Dokumentation in der Arte-Mediathek "Unter Herrenmenschen " an.
-
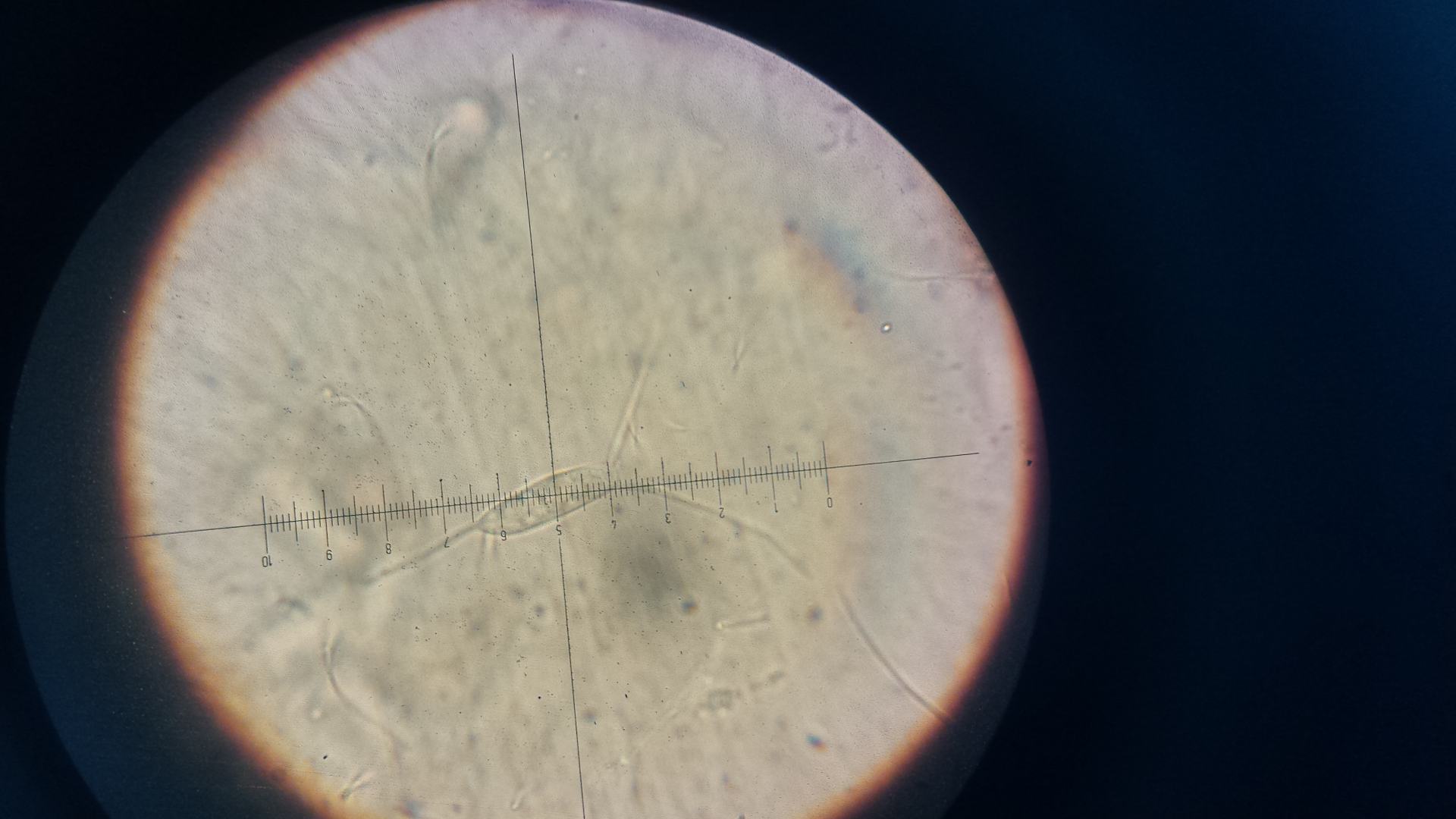
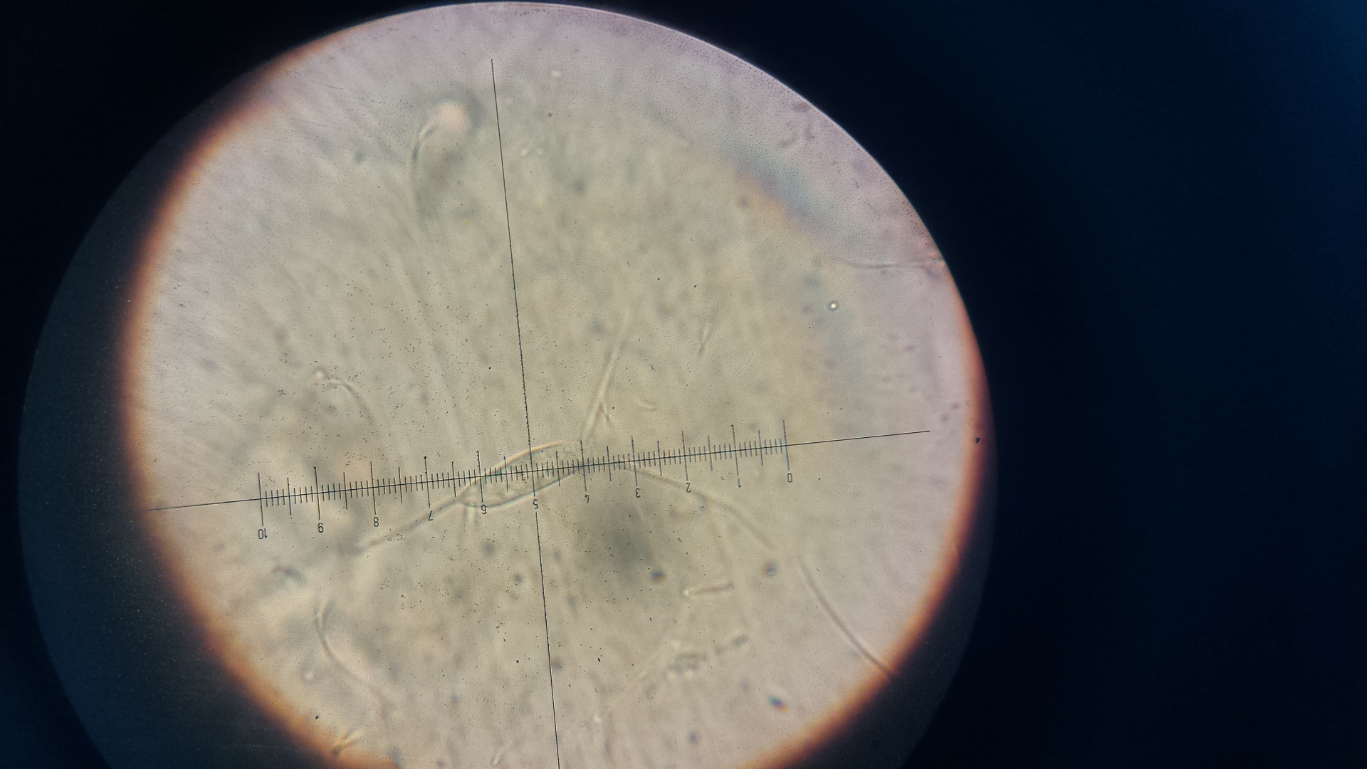
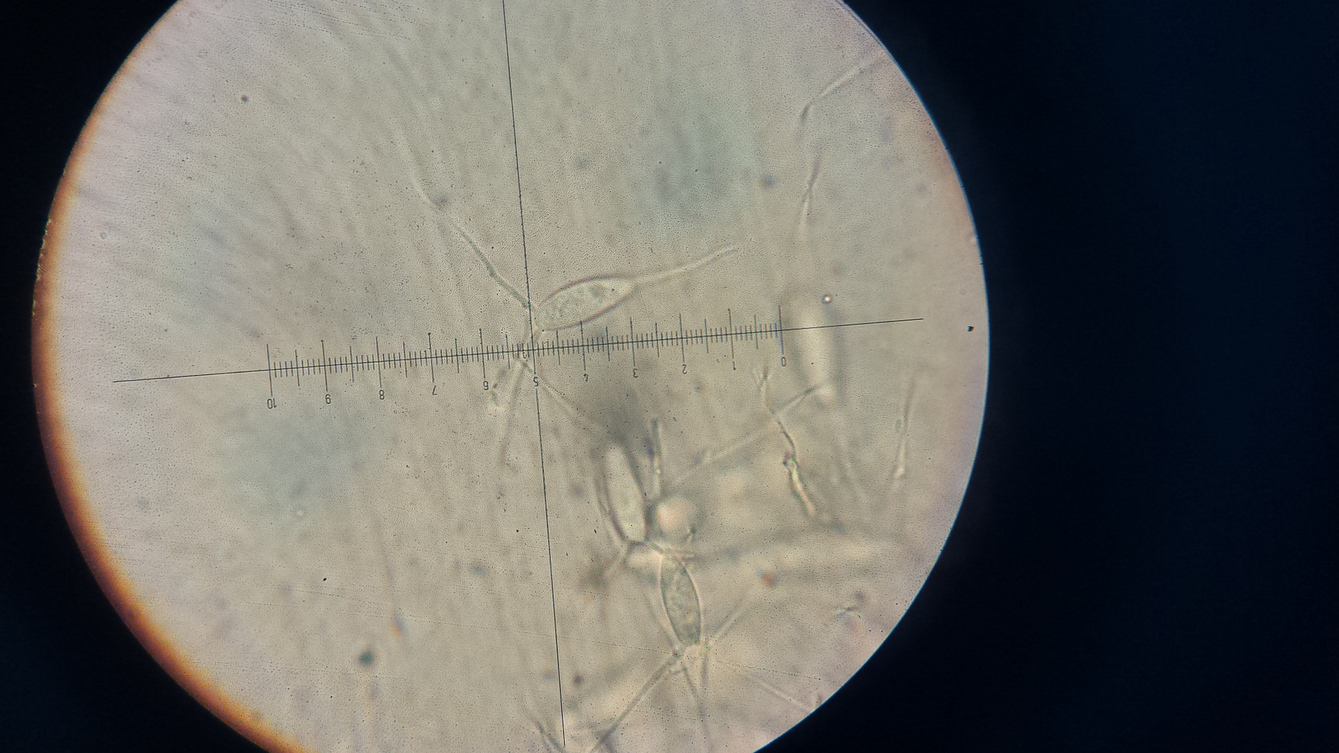
Das hatte ich gerade auf dem Namibia-Hase, winziger schwarzer Punkt, eine einzelne Delitschia-spore und ganz viele von den Dingern, ca. 22 µm lang, mit 1-3 Anhängseln an jedem Ende, etwas länger als die Spore. Ich hab keinerlei Idee.
-
Die kommt auf fast jeder Probe, die ich bisher angesetzt habe. Als Cellulosezersetzer kommt sie mit der oft recht kargen Nahrung der Tiere zurecht. Manchmal fragt man sich echt, was die fressen. So wunderbare Bilder hab ich natürlich nicht.
