Ich habe es mit dem Mikroskopieren versucht, muss mir aber wohl erstmal was zum Färben besorgen. Dadurch, dass er so hell ist, sind die Strukturen leider schwer zu erkennen. Aber ich bewahre ihn erstmal auf, vielleicht ergibt sich ja noch was.
Beiträge von waldfuechslein
-
-
Hallo,
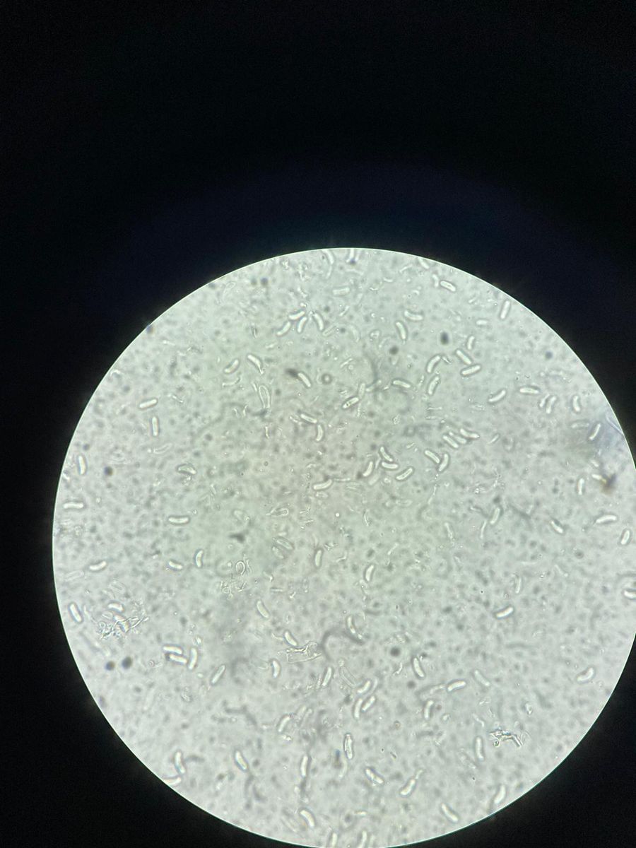
gestern habe ich in der Nähe meiner Wohnung auf abgesägten Ästen (Laubholz) einen interessanten rosa Rindenpilz gefunden und ihn heute versucht zu mikroskopieren.
Die Sporenform spricht schonmal gegen Laeticorticium roseum und könnte für einen Zystidenrindenpilz sprechen.
Mir sind noch merkwürdige "Stacheln" aufgefallen, die etwas warzig aussehen und nach oben stehen.
Vielleicht kann mir ja jemand sagen, was das für Strukturen sind, das habe ich bisher noch nicht gesehen...
-
-
Hallo liebes Forum,
ich bin Josi und jetzt auch hier unterwegs. Ich habe vor einiger Zeit noch in Thüringen studiert und gearbeitet und bin letzten Herbst recht unverhofft nochmal bei einem Biologie-lastigen Studium in Karlsruhe gelandet. Zwischen den beiden Städten pendle ich immer mal hin und her. Pilze finde ich schon länger spannend (sie sind ja auch chemisch interessant) und seit letztem Jahr bringe ich mir das Bestimmen bei. Für mein Studium muss ich bald eine biologische Sammlung anlegen und hoffe, das Forum gut für Fragen und Recherchen nutzen zu können.

Was ich derzeit spannend finde: Fluoreszenz und Lumineszenz bei Pilzen, Porlinge und Schichtpilze an Totholz
Was ich noch besser lernen möchte: Mikroskopieren von Pilzen und Fachbegriffe
Viele Grüße
Josi
Hier noch ein paar schöne Schichtpilze - leider kämpfe ich noch mit dem mikroskopischen Unterscheiden von Stereum subtomentosum und insignitum
-
Beflockter Kaiserling: Super, das Buch kann ich mir über die Uni downloaden und schaue mal rein. Vielen Dank!
-
Hallo,
dies ist mein erster Beitrag hier, also seid gern nachsichtig mit mir, wenn ich etwas falsch mache. Für mein Studium habe ich angefangen, mich mit Pilzbestimmung zu beschäftigen und in den letzten Monaten besonders mit Baumpilzen. Folgenden Porling habe ich am 02.03.2024 in Jena (Thüringen) am Rand vom Forst gefunden:
Geruch: wenig, höchstens etwas holzig
Dieser Pilz ist mir zuvor nicht untergekommen. Ich bin jetzt am ehesten bei Antrodia malicola oder heteromorpha gelandet, da er an Laubholz wächst, eher malicola.
Ich habe einen Fruchtkörper mitgenommen und habe auch die Möglichkeit, nächste Woche an der Uni zu mikroskopieren. Da ist er dann allerdings schon nicht mehr so frisch. Ich bin mir aber auch nicht sicher, worauf ich beim Mikroskopieren ggf. achten müsste (z.B. Sporenform).
Vielleicht hat hier ja jemand eine Idee.
Liebe Grüße
Josi
