Beiträge von KaiserF
-
-
Hallo,
Ich brauche bitte Hilfe bei der Einschätzung der Huthaut Struktur von einem Flammulina Fund.
Lt. dem Schlüssel von Christoph Hahn gibt es grundsätzlich 2 HDS Typen.
https://www.zobodat.at/pdf/Mycologia-Bavarica_17_0007-0024.pdf
Ixotrichoderm und Hymeniderm (Im Text steht, dass es auch Mischformen gibt. Jetzt weiß ich nicht wie ausgeprägt die Pallisaden sein müssen.)
Ich tendiere zu Ixotrichoderm und die größeren Zellen sind Zystiden. Hat jemand damit Erfahrung? Leider habe ich kein Binokular um wirklich perfekt dünne Schnitte zu machen, daher viele Fotos.
-
Hallo, kurze Frage:
Was ist der aktuellste Paxillus Schlüssel? Der Link in der Sammlung funktioniert nicht mehr.
-
Wie ist der Link zu deiner Website? Würde gerne durchstöbern.
Vielen Dank für die Hilfe!
-
Danke für die Hilfe!
Ich habe noch etwas weiter mikroskopiert und mit Hypochnicium geogenium abgeglichen. Die Merkmale passen gut.
Sporen sind cyanophil und im Baumwollblau sieht man die dicke Sporenwand noch besser.
Sporen nicht ornamentiert (in Baumwollblau)
Meine Vergleichsdaten:
- https://www.pilze-ammersee.de/…geogenium-bres-j-erikss-1
Die Merkmale passen gut mit den beschrieben Überein.
Lt. dem Text könnte mit ähnlichen Merkmalen auch die Gattung Lagarobasidium infrage kommen. - https://mycokeys.pensoft.net/article/7568/
Key to Hyphodontia sensu lato: Wenn man Schlüsselt kommt man zu Lagarobasidium, Gattung Hypochnicium nicht im Schlüssel ...
Beim Schlüsseln der Art passen dann, die Sporenmaße & Zystidenformen nicht - https://de.scribd.com/document/803935735/Hypochnicium
Hypochnicium-Schlüssel ohne Quellenangabe, Beim durchschlüsseln komme ich auch auf H. geogenium - Hypochnicium geogenium?
Bilder zum Abgleich
Aufgrund dessen würde ich sagen Hypochnicium geogenium könnte passen.
Gibt es eine gute Literatur für resupinate Rinden/Holzpilze um zumindest zur korrekten Gattung zu kommen? - https://www.pilze-ammersee.de/…geogenium-bres-j-erikss-1
-
Ich verwende das Programm: PixiMetre. Es ist einfach zu bedienen. Man misst aus Bildern Sporenmaße aus und das Programm erstellt eine Statistik zu den Maßen.
