Das sehe ich ähnlich. Danke
Beiträge von Peter Krahl
-
-
Vielen Dank für deine Ausführungen. Du hattest Myxobaktrien geschrieben und ich habe Mycobakterien gelesen. Das war natürlich Unsinn. Myxobakterien scheint mir ein guter Ansatz. Gibt es eine Chance, die näher zu bestimmen? Hast du Literatur dazu?
Über jeden Hinweis biin ich dankbar.
HG Peter
-
Vielen Dank für deine Stellungnahme. Ich kann mir allerdings nicht vorstellen, dass (Myco)-Bakterien Fruchtkörper mit Konidiensporen bilden.
HG Peter
-
Moin zusammenn.
Auf Kaninchenködel, die von Norderney mitgebracht habe, entwickeln sich nach eiiger Zeit in der Feuchtekammer winzige rote Punkte, die ich zumächst für Myxomayceten gehalten habe. Bein Mikroskopieren verbleiben eigentlich nur winzige Sporen, ca. 1µm, Die einen Myxomyceten wohl ausschließen. Die Sporen deite ich als Konidiensporen einer Nebenfruchtform, aber welche und von welchem Pilz. Hier enden meine Erfahrungen und meine Literatur. Wer kann mir helfen?
Frohe Weinachten aus Cuxhaven.
Peter Krahl
-
Vielen Dank.
HG Peter
-
Moin zusammen.
Ich find das Thema auch sehr interessent und habe die Frage an Peter:
Wo kann man Hydromatrix beziehen.
Danke für Hinweise
-
Danke Felli für deine Bestätigung.
Frohe Weinnachten
Peter
-
-
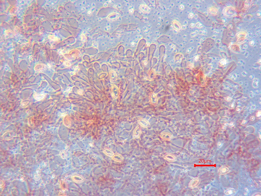
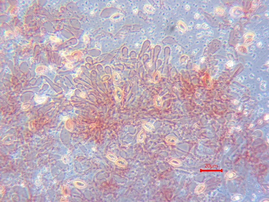
Ich beziehe mich auf meinen verherigen Beitrag.
Aus dem selben Hasenködel dentdecke ich auch noch weiße Punkte: Bild 1
Die sich im laufe der Zeit zu Apothecien entwickeln. Diesmal nicht so intensiv gelb: Bild 2
Das fertige Präparat zum Mikroskopieren, noch ohne Deckgläschen: Bild 3
Das Apothecium in 100facher Vergrößerung im Phasenkontrast: Bild4
Asci und Sporen. Sporengröße: 19,3-23,6x10,3-11,7 im Ascus gemessen, weil freie Sporen nicht da waren: Bilder 5,6 und 7
Gewebe aus dem Excipulum: Bild 8
Wenn ich nun wieder die Kriterien bei Francesco Doveri abgleiche, komm ich zu Ascoboletus albidius.
Auch das lässt sich mit Funden im Internet zusammenbringen.
Ich bin gespannt auf Antwort.
HG
Peter
-
Moin.
Ich bin bestimmt Anfänger, was coprophile Pilze angeht und so hoffe ich, bei euch Hikfe zu bekommen.
Coprophile Pilze gehen eigentlich immer. So habe ich von einer Sammeltour in der Cuxhavener Küstenheide (saurer Mischwald und Freiflächen mit Heide) eine Ansammlung frischer Hasenködel mit nach Hause genommen.
Als erstes kam Pilobulus, aber nur spärlich und vergänglich. Habe ich nicht dokumentiert, weil mir von Pferddung schon bekannt.
Dann habe ich mit der Lupe zwei gelbe Punkte entdeckt, die sich im Verlaufe von einigen Tagen duetlich zu Apothecien entwickelt haben: Bild 1
Die Sporen messen 11,6-13,0x6,9-7,6 (außerhalb der Asci gemessen).
Als Literatur steht mir nur Francesco Doveri (Fungi Fimicoli Italici) zur Verfügung.
Wenn ich da nun Sporengröße und Ornament, die Form der Asci und das gelbe Excipulum berücksichtige, kommt eigentlich nur Ascobolus crenulatus in Frage.
Auch Fotos aus dem Internet bestärken mich in dieser Annahme.