-
Klasse Fotos !
-
Den hatte ich auf Oryx.

-
Na ja, zumindest kann ich auf der nächsten Exkursion mal hinschauen. An vielen Sachen stolperste ja vorbei, wenn sie Dir keiner mal zeigt. Ich bin immer beeindruckt von den Alten, die sowas erstmals gesehen und beschriben haben.
-
Das ist ja cool ! Den Hase hab ich gestern angesetzt, da hatte ich nur ein paar Lerpel. Einen Klippschliefer haben wir nur einmal gesehen, leider kam ich da nicht an Hinterlassenschaften ran. Ihr hab noch Klippspringer, aber das ist eine kleine Antilope.
-
Die Kernia kam bei mir auf Kudu. Die Zopfiella hatte ich auf Oryx, dort fiel sie mir zum ersten mal auf, dann auch auf Zebra und auf Namib-Pferd. Dass die Sporen einen Ticken kleiner sind als in der Literatur hatte ich ja auch. Ich hab auch Paul G. Mutgai auf Research Gate mal gebeten, auf Björns Bilder in der FB-Gruppe Ascomycetes of the World mal einen Blick zu werfen.
-
Dann guck ich mal. Gleich morgen im Garten an meinem Totholzhaufen.
-
Hübsch. wonach muss ich draußen schauen, um den zu finden?
-
Hab das mit den Sporangien in Sporenträger geändert. danke.
-
-
Ich war bei Mycobank auf den Artikel von der Frau aus der Ukraine gestoßen, die führen das andre als Synonym.
