Liebe Pilzfreunde
Beim letzten Besuch im Jura, konnte ich zeitlich einige schöne Entoloma's entdecken.
Genügend FK damit es sich auch lohnt für die Bestimmungsversuche.
Aufgrund der Phänologie war es in diesem Fall nicht so ein schwieriges Unterfangen.
Fundort; Jura CH, ca.750müm
Datum: 22.03.2025
Habitat: Picea, kalkhaltiger Boden
Geruch: ranzig,
Geschmack: - Keiner gemacht, Entoloma allg. Gift verdächtig
Mehrere Fruchtkörper am Fundort, mit zum Teil stattlichen Längen -> siehe Unterhalb.
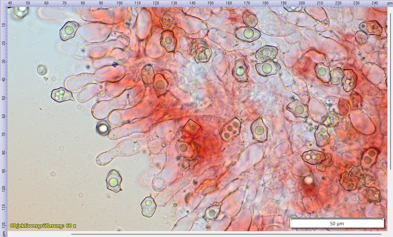
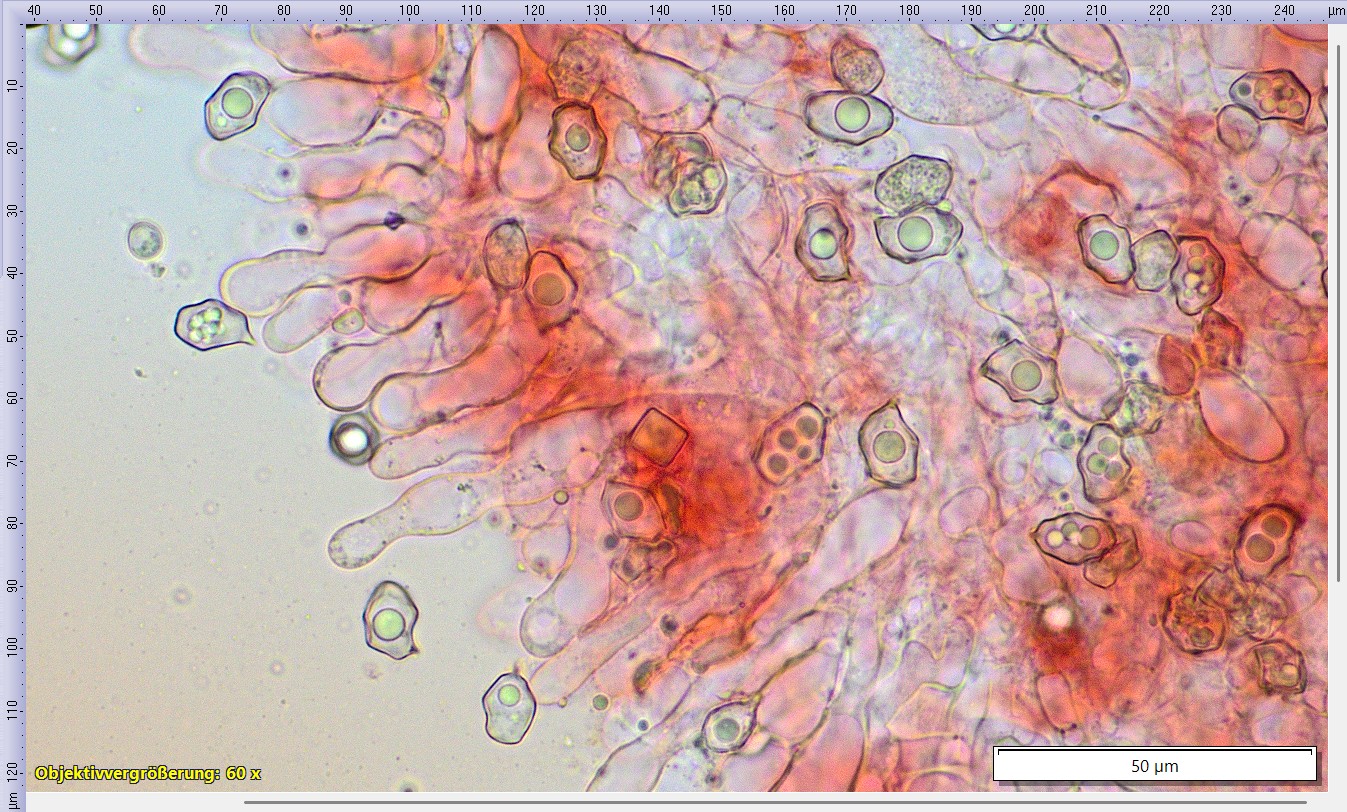
Mikroskopische Merkmale
Sporen 5-7 eckig heterodiametrisch
11.84-12.91-13.94 x 7.64-8.27-8.95µm
Q; 1.561µm
Cheilozystiden zylindrisch - sublageniform
zahlreich vorhanden
HDS intrazellulär pigmentiert und auch stellenweise inkrustiert
Nach Noordeloos (FE5a) komme ich auf;
Entoloma (Nol.) hirtipes (Schum.:Fr.) M.M. Moser
Der nächste Entoloma wird sicher wieder schwieriger zum bestimmen 😉
BG Andy