Ich lasse mich gerne eines besseren belehren.
HG
Peter
-
Vielen Dank nobi für deine ausführliche Antwort.
HG Peter
-
Moin zusammen.
Ich habe mich mal wieder an einen Pferdeapfel getraut und folgenden Pilz gefunden.
Bild 1 und 2.
Bild 3: Sporen 6,2-6,6x4,6-5,9
Bild 4: Velum
Sporenform ungröße lassen auf Coprinopsis ephemeroides schließen, allein es fehlt der Ring.
Lässö und Petersen (Fungi of Temperate Europe I Seite 534) zeigen den Pilz und makroskopisch passe es genau. Der fehlende Ring ist allerdings bei ihnen kein Ausschkusskriterium.
Ich bin für jeden Hinweis, jede Korrekturoder andere Bestimmung dankbar.
HG Peter Krahl
-
Ich habe diesen Täubling an einem Seeufer bei Erlen gefunden. Er schmeckt mittelmäßig scharf.
Sporenpulverfarbe Ia-b. Stiele leicht gilbend. Sporen 8,3x6,9µm
Könnte das der gelbe Erlen-Täubling sein?
-
Der Dank des Dummen ist dir gewiss.
-
Danke für die nette und schnelle Antwort.
HG Peter
-
Moin Nobi.
Du bemängelst zu Recht, dass ich meine Bilder nicht beschriftet habe.
Ich habe noch nicht herausbekommen, wie man das macht.
Kannst du mir einen Tipp geben?
Danke Peter
-
Moin.
Ich weiß ja, dass Fälblinge schwierig sind. Ich versuche es trotzdem noch einmal.pilzforum.eu/attachment/444813/
Gestern gefunden im Grünstreifen unter einer Buchenhecke in Cuxhaven.
Bei feuchtem Wetter war der Hut nur mäßig schleimig.
Hutdurchmesser 2cm. Stiel 3, x 0, cm. Sporen 8,6x4,8µm.
Rein makroskopisch spreche ich diesen Pilz als Dunkelscheibigen Fälbling, Hebeloma mesophaeum an.
Mikroskopisch passt die Sporengöße und mäßige Warzigkeit.
Zystiden habe ich nur spärlich gefunden.
-
Ich habe mir schon gedacht, dass das nicht so einfach ist.
Vielen Dank für deine Antwort.
Ich werde es wohl dabei belassen.
HG Peter
-
Moin.
Gestern gefunden im Grünstreifen unter einer Buchenhecke in Cuxhaven.
Bei feuchtem Wetter war der Hut sehr schleimig.
Hutdurchmesser 5cm. Stiel 4,5 x 0,6 cm. Sporen 12,5x6,1µm.
Meine Arbeitshypothese Tonblasser Fälbling, Hebelona crustuliniforme.
Bild 1: Cheilozystiden x 1000
Bild 2: Cheilozystiden x400
Bild 3: Sporen 12,5 x 6,1 µm
Bild 4: Basidien mit Schnallen x1000
Bild 9:
pilzforum.eu/attachment/444605/
pilzforum.eu/attachment/444605/HG Peter
-
Vielen Dank, Nobi, für deine schnelle Antwort.
Das Beschriften werde ich mir zu Herzen nehmen,
wenn es oft auch schwierig ist, weil ich, weil ich selbst nicht weiß, was ich da sehe.
HG Peter
-
-
Moin zusammen.
Ich bin hier neu, und coprophil noch völlig unbeleckt.
Als es überall noch trocken war, habe ich auf Pferdeäpfeln kleine Pilze gefunden und in einer Tupperdose liebevoll aufgepäppelt.
Eine Art meine ich als Coprinopsis nivaeus identifiziert zu haben.
Der ganze pilz war etwa 5 - 6 cm lang.
Ich stelle mal die Bilder ein und freue mich auf eure Korrektur oder Bestätigung.
-
Ich habe in einer meiner Bonsai-Schalen mit Hainbuche einen Pilz entdeckt, den ich nicht bestimmen konnte.
Der Pilz ist nur ca. 2 cm klein, was das bestimmen sicher nicht einfacher macht. Vielleich hat jemand eine Idee.Herzliche Grüße