Piximetre 5.2, one handy program for measuring spores « boletales.com
-
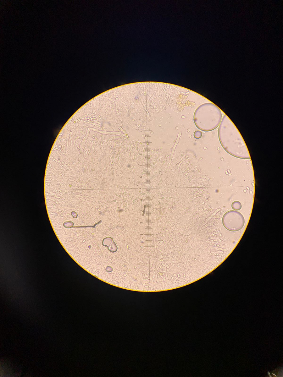
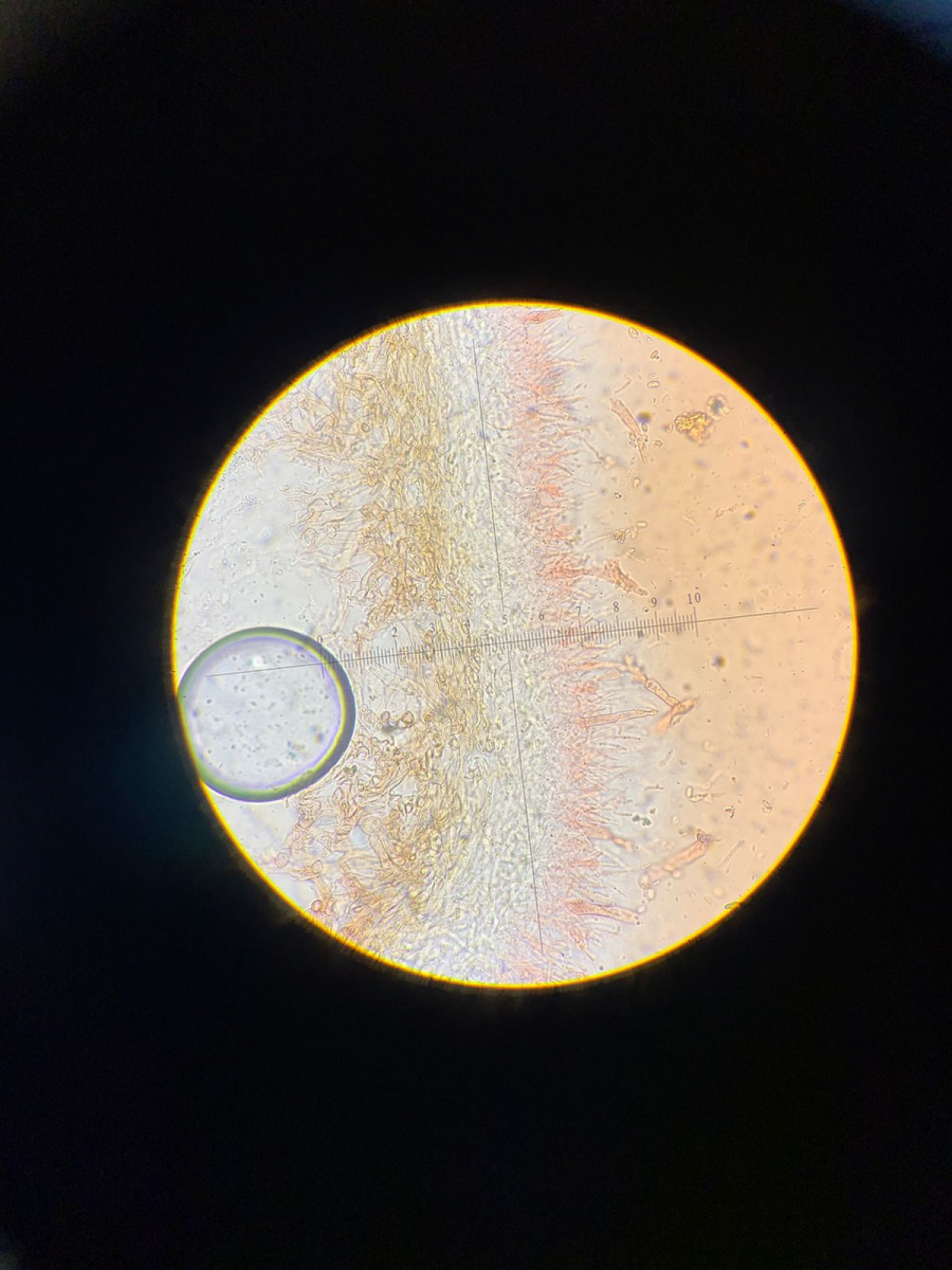
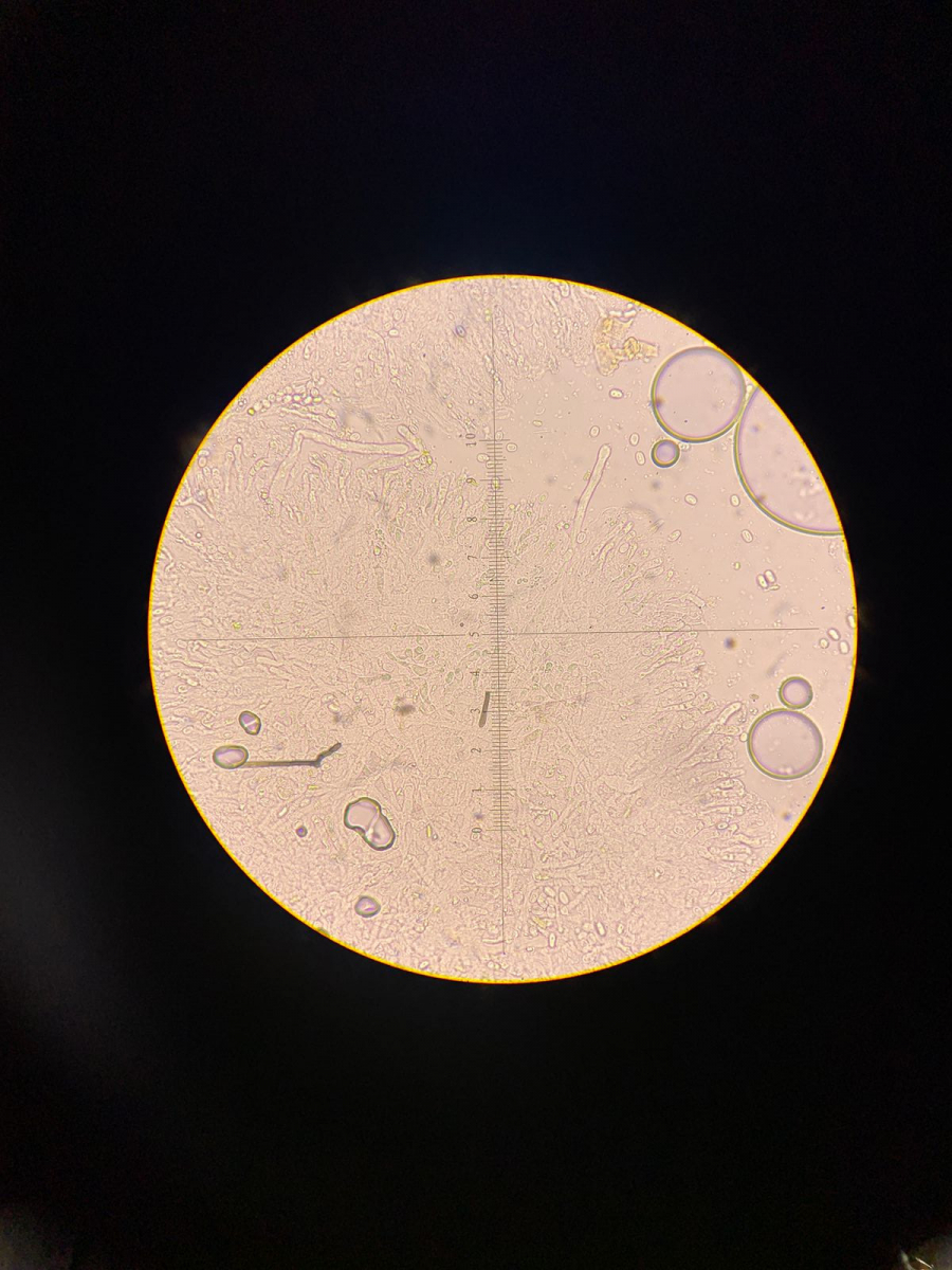
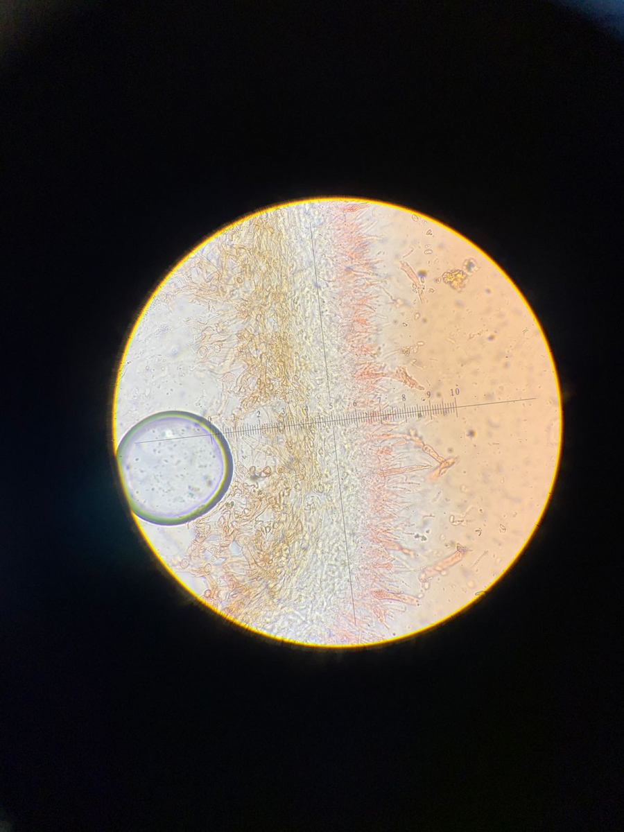
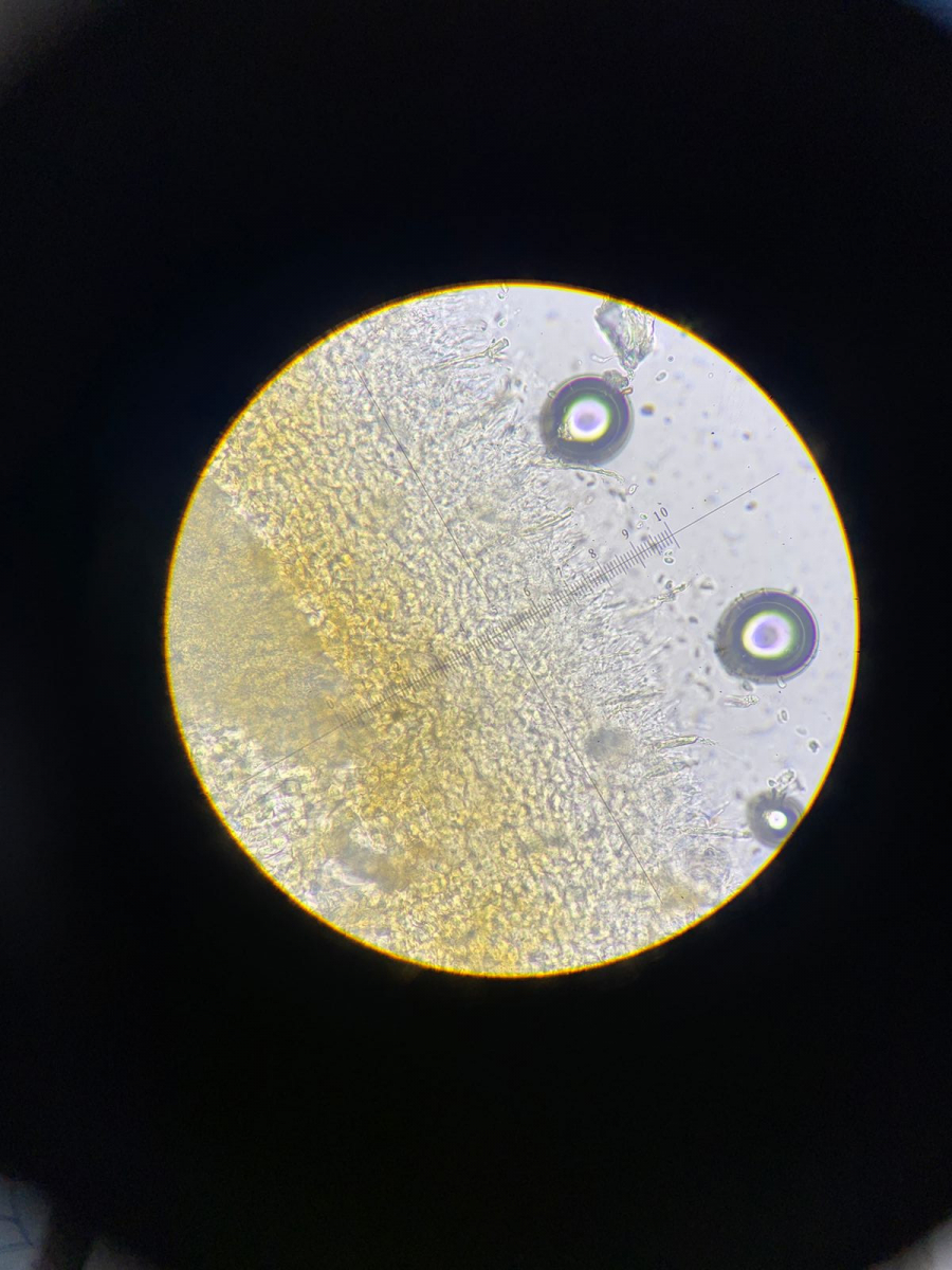
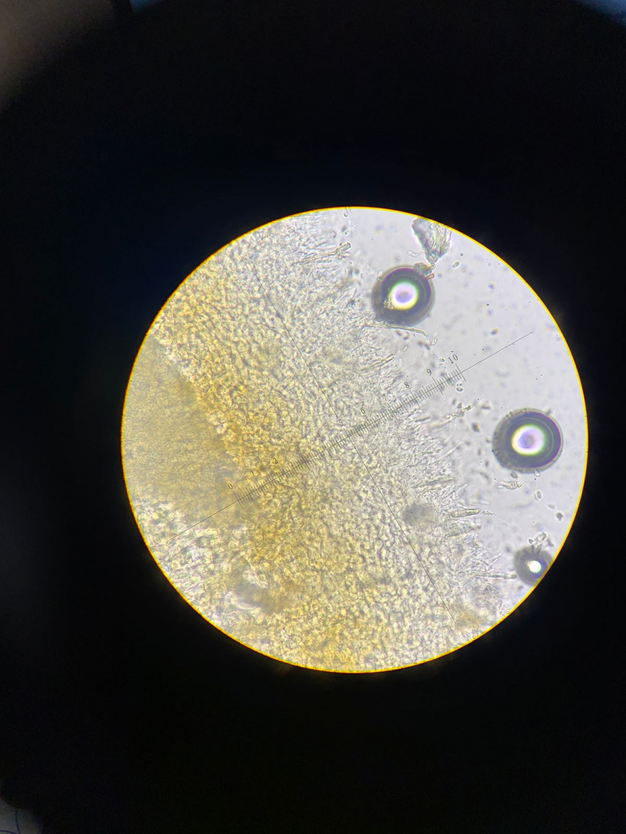
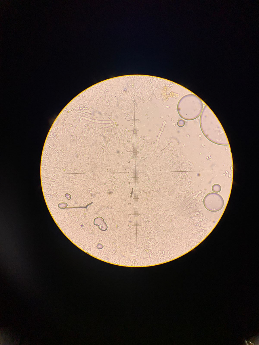
Hallo, bei resupinaten Rinden/Holz Pilzen bin ich Anfänger.
Kennt jemand den Pilz?
17.12.2024 - Niederösterreich
Resupinat auf Buche (Totholz, liegend)
Sporen ca. 8x5µm, Q=1.6 (Genaue Maße auf Foto), Jod-, KOH-
Hyphen verzweigt, mit Schnallen
Basidien 4-Sterigmat
Ansonsten habe ich nicht viele Merkmale gefunden.
1000x, Wasser
1000x, Wasser, incl. Sporenmaße
pilzforum.eu/attachment/540664/
400x, Basidien
400x, KOH
400x, Wasser, Hypen mit Schnallen
Mikrophotos sind leider nicht optimal, meine Kamera ist kaputt.Danke für die Hilfe!
